查看更多
密码过期或已经不安全,请修改密码
修改密码
壹生身份认证协议书
同意
拒绝
同意
拒绝
同意
不同意并跳过
跟着“国家队”学常见疾病诊疗


超声心动图是先天性心脏病诊断和随诊的重要检查,正确解读超声心动图报告指导临床实践,是心内科医生必须掌握的基本功。今日话题将聚焦常见先天性心脏病,系统讲解房间隔缺损(ASD)的超声诊断,分享临床诊疗经验。
本期作者
北京协和医院心内科 杨静
ASD是常见的先天性心脏病之一,按照其胚胎发育以及缺损部位的不同分为以下几种类型。
最常见,发病率占总数的70%。
分为上腔静脉型(8%~10%)和下腔静脉型(3%),常合并肺静脉畸形引流。
冠状静脉窦无顶综合征,发病率占1%~2%。
发病率占20%,常合并房室瓣发育异常。
其中以继发孔型ASD最常见,大多数继发孔型ASD可以进行封堵治疗,其他类型ASD需要手术治疗。
接下来以继发孔型ASD为例,为大家介绍其超声和临床特点。


继发孔型ASD的超声报告模板如下,红色部分为需根据患者具体情况改动。
心房正位,心室右袢;大动脉位置关系无异常;
右心增大,左心房室内径正常;主肺动脉增宽;
房间隔中部可见回声失落,大动脉短轴切面回声失落_mm,距房顶_mm,距主动脉端_mm[主动脉端短小/无断端],四腔心切面回声失落_mm,距房顶_mm,距二尖瓣前叶根部_mm,上下腔静脉双房切面回声失落_mm,距上腔静脉_mm,距下腔静脉_mm;缺损距冠状静脉窦_mm;室间隔回声未见失落;
左右室壁运动及收缩功能正常;
各瓣膜形态结构及启闭未见异常;
无心包积液;
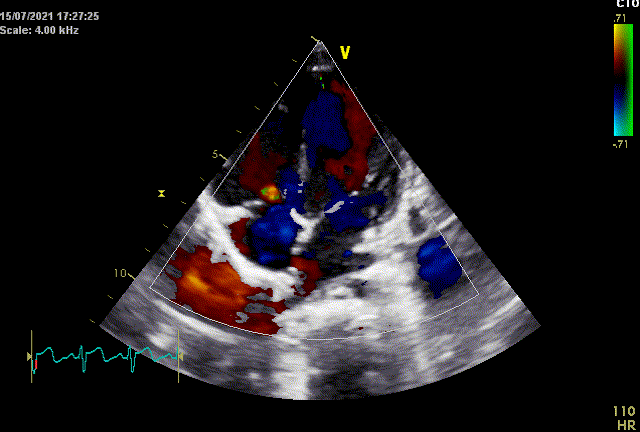
彩色多普勒血流显像及频谱多普勒:心房水平可探及左向右分流,分流束宽约_mm,各瓣膜血流速度未见增快,三尖瓣见[少]量反流束,估测肺动脉收缩压为_mmHg。
先天性心脏病
ASD(中央型左向右分流)
右心增大
[轻]度三尖瓣关闭不全
[轻]度肺高压

第1条是对心房、心室和大动脉关系的描述。
第2条是对心脏结构大小的描述。
右心增大是ASD的重要临床表现,心房水平的分流使右心容量负荷增加导致右心增大,其增大的程度和分流量有关,合并肺动脉高压时,可能会并发右心室肥厚。
第3条是对ASD部位、大小和边缘情况的具体描述。需要强调以下几点:
房间隔是一立体非对称结构,需要多平面评价才能准确评价缺损大小及分流量;可以是多发孔ASD;
其边缘情况决定能否进行封堵治疗;
经胸超声心动图(TTE)报告显示欠清晰时需要借助经食管超声心动图(TEE)。
第4~6条是对心功能、瓣膜和心包情况的描述,发生ASD时右心容量负荷增加,右心室收缩功能正常或增强,严重ASD患者会出现右心室收缩功能下降。
第7条对彩色多普勒血流显像及频谱多普勒的描述。
有几点提示:
心房水平左向右分流是房间隔缺损的表现,如合并肺动脉高压时会表现为双向分流或右向左分流;
不同程度肺动脉高压的诱发因素是肺血增多,初期为动力性肺高压,后期肺血管重塑出现阻力型肺高压,一定程度上决定了病情的严重程度和预后;
肺血增多时肺动脉血流速度轻度增快,这也是ASD杂音的来源。


