查看更多
密码过期或已经不安全,请修改密码
修改密码
壹生身份认证协议书
同意
拒绝
同意
拒绝
同意
不同意并跳过
病例分享:张辉 陆军军医大学第一附属医院 血管外科
病例点评:刘付宝 安徽医科大第一附属医院 肝胆胰外科
《原发性肝癌诊疗规范(2019年版)》为不同分期的肝癌患者量身定制了不同的治疗策略,建立了中国特色的肝癌分期系统(CNLC),针对肝癌早中期(如Ib期)患者,《规范》首推局部治疗如手术切除、TACE、消融等作为治疗方案。本例原发性肝癌患者在首诊时为CNLC Ib期,选择了手术切除,该患者术后发生肺部转移,选择联合系统治疗,给予分子靶向药物索拉非尼治疗,后联合PD-1,整体而言符合局部联合全身的治疗理念,患者也因此获得了长期的病情稳定,OS达33个月,回访至今,暂无复发倾向。



基本情况
王某,女性,45岁。2017-11-13入住我院。
主诉:右上腹疼痛不适1个月
查体:患者肝病面容,右肝肋缘下未,轻度压痛,叩击痛,移动性浊音(-),双下肢无水肿。
既往史:“乙肝”20余年。
实验室检查:肝功:ALT 121.1 IU/L,AST 148.3 IU/L,Alb 37.70 g/L,TBIL 17.30 μmoL/L,DBIL 3.70 μmoL/L;标志物: HBsAg 1947.00 COI,HBeAg 0.121 COI ,AFP21082.0 ng/mL,HBV-DNA 2.78+2 IU/mL;凝血功能:PT 12.3 S,PT-INR 1.1,APTT 25.6 S。
影像学检查:MRI提示右肝癌。

胸片未见异常。

诊断
原发性肝癌 Ib期 Child-Pugh A
慢性乙型病毒性肝炎
肝炎后肝硬化
治疗过程
经过MDT讨论(肝胆外科、肿瘤科、介入科、消化科)确定治疗方案。
第一阶段方案
2017-11-17,全麻下行右肝切除术+胆囊切除术。
复查:术后5天,胸部CT提示未见转移病灶。

术后5月,AFP:30.14 ng/mL

术后8月,AFP:33.86 ng/mL

第二阶段方案
药物方案:2018-03-18,开始服用索拉非尼,400 mg/次,bid。
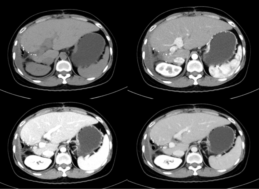
复查:服药后1月,2018-04-18,CT提示双肺转移癌PR。


服药后3月,2018-06-18,CT提示双肺转移癌PR,肝癌未见复发病灶,AFP 73.7ng/mL。



服药后6月,2018-09-06,CT提示双肺病灶PD。

影像对比:服药后1月、3月、6月比较,肺部病灶先缩小,再增大。

服药后1月、3月、9月比较,肺部病灶先缩小,再增大,肝内未见病灶。

第三阶段方案
2018-12,帕博利珠单抗 静滴 100 mg/21 d。
复查:PD-1后2月,2019-02,肺部病灶PR。

PD-1后5月,2019-05,肺部病灶PR,肝内未见复发病灶。AFP 1.22 ng/mL。

不良反应:2019-05患者出现心慌、心累、乏力,考虑心脏毒性,停止PD-1治疗,心电图提示心律失常,心脏超声提示未见异常,心肌损伤标志物阴性。
针对措施:在当地予以强心药及丹参治疗3月后缓解。

复查:停止PD-后5月,2019-11,肺部病灶SD,肝内未见复发病灶。AFP 1.27 ng/mL。


小结
2017-11-17全麻下行“射频辅助下右半肝切除+胆囊切除术”,病理诊断:肝细胞性肝癌。
2018-03发现双肺转移,口服索拉非尼行分子靶向治疗,病灶先缩小,半年后增大。
2018-12开始使用帕博丽珠单抗行二线治疗5个月停药至今,病灶持续缩小,治疗有效。下一步诊治方案该如何进行?



本病例是一例肝右叶孤立性大肝癌,属于中国原发性肝癌临床分期(CNLC)中的Ib期,经过多学科讨论(MDT)首选外科手术治疗,安全实施了规则性右半肝切除,术后AFP由术前的21082.0 ng/mL降至正常,术后8月发现双侧肺部多发转移结节,同时AFP升高,予以索拉非尼治疗后明显有效,病灶缩小,服药半年后肺部病灶再次进展,应用免疫检查点抑制剂PD-1,病灶达到PR,即使停用PD-1后仍无肿瘤复发和进展,显示了PD-1的拖尾效应(需要了解是否与同时服用TKI与关系)。
本病例资料齐全,随访细致全面,彰显了肝癌治疗的全程化管理的重要性,所有治疗措施和方案均符合中国原发性肝癌诊疗规范并取得良好的临床效果,从本例可以初窥靶向联合免疫治疗是提高肝癌OS的未来研究和发展的方向,药物选择的时机,指征和优化措施期待多中心的广泛合作和深入研究!
(本篇内容由刘付宝专家审校及点评)
更多精彩内容欢迎扫码观看直播:

查看更多