查看更多
密码过期或已经不安全,请修改密码
修改密码
壹生身份认证协议书
同意
拒绝
同意
拒绝
同意
不同意并跳过
头颅MRI容易误诊的影像很多,部分并不为人所熟知。
扩大的血管周围间隙非常常见。
高场强、薄层扫描的话,每一个人都可见,无论老幼、男女。
影像诊断要点包括:
部位
常见部位:前穿质区,外囊区,额顶叶皮层下,中脑。——务必熟记!
其他部位:丘脑,颞枕叶皮层下,侧脑室周围白质,小脑。
形态
纺锤样,泪滴状。
信号
与脑脊液一致。

血管周围间隙常见分布。


前穿质区VRS经典CT、MRI影像。

侧脑室顶区周围白质也是VRS的常见部位。
鉴别诊断:
腔隙灶
当扩大的血管周围间隙部位、形态、信号典型时,鉴别诊断非常容易。
当扩大的血管周围间隙部位、形态、信号不典型时,鉴别有一定的难度。
薄层扫描有助于这类小腔隙样灶的鉴别。
腔隙灶多为软化灶,FLAIR边缘多呈高信号,边缘不光整,无泪滴状或纺锤样外观。
脉络膜裂囊肿
定位是其主要依据,冠状面、矢状面有助于区分。
脉络膜裂囊肿起自脉络膜裂,更容易沿脉络膜裂延伸、向下压迫海马。
而前穿质区扩大的血管周围间隙是起自前穿质区,较大时容易向脉络膜裂方向膨隆,因此脉络膜裂是受压变窄的,且“囊样灶”下方可见残存的“基底节区”脑实质。
神经胶质囊肿
脑实质型神经胶质囊肿罕见,圆形或类圆形,无泪滴状或纺锤样外观;FLAIR边缘多呈稍高信号。
神经胶质囊肿多为单发,若多发时,两者之间,扩大的血管周围间隙更为常见。
伴血管周围间隙扩大的其他疾病,如隐球菌感染,黏多糖病等
神经系统隐球菌感染常见于基底节区,“扩大的血管周围间隙”信号并非纯粹脑脊液样信号,邻近脑实质亦会信号异常;增强可强化。
黏多糖病罕见,“扩大的血管周围间隙”常见于半卵圆中心,多伴有脑发育不良等征象。
注意,扩大的血管周围间隙也是脑小血管病的影像学标志之一,但并非所有扩大的血管周围间隙均与脑小血管病有联系。
一般认为,基底节区中上区域扩大的血管周围间隙多与脑小血管病有关系。


图1 基底节区扩大的血管周围间隙,丘脑腔隙灶典型影像,均为脑小血管病影像学标志

图2 容易误诊的扩大的血管周围间隙

图3 容易误诊的扩大的血管周围间隙



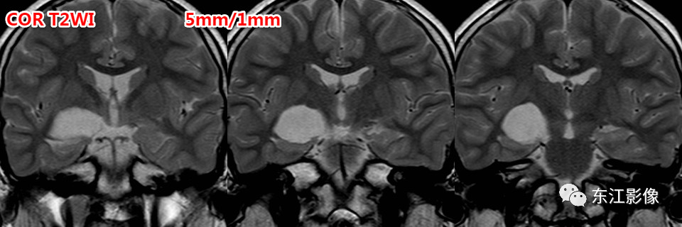
图4 容易误诊的肿瘤样扩大的血管周围间隙

图5 脉络膜裂囊肿,与前穿质区扩大的血管周围间隙比较
前穿质区扩大的血管周围间隙经常被误诊为脉络膜裂囊肿、腔隙性梗死灶。
信号上血管周围间隙与脉络膜裂囊肿没什么差异,形态学有一定的价值。
前穿质区是血管周围间隙最常见的部位,主体位于脑实质,层面合适时可见尖角(==》多方位观察)。
矢状或冠状薄层图像更容易显示向下突出的“残留”的脑实质!这是区分两者的重要影像证据!
脉络膜裂囊肿位于脉络膜裂,先引起脉络膜裂增宽,海马受压;压力大时,才向上压迫前穿质区脑实质。
注意,海马的压力较前穿质区脑实质小得多,所以脉络膜裂囊肿更容易压迫海马,因此主体部位不应是位于前穿质区!
注意,3D TOF MRA有断层图像,也是薄层的3D 梯度回波T1W图像,尽管对比度较差,但有时候是可以提供帮助的!



图6 中脑急性梗死,与扩大的血管周围间隙比较。

图7 黏多糖病
小结:
影像诊断的主要价值是避免误诊,避免可能因误诊而发生的不必要的恐惧、治疗。
扩大的血管周围间隙也是脑小血管病的影像学标志之一,但并非所有扩大的血管周围间隙均与脑小血管病有联系。
“了解——实践印证、比较——记忆——应用”,不仅仅是看个病例。
来源:神经病学医学网(作者:Doctor X.)
查看更多