查看更多
密码过期或已经不安全,请修改密码
修改密码
壹生身份认证协议书
同意
拒绝
同意
拒绝
同意
不同意并跳过
病例分享:李方坤 河南省肿瘤医院 微创介入科
病例点评:陶开山 空军军医大学西京医院 肝胆胰脾外科
我国是肝癌高发国家,HBV感染是肝癌主要病因。对中期HCC来说,TACE是最常用的局部治疗方法,随着技术的成熟与改进,其作用也逐渐被人们认可。对于肝癌的全身治疗而言,不断有研究表明,索拉非尼可显著延长不可手术的晚期HCC生存时间。TACTICS 研究显示:TACE联合索拉非尼显著改善生存获益,延缓疾病进展,显著延长OS超过50%。本例肝癌A期患者,在TACE+RFA+索拉非尼的综合治疗下病情最终获得稳定,患者获得较好的生存获益,OS已高达5年,为肝癌的临床研究提供了令人振奋的真实数据参考。



基本情况
彭某,男性,58岁。2015-07在我院体检时胸部+腹部增强CT提示肝癌,肺部无转移。
既往史:未发现肝炎病史,无高血压、糖尿病、心脏病病史。
实验室检查:乙肝15+,HBV DNA 4.56×105,肝功能A级,AFP 7.67 ng/mL,CA-199 50.86 U/L
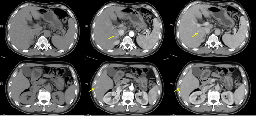
影像学检查:2020-05门诊CT:

上腹部MRI:

诊断
肝癌 Child-Pugh A期
慢性乙型病毒性肝炎
肝炎后肝硬化
治疗过程
第一阶段方案
2015-07-10,c-TACE治疗。
药物方案:恩替卡韦抗病毒治疗。

影像提示:碘油CT

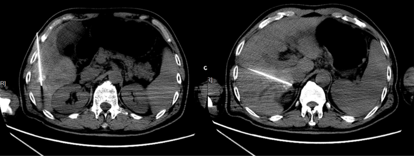
2015-07-16,联合RFA。

复查:3月后出现进展。

第二阶段方案
c-TACE(第2次)联合索拉非尼。

药物方案:索拉非尼,400 mg/次,bid。
复查:2016-01,TACE 2月后,肝内无活性病灶 、乙肝病毒载量转阴。

2016-01~2017-07,复查次MR及CT:肝内无瘤,无血管侵犯、肝外转移,坚持口服索拉非尼 400 mg,bid
2017-10,肝内进展,TTP 21个月。
第三阶段方案
2017-10-12,二次进展。肝顶部结节,考虑子灶;余肝内可见多处腺瘤样增生结节。

2017-10-17,第3次TACE。
DSA提示:肝内多发结节。

2017-10-23,第2次RFA。


药物方案:索拉非尼,400 mg/次,bid。
复查:第2次 RFA消融后3月,复查MR无活性病灶。(至2020-04 第3次复发,间隔 30个月。) 第三阶段方案
2020-04-24,第3次进展,S4单发病灶。

治疗方案:第3次RFA联合索拉非尼

药物方案:索拉非尼,早400 mg+晚300 mg。
不良反应:手足反应,尿蛋白2+,高血压1级,乏力,腹泻

小结
TACE是不可切除肝癌的首选治疗方式,并且地位提前。
TACE联合索拉非尼可延缓疾病发展 联合时机越早越好。
适当时机的射频消融干预,并联合索拉非尼,有望获得更久的无瘤生存。



该病例病史资料完善,影像学资料清晰。患者58岁男性,肝癌A期,2015-07选择TACE联合RFA治疗符合2012版BCLC诊疗指南,术后3月复发及时联合索拉非尼治疗,至2017-10二次进展,TTP21月,再次选择TACE联合RFA,继续索拉非尼治疗,至2020-04第三次进展,间隔近30月时间,再次选择RFA治疗。截至目前大约5年的病程,各阶段治疗方式选择合理,治疗及时,效果显著,且随访严密,很好的体现了肝癌患者的全程化管理。讨论环节用详实的数据进一步体现出对该患者治疗方式选择的合理性。稍微不足之处在于本文索拉非尼不良反应的处理没有提及,下次需注意,值得思考的是患者整个治疗过程中多次进展,仅调整了局部治疗方式,并未考虑序贯二线标准治疗方案瑞戈非尼,如序贯是否疗效会更好?
(本篇内容由陶开山专家审校及点评)
更多精彩内容欢迎扫码观看直播:

查看更多