查看更多
密码过期或已经不安全,请修改密码
修改密码
壹生身份认证协议书
同意
拒绝
同意
拒绝
同意
不同意并跳过
病史摘要
年龄:51岁
性别:女
婚姻状况:已婚
生育状况:G1P1
现病史:2008-07:发现左乳外上象限约“大枣”大小活动性包块,无痛,无乳头内陷,无溢液,无橘皮样变,无酒窝征,未行治疗。
2011-08:偶感左乳疼痛,无包块增大及性质改变。
2011-10:就诊于“延安医院”,行“左乳肿块切除术”,术中冰冻示:恶性,遂行“左乳癌改良根治术”,术后诊断:pT2N1MO IIB期,术后病理示:左乳浸润性导管癌,腋窝淋巴结1/9见癌转移,ER(+),PR(+),CerbB2(+)。
2011-10-08:行“环磷酰胺+多柔吡星+氟尿嘧啶”方案化疗1周期
2011-11-08:首诊我院放疗科,于2011-11-09、2011-11-30、2011-12-20、2012-01-10、2012-01-31行“紫杉醇240mg d1+表柔吡星60mg d1-2”方案化疗5周期。
2012-02-22:行“普通放疗左侧胸壁+左锁骨上淋巴引流区DT50Gy/25F”,后口服“他莫昔芬”内分泌治疗5年并规律复查,未见肿瘤复发及转移。
2013-05-09:复查B超示:右乳内异常低回声结节,BI:RADS:4A级,考虑良性,导管内乳头状瘤可能性大。
2013-05-20:行“右乳病变切除术”,术后病检示:乳腺病伴个别导管内皮增生。术后恢复可。后定期复查,未见肿瘤复发及转移。
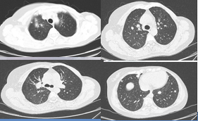
2018-10-26:患者出现咳嗽、咳痰,复查CT示:1.右肺上叶前段支气管狭窄、闭塞并周围、邻近右肺门软组织肿块形成,范围约3.2cm*2.7cm*2.6cm,病灶包绕右肺动脉,粘连上腔静脉,纵膈2R、4R、7组淋巴结肿大,考虑转移;2.双肺结节,部分融合,建议抗炎后复查;3.右侧肩背部、双侧下胸部皮下结节,转移待排。
诊断:T2N1MI IV期,建议行化疗,患者拒绝。
2018-10:开始规律皮下注射“醋酸戈舍瑞林缓释植入剂”+肌注“氟维司群”。
既往史/家族史:否认肝炎、结核、传染病史、心血管病史,2014年行“甲状腺右侧叶切除术”,术后病检示:甲状腺乳头状微癌,术后口服“左甲状腺素片”替代治疗,否认外伤史,否认输血史,否认食物药物过敏史,预防接种史不详。
入院检查
体格检查:
体温:36.5°C 脉搏:81次/分 呼吸:20次/分 血压127/77mmHg。
双乳外观不对称,左乳缺失,左侧胸壁可见一条长约20cm陈旧性手术疤痕,愈合良好,无溃疡,无硬结,双侧腋窝未触及肿大淋巴结,双侧锁骨上未触及肿大淋巴结。右乳外观正常,触诊未触及包块,乳头无溢液。
影像学检查:
2018年10月26号

入院诊断
1.左乳浸润性乳腺癌( cT4N1M1 IV期)
2.肺继发恶性肿瘤
治疗方案-手术治疗
手术过程及病理检查结果
2011-10:就诊于“延安医院”,行“左乳肿块切除术”,术中冰冻示:恶性,遂行“左乳癌改良根治术”,术后诊断:pT2N1MO IIB期,术后病理示:左乳浸润性导管癌,腋窝淋巴结1/9见癌转移,ER(+),PR(+),CerbB2(+)。
2013-05-09:复查B超示:右乳内异常低回声结节,BI:RADS:4A级,考虑良性,导管内乳头状瘤可能性大。
2013-05-20:行“右乳病变切除术”,术后病检示:乳腺病伴个别导管内皮增生。术后恢复可。后定期复查,未见肿瘤复发及转移。
治疗方案-内分泌治疗
辅助内分泌治疗:TAM 五年
晚期一线内分泌治疗: 2018年2月-至今天OFS+氟维司群(500mg)。
疾病进展检查结果
2019-10-16:右肺病灶较前缩小,约1.4*1.0cm,双肺多发结节较前部分缩小,右肺上叶结节较前增多,纵膈肿大淋巴结较前略缩小,短径小于1cm,右肺炎变较前吸收,右侧肩背部皮下结节较前缩小。
病例总结
该病人的分子分型为Luminal A型,是内分泌治疗的优势群体,且该患者的无病间期较长,辅助内分泌治疗甚至晚期一线选择内分泌治疗,转移部位为骨转移和软组织转移,是氟维司群内分泌治疗的优势人群,目前患者骨病灶的症状得到明显控制缓解,PFS已有9个月,大大改善患者的生活治疗。
查看更多