壹生大学

壹生身份认证协议书

本项目是由壹生提供的专业性学术分享,仅面向医疗卫生专业人士。我们将收集您是否是医疗卫生专业人士的信息,仅用于资格认证,不会用于其他用途。壹生作为平台及平台数据的运营者和负责方,负责平台和本专区及用户相关信息搜集和使用的合规和保护。
本协议书仅为了向您说明个人相关信息处理目的,向您单独征求的同意,您已签署的壹生平台《壹生用户服务协议》和《壹生隐私政策》,详见链接:
壹生用户服务协议:
https://apps.medtrib.cn/html/serviceAgreement.html
壹生隐私政策:
https://apps.medtrib.cn/html/p.html
如果您是医疗卫生专业人士,且点击了“同意”,表明您作为壹生的注册用户已授权壹生平台收集您是否是医疗卫生专业人士的信息,可以使用本项服务。
如果您不是医疗卫生专业人士或不同意本说明,请勿点击“同意”,因为本项服务仅面向医疗卫生人士,以及专业性、合规性要求等因素,您将无法使用本项服务。

同意

拒绝

同意

拒绝

知情同意书

同意

不同意并跳过

工作人员正在审核中,
请您耐心等待
审核未通过
重新提交
完善信息
{{ item.question }}
确定
收集问题
{{ item.question }}
确定
您已通过HCP身份认证和信息审核
(
5
s)

绝处逢生、病情逆转,小干扰RNA助力心源性休克患者血脂平稳,预后改善

2024-12-17作者:Kangn资讯

家族性高胆固醇血症(FH)是一种常染色体显性遗传病,其主要临床表现为血清低密度脂蛋白胆固醇(LDL-C)水平显著升高,以及皮肤/腱黄色瘤[1]。FH患者早发动脉粥样硬化性心血管疾病(ASCVD)风险明显增高。患者动脉粥样硬化的病理过程始于青少年时期,心血管事件,如心脏病、心肌梗死和中风的风险随年龄的增加而增加[2]


本期我们有幸邀请到北京大学第三医院张瑞涛医为我们分享1例青年FH患者发生心源性休克后的全病程诊疗管理,并让我们跟随北京大学第三医院朱丹教授对本期病例的深入剖析与点评,一起挖掘小干扰RNA药物在FH患者中长期血脂管理的应用潜力。


专家简介
image.png

 张瑞涛 医师

北京大学第三医院

  • 北京大学第三医院,主治医师,临床医学博士

  • 主要从事心血管疾病临床诊治工作

  • 主要研究方向为冠脉功能学评估和心血管代谢疾病的诊治

  • 兼任北京高血压防治协会心血管代谢专业委员会委员

  • 参与国家十三五重点研发计划“冠心病支架内血栓防治关键技术研究”

  • 发表中英文论文数篇

  • 参与多部专业著作的编写编译


病例分享


演示文稿1_01(6).jpg

张瑞涛医师病例分享视频


基本情况

一般资料:患者男性,27岁。


主诉:持续胸痛8小时。


病情简介:患者因持续性胸痛8小时就诊我院急诊科,心电图示V1、aVR导联抬高,广泛导联ST段压低。极高危心电图表现,提示冠状动脉左主干或三支病变。就诊期间患者突发意识丧失、室颤,测量血压仅65/40 mmHg,乳酸含量5 mmol/L。急诊立即对患者行胸外按压、电除颤,并迅速转运至导管室。


初步诊断:心脏骤停,心源性休克,急性广泛前壁心肌梗死。

急诊处理

冠脉造影提示严重三支病变:


image.png

LAD急性闭塞


image.png

LCX(左)RCA(右)慢性闭塞


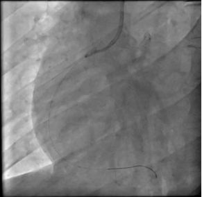
治疗策略:大剂量血管活性药物+IABP循环支持,建立PCI通道、急诊处理LAD。


image.png


病因评估

患者患有家族性高胆固醇血症(LDL-C水平):


父亲4.2 mmol/L(瑞舒伐他汀10 mg qn)


母亲3.32 mmol/L(瑞舒伐他汀5 mg qn)


哥哥约3 mmol/L(瑞舒伐他汀15 mg qn)


患者7岁时发现四肢关节处出现黄色瘤;20岁时检查血脂LDL-C高达16 mmol/L,服用瑞舒伐他汀20 mg qn+依折麦布10 mg qd+普罗布考0.5 g bid;2月前检查LDL-C水平6 mmol/L,注射阿利西尤单抗75 mg 2周一次;1周前经基因检测患者为LDLR复合杂合子,确诊为杂合子家族性高胆固醇血症(‌HeFH)。

最终诊断

心脏骤停,心源性休克,急性广泛前壁心肌梗死,杂合型家族性高胆固醇血症。


治疗经过

完全血运重建、提高生活质量:支架+药物球囊


(1) RCA PCI:JR 3.5指引导管,Pilot 50导丝,球囊无法通过。


image.png


(2) 微导管抵近,旋磨导丝通过病变,1.25 mm磨头,15-17万次/分*4次 57s。


image.png


(3) IVUS评估:


image.png


(4) RCA植入支架和药物球囊:RCA近中段Promus Premier(2.75*38 mm)、(3.0*38 mm)支架;RCA远段-PDA(2.25*15 mm)药物球囊。


image.png


降脂治疗,改善预后:入院时LDL-C 3.08 mmol/L,降脂目标为<1.4 mmol/L。


(1) 他汀类药物+依折麦布+PCSK9抑制剂:LDL-C未达标;


