查看更多
密码过期或已经不安全,请修改密码
修改密码
壹生身份认证协议书
同意
拒绝
同意
拒绝
同意
不同意并跳过
Lemmel 综合征
疾病概述
Lemmel综合征(Lemmel syndrome)即十二指肠憩室梗阻性黄疸综合征,又称十二指肠憩室并胆胰管综合征,是指十二指肠憩室压迫胆总管,影响胆汁和胰液的排泄而发生梗阻性黄疸或胰腺炎病征。(同义词:乳头综合征。)
【病理与病因】
先天性因素:憩室发生区一般为十二指肠发育的薄弱点;
后天性因素:主要为憩室炎症等的长期刺激,Oddi括约肌功能受到明显影响,使肠液逆流,导致细菌生长繁殖,从而发生胆胰疾病。
发生于十二指肠降段内侧部的憩室,一旦压迫胆总管的十二指肠开口处,即可影响胆汁和胰液的排泄,发生胆汁和胰液淤滞,使管腔内压力升高,诱发胰腺炎或梗阻性黄疸。个别患者胆总管向憩室内开口,或向憩室呈部分开口,易导致Lemniel综合征发生。
【内镜所见】
除可发现憩室的开口外,还可了解憩室与十二指肠乳头的关系;镜下憩室在十二指肠乳头附近有边缘整齐的唇洞口,无活动性胆汁溢出;在较大的憩室内可见不能移动的食物残渣,若并发憩室炎则洞口边缘唇部红肿、触之易出血,若将导管插入洞内则折回肠腔。
各学者报道患病率不等,常规X线胃肠钡餐检查发现率为2%~7%,内镜逆行胆胰管检查(ERCP)平均为15%,尸检为23%。
【临床表现】
最常见体征/症状:间歇性上腹部疼痛或饱胀感、反酸、嗳气;严重者可出现梗阻性黄疸或胰腺炎症状。
多发生于56~76岁的中老年人;男女患病率大致相等。若无并发化脓性胆管炎或出血坏死性胰腺炎,预后良好。
诊断确定后原则上应进行手术治疗。手术方式包括两大类:直接针对憩室的手术,包括憩室切除术和憩室内翻缝合术;不直接处理憩室而采用各种转流术;内支撑管引导下内镜括约肌切开术更适合于年老体弱患者。
【影像表现】
X线表现
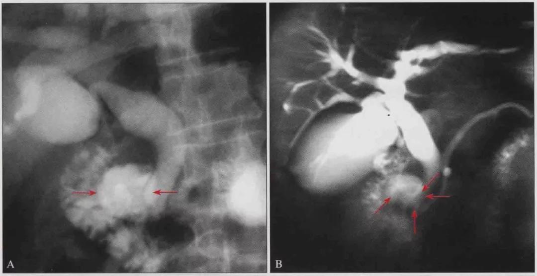
上消化道钡餐透视:十二指肠降段乳头旁憩室,与肝胰壶腹关系密切(图-1A,B)
CT表现
胰头部右后方呈圆形含气囊袋影,可有液平;服用阳性对比剂均能见对比剂进入憩室,部分憩室内可见食物残渣影填充(图-1C,D);胆总管的中上段扩张,下段与憩室关系密切。
MR表现
十二指肠环内侧和胰头间呈类圆形囊状液体信号影,与十二指肠关系密切,或与肠腔直接沟通,部分可突入胰头,与胰腺组织交界处清楚、锐利,其内可见液气平面,若憩室内有食物残渣充填,则表现为混杂信号;多方位MRCP重建结合横轴位及冠状位图像观察,显示病灶位于胰头内但未完全被胰腺组织包绕,且与十二指肠有直接相连。
推荐影像学检查:MR检查。
【鉴别诊断】
胰头囊腺瘤:胰腺囊腺瘤多表现为多发分隔,增强分隔可见强化,一般不会引起胆管炎、胆管结石或胰腺炎等并发症。
胰头假性囊肿:胰头区类圆形囊性液性信号影,可并发胰腺炎等影像学表现,需要结合上消化道钡餐透视鉴别。
乳头区淋巴管瘤:少见,薄壁囊性液性信号影,增强扫描后无强化,上消化道钡餐透视亦可鉴别。
典型病例


图-1 Lemmel综合征
内容节选自《中华临床医学影像学-全身综合性疾病分册》
文章转发自新乡医学影像
查看更多