查看更多
密码过期或已经不安全,请修改密码
修改密码
壹生身份认证协议书
同意
拒绝
同意
拒绝
同意
不同意并跳过
导 语
胸片上影响胸腔积液表现的因素取决于患者的体位、重力作用、积液量及肺弹性回缩的程度。
肺底积液
几乎所有的胸腔积液都是先积聚在肺下方肺底部,即位于膈肌上表面的壁胸膜与下叶下面的脏胸膜之间。
如果积液完全位于肺底,在常规胸片上很难发现,除非类似于一侧膈肌轮廓改变,但实际上是肺下方的积液-肺交界面。
肺底积液的不同表现总结见下表。

肺底积液不等于包裹性积液。
大部分肺底积液在患者变换体位时可以随意流动。


肋膈角变钝
当肺底积液增多时,首先表现为后肋膈角变钝,可在侧位胸片上显示。
这种情况下大约有75ml胸腔积液。

当胸腔积液量达到300mI时,外侧肋膈角变钝,在正位胸片,上可见。

诊断误区:胸膜纤维化引起胸膜增厚也可以产生肋膈角变钝。

解决方案:瘢痕有时产生特征的呈“滑雪斜坡式”外观的肋膈角变钝,不同于胸腔积液的新月形改变。
胸膜增厚不会随患者位置改变而发生改变,而大部分胸腔积液可以。
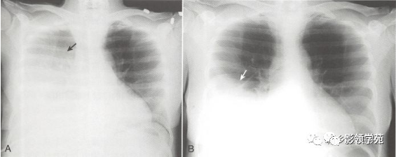
半月征
因为肺的自然弹性回缩,在正位投射上胸腔积液的外侧边较内侧边高。这形成了胸腔积液典型的半月形。
侧位投射上,积液积聚呈U形改变,前方和后方上升的高度一致。
识别出半月形的异常肺密度增强提示胸腔积液。
患者位置对于胸腔积液形态的影响如下:直立位时,胸腔积液由于重力沉至胸腔底部。仰卧位时,自由流动的积液会位于后方胸腔内,当正位看时在整侧胸腔形成均匀的模糊改变。

患者半卧位时,胸腔积液会在肺底形成厚度不同的三角形分布,三角形的尖端或最细的部分上升的高度不同,取决于患者半卧的程度和积液量的多少。
诊断误区:肺上叶的清晰度取决于患者卧床程度,当患者直立时,积液降至胸腔底部,肺上叶显示更清晰;当患者卧床时,积液开始位于胸腔后方,肺上叶变得更致密(更白)。在胸腔积液量一定时,这种胸腔积液再分布会随患者体位改变。
解决方案:最好的办法是每一个行便携式胸片检查的患者都处于相同的位置下曝光。
侧卧位胸片
卧位像可用于如下情况:确认是否存在胸腔积液;确定胸腔积液是否可以在胸腔内自由流动,这是尝试引流胸腔积液前需要了解的一个重要因素;发现胸腔积液掩盖的肺组织;如果胸腔积液在胸腔内可以自由流动,积液会形成身体较低侧沿胸腔内侧缘的带状高密度影。
右侧卧位时,患者的右侧较低,右侧胸腔积液会沿其表面分布。左侧卧位时,患者的左侧较低,左侧胸腔积液会在其表面分布。

如果存在黏连,可阻碍胸腔积液在胸腔内自由流动。
胸部侧卧位像可显示少至15~20mI的胸腔积液,但胸部CT已经代替了卧位像用于发现少量胸腔积液。
诊断误区:如果一侧胸部密度增高,请不要预约胸部侧卧位检查,积液位置不会发生改变,且其掩盖的肺组织在卧位时并不能比患者直立时显示更多。这种情况下胸部CT扫描可以更好地评价掩盖的肺组织。
一侧白肺
当成人的一侧胸腔含有约2L积液,整侧肺不透明。
当积液填充了胸膜腔,肺组织将被动塌陷(不张)。
在常规胸片上,大量胸腔积液可使胸部密度增高,以至于掩盖了肺部本来的疾病。CT检查方式经常用于观察被胸腔积液掩盖的肺组织。
大量积液表现得类似于肿块,使心脏及气管移位,远离密度增高侧。

包裹性积液
胸膜腔的黏连常常是由曾经的脓胸或血胸造成,可以限制胸腔积液的正常移动,所以患者采取任何体位积液仍保持在相同的位置。
影像表现:当胸腔积液形态或位置不寻常时,应该怀疑到包裹性积液,如积液抵抗重力因素,即使患者直立状态仍位于肺尖。
包裹性胸腔积液具有重要的治疗意义,因为这种积液内可有多处黏连,不同于引流可自由移动的胸腔积液,用一根引流管不能引流多个无交通的间隔内的积液。

肺裂假肿瘤
假肿瘤是肺叶间裂胸膜间或肺裂下方胸膜下部位形成的边界清楚的胸腔积液。这属于漏出性胸腔积液,几乎全部发生于充血性心力衰竭的患者。
假肿瘤的影像表现很典型,不应该误认为是真正的肿瘤。
假肿瘤形状类似于晶状体,常发生于肺水平裂( 75% ),且常每侧有尖端慢慢深入肺裂内,形状类似柠檬。患者变换体位时不会自由流动。
当潜在的病因(通常为充血性心力衰竭)被治疗后积液可消散,但是当患者的心力衰竭再发后,积液可每次在相同的位置上重新出现。

层状积液
层状积液是胸腔积液的一种形式,其沿胸壁外侧形成的薄层带状高密度影,尤其是在近肋膈角处。与通常的胸腔积液不同,层状胸腔积液时外侧肋膈角常保持锐利。
层状积液基本上是由于左房压升高,如慢性心力衰竭或继发于肺的恶性肿瘤的淋巴管播散。它们通常不是自由流动的。
在胸片正位上,可见带状高密度影在肺底处将含气肺组织与肋骨内侧缘分隔开来。
在正常人中,充气肺组织应该延伸至每个连续肋骨的内侧。

液气胸
胸膜腔内既有气体(气胸)也有异常体积的液体(胸腔积液)同时出现,称为液气胸。
液气胸较常见的原因包括外伤、手术或近期穿刺引流胸腔积液时气体进入胸膜腔。
支气管胸膜瘘,支气管与胸膜腔之间相对少见的异常沟通,通常是由于肿瘤、手术或感染,可在胸膜腔内同时产生气体和液体。
不同于单独的胸腔积液,由于肺组织的弹性回缩形成新月形的形状,水平X线照射下液气胸在一侧胸腔形成边界平直锐利的气-液平面。

鉴别液气胸及肺脓肿的征象,CT通常是必要的,因为在常规胸片上二者表现类似。
来源:新乡医学影像
查看更多