查看更多
密码过期或已经不安全,请修改密码
修改密码
壹生身份认证协议书
同意
拒绝
同意
拒绝
同意
不同意并跳过
有很多患者查出肺小结节后,到医院就诊,医生建议3个月或者6个月后随访复查。但是患者不免有这样的担忧:「万一肺小结节在这几个月内增大了呢?」「这3个月的时间,我的肺小结节会不会耽误了?治疗就晚了?」带着这些问题,我们请教了北京协和医院呼吸与危重症医学科副主任医师徐燕医生。
对于有些小于1cm的纯磨玻璃结节或者是小于8mm的实性结节,医生可能会在门诊的时候让患者定期随访,目的就是为了观察这个结节会不会变大、变实。如果结节随着时间变大、变实,它可能是一个早期肺癌。在这种情况下,医生就会建议患者去做手术。

徐燕医生告诉我们,因为肿瘤有自己的特性,它会随着时间慢慢增长,有自己倍增的时间,这个时间在30~300天左右,所以它并不会突然长大。正是如此,医生可以随着时间去观察结节的变化,所以在复诊随访的时候会有时间的间隔,比如3个月随访、6个月随访,需要通过一段时间来观察结节变化如何,帮助医生做判断。如果肺内结节/病变在一星期内变大,它是恶性的可能性反而就比较低,更有可能是感染类的病变。
徐燕医生特别强调,在肺内结节随访过程中大家不用特别担心,因为肿瘤的增长需要时间,即使是早期肺癌的结节病灶,在3~6个月的随访中,它也不会由一个很早期的肿瘤也不会变成晚期肿瘤或发生转移。

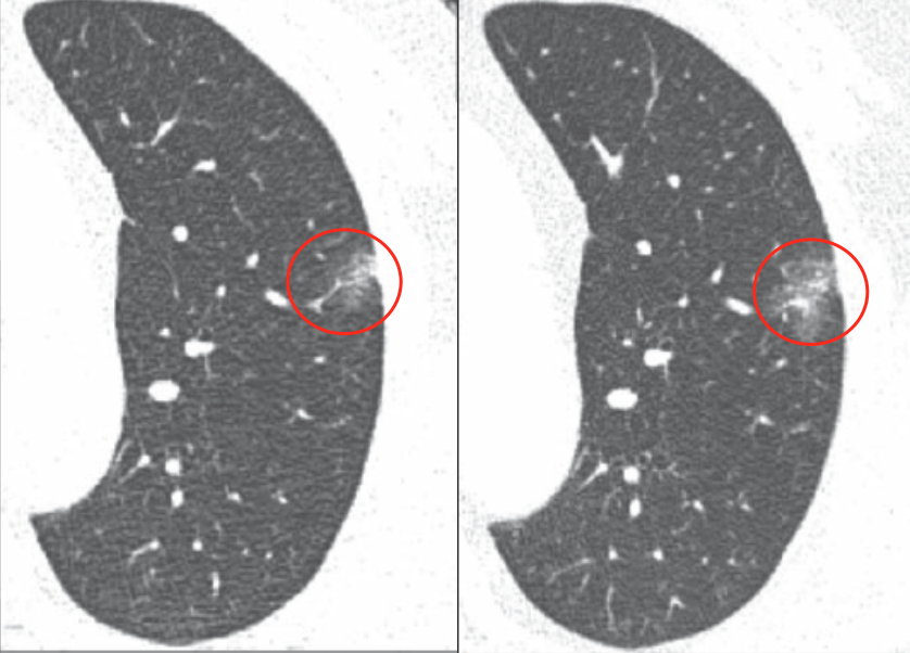
【图1】
如图1所示,左侧图片为13mm形态不规则的磨玻璃结节,里边有一些偏实性的成分,但并非是典型的早期肺癌的影像学表现。在34个月(将近3年)的随诊过程中,这个结节变大了,右侧图片的实性成分增多,考虑为肿瘤。在这种情况下,患者做了手术之后的病理显示为腺癌。
徐燕医生表示,上述病例经过了34个月的随诊,病灶在略有增长和变实的时候切除,帮助患者和医生增强了手术的信心,病灶切下来还是一个早期肿瘤,随诊所需要的时间并不意味着肿瘤就会变成晚期或者播散,所以大家不用过于担心。时间和肺内结节的变化情况也是帮助医生来判断结节性质的一个非常重要的措施。
来源:公众号《看呼吸》
查看更多