查看更多
密码过期或已经不安全,请修改密码
修改密码
壹生身份认证协议书
同意
拒绝
同意
拒绝
同意
不同意并跳过
病例分享:温时来 赣州市人民医院
病例点评:郭荣平 中山大学附属肿瘤医院
根据最新的Globocan 2018数据,肝癌依然是中国最常见的恶性肿瘤,其中78%的HCC患者伴有肝脏疾病(乙肝和肝硬化为主)。目前,肝癌治疗已由传统的手术和化疗栓塞治疗模式发展到以手术、介入、靶向及免疫等多学科、多种手段综合治疗模式。在本病例中,患者原发性肝癌伴肝内多发转移、门脉癌栓,肝功能分级:Child-Pugh A 级,分别给予TACE和放疗,疾病控制稳定1年后出现骨转移进行局部放疗,9个月后出现肺转移开始应用一线靶向药物索拉非尼,病灶6个月后进展,改用二线瑞戈非尼病灶缩小,AFP降至正常已维持18个月,总生存已经超过三年半。



基本情况
邓某,男,54岁,农民。2016-11-18以“右上腹痛1月余”入住我院肝胆胰外科。
现 病 史:患者缘于2016年10月出现右上腹疼痛,就诊于都县人民医院,查腹部彩超示:肝内实性占位,MRI检查提示:肝右前叶及第二肝门占位,考虑为恶性病变。现为进一步诊治来我院。外院MRI提示:肝右前叶及第二肝门占位,考虑为恶性病变。
既 往 史:既往乙型小三阳病史30年,不嗜烟酒。
实验室检查:心电图正常,甲胎蛋白:535.1 ng/mL(2016-11-16)。
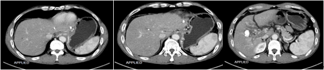
影像学检查:2016-11-16,CT 动脉期:


2016-11-16, CT 门脉期:


诊断
初步诊断:原发性肝癌伴肝内多发转移、门脉癌栓形成
肝功能分级:Child-Pugh A 级
治疗过程
第一阶段方案
2016-11-18 我院肝胆外科行第一次TACE术

2016-12-06复查CT影像:


甲胎蛋白:686.4 ng/mL(2016-12-06)
第二阶段方案
1.2016-12-08 开始行肝右叶肿瘤及门脉癌栓IMRT放疗,计划剂量:PTV 50Gy/25Fx,因放疗耐受差,最终完成40Gy/20Fx。
复查:2017-02-12 CT:肝癌病灶较前缩小,内见碘油沉淀,病灶边缘异常强化,提示肿瘤存活;门脉主干癌栓形成,门脉海绵样变;肝内多发小囊肿,脾大;左肺上叶及右肺中叶小结节,右肺上叶少许陈旧性结核灶台。
动脉期影像:


门脉期影像:


甲胎蛋白:185.3 ng/mL(2017-02-12)
2.2017-02-17 第二次介入治疗:术中造影未见明确存活肿瘤病灶染色。

复查:
1.2017-03-22 CT提示:肝癌介入术后改变,未见明显肿瘤存活灶;门脉主干栓子形成,同前无明显变化;肝硬化,脾大,食管-胃底静脉曲张,门脉海绵样变,自发性胃底-左肾静脉分流;肝内多发小囊肿;左肺上叶及右肺中叶小结节,同前相仿;右肺上叶少许陈旧性结核灶。



甲胎蛋白:33.42 ng/mL(2017-03-22)
2.2017-07-24

3.甲胎蛋白:307.73 ng/mL(2017-07-25)
4.2017-07-26 MRI显示:肝癌介入术后,肝S5段异常强化灶,提示肿瘤存活可能;肝硬化,脾大,门静脉海绵样变性;胃底静脉曲张;肝多发小囊肿;左侧第10肋骨骨质破坏没考虑为转移瘤。核医学科SPECT显示:左侧第10后肋放射性分布增高,考虑为骨转移瘤。
第三阶段方案
2017-07-31开始行姑息放疗,三维适形放疗,予骨转移灶30GY/10F,双膦酸盐预防骨相关事件。
复查:
1.甲胎蛋白:46 ng/mL(2017-09-02),12.24 ng/mL(2017-10-09),3.26 ng/mL(2017-12-05)。
2.2018-03-01胸部CT提示:肺部多发结节。

