查看更多
密码过期或已经不安全,请修改密码
修改密码
壹生身份认证协议书
同意
拒绝
同意
拒绝
同意
不同意并跳过
01
说说颅脑CT那三个窗
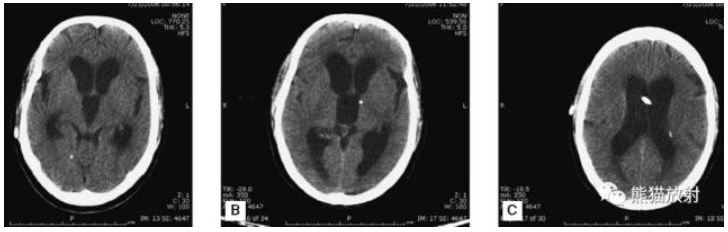
颅脑CT常用的三个窗(图A-C):
图A:骨窗(the bone window)
图B:脑窗(the brain window)
图C:血窗(the blood window)

图A:骨窗;主要用于明确骨折、窦腔病变、颅内积气。

图B:脑窗;可清晰显示灰白质,可发现中风的早期征象或其他导致脑水肿等表现的病变。

图C:血窗;更利于显示硬膜下或颅内出血。
本例表现:骨窗示:右顶骨骨折;三个窗均示:软组织水肿并皮下积气;血窗:少量硬膜下血肿。
02
应注意的常见伪影

1.射线硬化伪影(Beam-hardening artefact):常见于颅脑基底部及后颅窝。


2.容积平均伪影(Volume-averaging artifact):层厚较大时,可导致血液密度表现,在脑基底部较典型,易发生在眼眶上方额叶。
本例表现:四脑室囊性病变导致梗阻性脑积水。
03
正常解剖
1.从前至后:额窦、额骨、冠状缝、顶骨、人字缝、枕骨。

2.右侧从前至后:眼球、泪腺、外直肌、内直肌、蝶骨、耳道、胸锁乳突肌。
3.左侧从前至后:纸板、筛窦气房(箭头位置应内移至近中线处)、乳突气房、脊髓。

4.从前至后:上眼眶、颞下回、脊髓、小脑、乳突气房、乙状窦、四脑室、枕大池。

5.从前至后:额窦、鸡冠、蝶鞍、脑桥、小脑脚、小脑、四脑室。

6.从前至后:大脑镰、伪影、额叶、视交叉、大脑前(ACA)、大脑中动脉(MCA)、颈动脉、基底动脉、侧脑室、脑桥、颞叶、四脑室、小脑蚓、小脑脚。

7.从前至后:大脑镰、额叶、外侧裂池、颞叶钩回、视交叉、基底池、中脑、大脑脚、小脑蚓、小脑、矢状窦。

8.从前至后:大脑镰、额叶、侧脑室前角、尾状核头、基底节正常钙化、内囊、基底节、三脑室、颞叶、中脑导水管、环池、小脑蚓、枕叶。

9.从前至后:大脑镰、透明隔、尾状核、丘脑、侧脑室三角区脉络丛正常钙化、大脑镰。

10.从前至后:大脑镰、额叶、灰白质交界处、侧脑室、大脑镰、枕叶、矢状窦。

11.从前至后:大脑镰、放射冠。
04
急诊影像示例
1.颅骨骨折

额骨骨折:左侧额窦内外侧壁骨折。

左侧颞骨骨折。
2.硬膜外血肿

硬膜外血肿、颅内积气(提示骨折)。

硬膜外血肿(凸透镜样;可有或无颅骨骨折)。
3.硬膜下血肿

右侧硬膜下血肿(急性-高密度,慢性-低密度);右侧大脑水肿,中线结构移位。

(小脑幕下)硬膜下血肿

(大脑镰左侧)硬膜下血肿:可见轻度占位效应。

左侧硬膜下血肿:呈等密度,有占位效应,中线结构移位。

双侧亚急性硬膜下血肿:左侧可见急性出血,双侧占位效应平衡,中线结构无移位。

双侧等密度硬膜下血肿
4.蛛网膜下腔出血

外伤性蛛网膜下腔出血:脑沟、脑池内可见高密度影。

额叶及颞叶脑挫伤:脑出血并周围水肿,可随时间扩大,导致占位效应及脑疝。由于受周围骨质影响,脑基底部挫伤容易遗漏。

头部枪伤:可见子弹轨迹,穿越大脑中线,其毁灭性后果导致:侧脑室积血,蛛网膜下腔出血,脑积水(侧脑室颞角扩大),小脑幕疝(脑干周围基底池消失或不对称)。

动脉瘤破裂导致蛛网膜下腔出血、脑室积血、非交通性脑积水。
与外伤性蛛网膜下腔出血不同,动脉瘤破裂导致的SAH常不累及大脑凸面,而位于基底池附近。脑动脉瘤常位于鞍上池的Willis环血管。
A:四脑室积血;
B:中脑导水管、环池、右侧侧脑室颞角积血,前交通动脉处(动脉瘤好发位置)出血密度较高;
C:三脑室积血;
D-F:侧脑室积血,蛛网膜下腔出血(血液代替了脑脊液)。
5.高血压性脑出血

高血压性脑出血:
①自发性出血;
②继发于长期高血压及慢性血管病;
③常见于基底节区、丘脑、脑桥、小脑。
A:占位效应,相邻脑沟、脑池消失;F:脑出血破入四脑室

钩回疝:是当代偿机制不能适应占位性病变时的结果。
基底节区大量高血压性脑出血,破入脑室及蛛网膜下腔,周围水肿,脑干周围空间消失;脑干出血、脑积水。
6.脑梗死

缺血性卒中:
①早期:脑水肿,灰白质分界模糊,脑沟消失;
②中期:病变区域密度减低;
③晚期:脑实质体积缩小。
A:陈旧性脑梗死,右枕叶体积缩小;
B:左枕叶急性脑梗死,灰白质分界模糊,脑沟消失;
另一患者:
C、D:亚急性期脑梗死,低密度,无明显占位效应。

左侧大脑中动脉供血区脑梗死(亚急性期):低密度,轻度水肿。
缺血性卒中发作2~4天时,占位效应最明显。
7.脑积水

脑积水,并脑室分流。
8.占位性病变

急诊患者的症状大多由于病变的占位效应所引起。能引起脑水肿及占位效应的病变有:原发肿瘤或转移瘤,血管畸形,炎性病变(弓形虫、脑脓肿)。
来源:熊猫放射

ISC 2022|续写新篇章 —— “替奈普酶”精彩继续……
癫痫及抗癫痫药物推荐丨2022 AHA/ASA自发性脑出血患者管理指南
查看更多