(2) 双倍剂量PCSK9抑制剂+他汀类药物:LDL-C 1.71 mmol/L;


(3) PCSK9抑制剂+PCSK9小干扰RNA+他汀类药物:LDL-C 1.21 mmol/L。


患者一个半月后复查:心肺运动试验阴性,超声心动图LVEF 59%,日常活动无明显胸痛。



专家简介


image.png

 朱丹 教授

北京大学第三医院

  • 北京大学第三医院,主任医师,副教授,硕士生导师

  • 美国超声心动协会专家成员

  • 亚太基层卫生协会超声分会委员

  • 全国心血管疾病管理能力评估与提升工程(CDQI)国家标准化心血管与代谢疾病中心专家委员会委员

  • 中国健康促进基金会血压防控与研究专业委员会委员

  • 北京高血压防治协会心血管代谢医学专业委员会常委

  • 北京医学会心血管病学分会心血管代谢学组委员

  • 北京医学会医政准入现场审核专家库成员

  • 北京市科委专家库成员

  • 《中华医学杂志》编委,European heart journal 、《中华心血管病杂志》审稿人

  • 2018-2019年国家公派美国梅奥诊所访问学者

  • 专业方向为心血管代谢医学、心脏影像方面的基础及临床研究

  • 主持和参与国家自然家自然科学基金3项,主持教育部基金1项,参与科技部基金1项,主持北京大学第三医院院重点基金1项,中国心血管疾病药物治疗研究基金1项,中国健康促进基金会1项

  • 以第一作者身份发表本领域相关文章30余篇,其中SCI文章14篇,参写教材2部,主译1部,参译2部


病例点评


本次分享的病例患者因持续性胸痛就诊我院,就诊期间突发心源性休克,紧急治疗后生命体征得以稳定。入院后,患者完善相关检查确诊为杂合型家族性高胆固醇血症(‌HeFH)。年少不知“稠”滋味,患者7岁时就已经出现四肢关节处黄色素瘤,既往最高血脂达16 mmol/L。自20岁以来,患者一直服用他汀+依折麦布+普罗布考降脂方案,但是血脂仍控制不达标,2个月前测量LDL-C水平仍有6 mmol/L。患者年仅27岁冠脉三支就已经严重病变,这是导致患者心源性休克的主要原因,而长期的血脂异常是导致患者冠脉病变的主要危险因素。


明确患者病因后,我们首先对患者进行完全血运重建,分别在患者RCA近中段以及RCA远段-PDA植入Promus Premier(2.75*38 mm、3.0*38 mm)支架和药物球囊(2.25*15 mm)。术后患者的降脂治疗是改善预后的关键,根据《中国血脂管理指南(2023年)》推荐,对于超高危ASCVD患者LDL-C目标值<1.4 mmol/L[3]。在使用双倍剂量PCSK9单抗+他汀药物的降脂方案后,患者血脂仍然未达标,因此我们再次调整降脂方案,采用PCSK9抑制剂+他汀类药物+英克司兰的降脂方案,最终患者血脂达标。


英克司兰是一种新型降低LDL-C的药物,属于PCSK9小干扰RNA类药物。它具有特殊的肝细胞内RNA干扰机制,可以靶向降解PCSK9 mRNA,抑制其蛋白合成,从而上调LDL受体,降低LDL-C水平[4]。英克司兰的疗效和安全性此前已经过多项临床试验验证,特别是在HeFH患者中,LDL-C水平降幅达47.9%[5]。此外,他汀联合英克司兰强化降脂治疗有效降低斑块脂质含量,稳定动脉粥样硬化斑块。在真实世界中,英克司兰表现出高依从性,更有助于长期稳定控制血脂[6]


患者在出院1个月后复查心功能较前改善显著,日常活动再无明显胸痛,超声心动图提示LVEF为59%,LDL-C水平也顺利达标,为1.21 mmol/L。总的来说,英克司兰的加入成功地帮助患者实现了血脂达标,显著地降低了心血管事件发生风险。血脂达标是治疗ASCVD患者的重要方向,希望通过本次病例的分享,能够向广大医生和患者朋友传递强化降脂的理念,联合降脂是大势所趋,英克司兰为降脂治疗提供了新的选择。


参考文献:


1.  家族性高胆固醇血症筛查与诊治中国专家共识[J].中华心血管病杂志,2018, 46(02): 99-103.

2.  Schefelker JM, Peterson AL. Screening and Management of Dyslipidemia in Children and Adolescents. J Clin Med. 2022 Oct 31;11(21):6479.

3. 中国血脂管理指南修订联合专家委员会.中国血脂管理指南(2023年)[J].中华心血管病杂志,2023,51(3): 221-255.

4. Comparison Of An “Inclisiran First” Strategy With Usual Care In Patients With Atherosclerotic Cardiovascular Disease: Results From The VICTORION-INITIATE Randomized Tria. Presented at ACC2024.

5. Huo Y, et al. Efficacy and Safety of Inclisiran in Asian Patients: Results From ORION-18. JACC Asia. 2023 Nov 14;4(2):123-134.

6. R Scott Wright. 2023 ESC. ORION-8: Long-term efficacy and safety of twice-yearly inclisiran in high cardiovascular risk patients.


审批码LEQ0035041-80935,有效期为2024-12-12至2025-12-11,资料过期,视同作废

200 评论

查看更多