查看更多
密码过期或已经不安全,请修改密码
修改密码
壹生身份认证协议书
同意
拒绝
同意
拒绝
同意
不同意并跳过
免疫检查点抑制剂(ICI),特别是程序性死亡配体1 (PD-L1)和受体(PD-1)抑制剂,是单药治疗或联合化疗治疗晚期非小细胞肺癌(NSCLC)一线患者的新标准,对于后续含铂双药化疗进展后的治疗,也有许多药物也被批准用。
比如Nivolumab、pembrolizumab和atezolizumab等目前都已被批准用于晚期NSCLC。但是,相信很多人都认为PD-1和PD-L1抑制剂作用机制都是类似的,所以如果PD-1耐药了,再用PD-L1是不会有什么效果的。
事实真是如此吗?
近期的多篇文章,改变了我的看法。其中最新的是今年8月BMJ上的一篇文章,报告了一位晚期NSCLC患者,他在接受了铂双药化疗和nivolumab单药治疗进展后,再用atezolizumab达到了完全缓解的状态。接下来就和邱医生一起来看一下吧。

病史回顾
患者:76岁,男性
既往史:有吸烟史,每年约50包
主诉:因3个月前进行性左髋疼痛入院
入院后检查:
左髋MRI示左骨髋臼6.1×5.6×7.5 cm的软组织病变;
髋臼软组织肿块活检显示,腺癌分化程度较差;
高通量测序显示无驱动基因突变;
肿瘤突变负荷高(23.16mut/Mb);
免疫组织化学法检测PD-L1表达为0%;
PET-CT检查显示,左肺高代谢肿块,大小为4.3×3.5 cm,伴弥漫淋巴结转移,同时具有多发骨转移;
脑部MRI显示无中枢神经系统受累;
ECOG评分1分。
诊断:
非小细胞肺癌(腺癌),IV期(伴有弥漫性淋巴结转移、多发骨转移)
基因突变阴性
治疗经过
一线治疗:姑息性放疗+含铂双药化疗
仅4周期就出现疾病进展
患者首先接受了胸椎和左髂骨转移灶的姑息性放疗,剂量是20Gy。同时于2016年8月开始了卡铂和培美曲塞治疗,在4周期化疗结束后CT显示疾病进展,出现了新的骨转移和肺转移病灶。

二线治疗:免疫治疗(PD1单抗)
最佳疗效评价PR,但PFS不足9个月
在一线治疗失败之后,患者从2016年11月更换方案,开始采用免疫治疗。具体为:PD1单抗纳武利尤单抗O药,3mg/kg,每隔一周的治疗。治疗3个月后复查PET-CT扫描显肿瘤缩小,疗效评价PR。

第17周期时复查影像显示左上叶肺部肿块大小从2.3×1.9cm增加到3.3×2.4cm,21周期时增加到3.9×3.2cm。临床判定患者出现疾病进展,PD1单抗出现耐药。现在应该怎么办?

三线治疗:免疫治疗(PD-L1单抗)
最佳疗效评价CR,起效迅速
由于前线已经经历了放疗、化疗、免疫治疗等治疗手段,患者的身体状态较差,后续的治疗该何去何从?综合考量之下,医生出于假设,PDL1单抗能够与CD80结合克服PD1单抗的想法,于2017年8月为其更换了PDL1单抗阿替利珠单抗治疗。
结果确实出人意料,在使用6个月后复查CT提示病灶完全消失,已经达到完全缓解。截至文章发表时,该患者已接受35周期的阿替利珠单抗(atezolizumab)治疗,未发生任何与免疫相关的不良事件,并持续完全缓解。

要知道,即使在初治患者人群要达到CR(完全缓解)这样的状态都是比较难得的,对于这样一位经历了两线治疗的患者而言,更是难度升级。而且,我们往往把PD1单抗和PDL1单抗视为同一种药物,如果PD1耐药了,通常不会再使用PD-L1。但是,近期越来越多的研究数据和案例报道,都在给我们提示:PD1单抗和PD-L1单抗并不是同一种药物,如果PD-1耐药了,还可以大胆尝试PD-L1。二者的使用,并不存在冲突。那这其中的原理又是什么呢?
在前文的这个案例中,作者在文章的讨论部分也进行了相关的理论阐述:PD-L1抑制剂阻止PD-L1与其受体PD-1和CD80的结合。虽然CD80通常被认为是一种共刺激受体,但它也可能充当效应T细胞和记忆T细胞的负调节剂。而CD-80的过表达被认为是对PD-1抑制剂产生抗性的机制之一。