2018-03-03 MRI提示肝脏病表现依旧稳健。
第四阶段方案
2018-03 开始口服甲苯磺酸索拉非尼片靶向治疗,400mg,口服,一天两次。
复查:
1.多次复查胸部CT均提示肺部病灶稳定,上腹部MRI提示肝脏病灶无明显存活。但甲胎蛋白渐进性升高。
甲胎蛋白:6.54 ng/mL(2018-04-23),10.49 ng/mL(2018-06-21),16.65 ng/mL(2018-07-27),30.33 ng/mL(2018-09-18)。
2.2018-10-25胸部CT提示:肺部多发结节较前增多增大。


第五阶段方案
2018-10开始口服瑞戈非尼片靶向治疗,160 mg/d 口服,d1-21,Q4W。
复查:
1.2018-11-26 CT提示:双肺多发小结节,部分病灶较前缩小,右肺上叶条索影;左侧第10肋骨骨质破坏范围与前相仿;肝癌介入术后改变,肝囊肿,肝硬化,胆囊内结石。

2.2018-11-27 MRI提示:原肝癌S5段病灶无强化,原肝S8段病灶此前未见显示,同前相;左侧第10肋骨骨质破坏,范围与前相仿;肝硬化,脾大,门静脉海绵样变性;胃底静脉曲张;肝多发囊肿;右肾小囊肿;胆囊结石,慢性胆囊炎。
甲胎蛋白:7.19 ng/mL(2018-11-25)
3.2019-01-14 CT提示:双肺多发小结节,部分病灶较前缩小;右肺上叶条索隐;左侧第10肋骨骨质破坏,范围较前相仿;肝癌介入术后改变,肝囊肿,肝硬化,胆囊结石。MRI提示:肝S5段病灶介入术后改变,同前相仿;左侧第10肋骨骨质破坏,范围较前相仿;肝硬化,肝囊肿,门静脉海绵样变性,食管胃底静脉曲张,肝多发囊肿,右肾小囊肿;胆囊结石,慢性胆囊炎。

4.2019-03-23—2019-09-09 CT报告:


5.2019-11-05 CT和MRI报告:

AFP动态变化指标汇总图


(白蛋白、尿蛋白全程正常)
心得体会
肝癌的综合治疗、多学科合作对患者而言非常重要;
药物的不良反应管理仍然任重道远;
药物的更新换代使更多患者受益;
期待更多、更新、有效的药物能更快的进入寻常百姓家!



肝癌合并门静脉癌栓的治疗国外指南推荐以靶向药物为主的系统性治疗,适合我国国情的国内专家共识强调,肝癌合并门静脉癌栓的治疗应根据癌栓的分型、肿瘤情况和肝脏储备功能情况,采用介入、放疗、手术、靶向药物、化疗等多学科的综合治疗。
该病例初始诊断按中国肝癌临床分期为Ⅲa期,分别给予TACE和放疗,疾病控制稳定1年后出现骨转移进行局部放疗,9个月后出现肺转移开始应用一线靶向药物索拉非尼,病灶6个月后进展,改用二线瑞戈非尼病灶缩小,AFP降至正常已维持18个月,总生存已经超过三年半。病人的治疗过程充分体现了肝癌的多学科综合治疗理念,也取得很好的疗效,是一例多学科综合治疗成功的案例。针对合并门静脉癌的病人,中国专家共识提倡靶向药物应用于治疗的全过程,该病例靶向药物的应用时机建议初始治疗与介入同期应用。
(本篇内容由郭荣平专家审校及点评)
查看更多