大部分ASD可以通过TTE明确诊断,并决定能否进行封堵治疗,但对于TTE图像欠清晰,可能合并肺静脉畸形引流、特殊类型的ASD(如静脉窦型ASD和冠状静脉窦型ASD)等情况,需要借助TEE、心脏声学造影、心脏结构计算机体层摄影(CT)、右心导管检查等进一步明确诊断。
房间隔膨出瘤是指部分房间隔发育异常、菲薄,呈瘤样向一侧或双侧膨出,可以合并ASD或卵圆孔未闭。

ASD是心房水平分流,属于低分流压差、低分流速度的分流,分流本身不会引起杂音,ASD的杂音由肺血增多和肺动脉瓣膜相对狭窄引起。
肺动脉瓣膜第二心音固定分裂是ASD标志性的听诊特征,机理如下:
吸气→右房回心血量↑→右房压↑→通过ASD的左向右分流↓
呼气→右房回心血量↓→右房压↓→通过ASD的左向右分流↑
吸气和呼气对右房容量无影响
分流量小的ASD患者可以无症状,分流量大的ASD患者由于肺循环充血及体循环血容量不足而具有临床表现。
大多数人在40岁后出现症状,包括运动能力下降,劳累性呼吸急促和心悸(室上性快速性心律失常),以及发作频率低的肺部感染和右心衰竭。
心电图表现:电轴右偏,右房室增大,不完全性/完全性右束支传导阻滞,成年心律失常(心房扑动、心房颤动)。

右心导管检查是诊断肺动脉高压程度和肺血管阻力的金标准,可以同时测量心排血量(CO)和肺体循环血流量比(Qp/Qs)。
右心导管检查过程中,导管路径异常(从右心到左心的异常通路)以及高CO/心脏指数(CI) 且右心房血氧饱和度显著高于上腔静脉的血氧饱和度时,提示心房水平存在左向右分流。
一般认为房间隔缺损大于20 mm属于大的ASD,当缺损大小和右心大小、肺动脉压力不匹配时(如小的ASD合并明显增大的右心室和严重肺动脉高压)应警惕缺损测量有误、多孔ASD,合并肺静脉畸形引流、合并原发肺血管疾病等情况,需要进一步检查明确。
ASD引起右心增大、肺动脉压力升高是治疗的指征,包括手术治疗和封堵治疗,合并重度肺动脉高压的患者需要根据肺血管阻力和Qp/Qs比值情况决定治疗方案。
ASD不需要应用抗生素预防感染性心内膜炎。
ASD主要的超声表现是房间隔连续性中断、心房水平分流以及继发的右心增大和肺动脉压力升高。
小的ASD可以无症状,大的ASD主要临床表现为活动耐量的下降,严重时出现重度肺高压、右心衰竭,晚期艾森曼格综合征临床表现。
治疗方式包括手术治疗和封堵治疗,具体方案应根据个人病情决定。
部分不明原因卒中或不明原因栓塞性卒中与卵圆孔未闭有关。如何应用超声心动图诊断卵圆孔封闭?哪些患者能从导管封堵治疗中获益?明日话题将聚焦卵圆孔未闭的超声诊断,为大家一一解惑。
每天进步一点点
追上那个被寄予厚望的自己
明!天!见!

中国医学论坛报社版权所有

查看更多