由此可见,PD1单抗和PD-L1单抗虽然只有一字之差,但是从分子机制来看,两者作用的靶点却是完全不同的。
PD-1、PD-L1区别
PD-1的全称是程序性死亡受体1(programmed death 1),PD-1广泛表达于免疫细胞,是一种重要的免疫抑制分子。PD-1的主要配体为PD-L1,PD-L1主要表达于肿瘤细胞表面。配体PD-L1和受体PD-1结合后,在肿瘤微环境中抑制T细胞活化的免疫应答。为了躲避T细胞等免疫系统的追踪,肿瘤细胞很“聪明”,通过大量表达PD-L1实现免疫逃逸。
PD-1还有一个配体,叫做PD-L2(即B7-DC),主要由DC细胞、巨噬细胞和B细胞表达。PD-L2这个配体虽然亲和力比PD-L1高,但其在肿瘤免疫中的作用要次要得多,而和炎症、自身免疫性疾病等关系更密切。PD-1抗体会特异的和免疫细胞表面的PD-1结合,阻止PD-1与PD-L1和/或PD-L2和结合,释放被抑制的肿瘤特异的T细胞杀伤能力。比如我们熟悉的nivolumab和pembrolizumab都是属于PD-1抗体。其他免疫检查点抑制剂,诸如durvalumab、atezolizumab、avelumab则属于PD-L1抗体,只阻断了PD-L1和PD-1的结合,而对PD-L2和PD-1的结合没有影响。另外,和PD-1单抗不同,PD-L1单抗除了可以抑制PD-1 - PD-L1通路外,还可以通过阻断B7.1和PD-L1的共抑制功能,有利于全面激活T细胞功能和细胞因子产生。

对于前文提到的这位患者而言,结合分子机制来看,PD1单抗出现耐药后换用PDL1单抗仍然取得了CR(完全缓解)这样惊人的疗效,也许就能够说得通了。
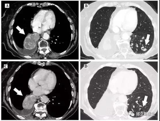
并且,这位患者并不是第一位PD1单抗出现耐药后换用PD-L1单抗还获益的患者,早先就有一例个案报道是发表在Clinical Lung Cancer的一个真实案例:一例79岁女性局部晚期肺鳞癌患者,PD-L1阳性(30%),TP53突变。一线接受序贯放化疗进展后,先是使用了PD-1单抗O药,并没有明显缓解,只是持续稳定在缓慢的无症状性疾病进展中。一年后,进展加速时,更换了PD-L1单抗T药,达到了PR(部分缓解),未出现任何3-4级毒性。

(图像A、B)为给予PD-L1单抗之前;(图像C、D)为给予PD-L1治疗5个月之后;左侧显示肿瘤块,右侧图显示对侧肺部病变。肿瘤体积由75×52毫米缩小到57×40毫米,空洞结节由17×14毫米缩小到13×9毫米。
虽然,目前相关的作用机制仍不甚明确,但是有这么多的文章以及个案报道,足以证明在PD-1耐药之后,相比于直接做化疗而言,采用PD-L1治疗是一个上上之选。那么,PD-1单抗和PD-L1单抗的差别就仅此而已吗?不是的。
在不良反应方面,二者也是有一定的区别:相对而言PD-L1单抗更低毒。
PD-1单抗可同时阻断肿瘤上的PD-L1和PD-L1双位点与PD-1结合,而PD-L1单抗只单阻断PD-L1与PD-1结合,保留了巨噬细胞的PD-L2,可有效地避免间质性肺炎(打破PD-L2功能可导致RGMb异常激活,引起肺炎)等副作用的发生。
①一项META分析纳入了2000-2016年23个免疫单药的肺癌研究。从这些研究中,分析得出免疫相关性不良反应(irAEs)方面,PD-1单抗有更高发生率的趋势,(16% vs 11%,P=0.07)。另外,间质性肺炎(pneumonitis)的发生率,使用PD-1单抗的患者要高于PD-L1单抗治疗,分别为4% vs 2%(P=0.01)。

②另一个研究分析了免疫单药在2010-2016年19个肺癌免疫单药实验。结果显示,PD-1单抗的间质性肺炎总体发生率明显高于PD-L1单抗(3.6% vs 1.3%,P=0.001)。PD-1单抗发生3-5级肺炎的频率也高于PD-L1单抗(1.1% vs 0.4%,P=0.02)。

当然,以上两项都是回顾性的分析,得出的结果与真实世界仍存在一定的差距,所以仅供参考。但我们始终都应怀抱希望,回到今天的题目,对于一个无基因突变的患者,PD-1抗体耐药之后大概率就只能做化疗了,但是现在他们又多了一个新的选择,或许PD-L1抗体能够带给他们不一样的生存获益。
著名免疫学专家陈列平教授曾经指出,部分PD-1单抗耐药的患者使用PD-L1单抗药物后依然会有效。机体对PD-1单抗耐药的原因并不是真正的肿瘤药物耐药,是基于机体对药物抗体自身的抗原属性产生了抗体,免疫学上称为抗抗体。也就是说患者不是对这个靶点耐药了,还是对药物本身的动物源属性产生了抵抗,再换另一种来源的此类药物依然能够起效。
从这个角度讲,PD-1单抗耐药之后替换成PD-L1抗体不失为一个选择,只是目前机制不够明确罢了。我相信,这些复杂的机制迟早有一天都会被大家彻底厘清,到时肿瘤患者的生存时间必定会再上一个大的台阶。
转载自 邱立新医生
编辑 中国医学论坛报 阿锤

查看更多