查看更多
密码过期或已经不安全,请修改密码
修改密码
壹生身份认证协议书
同意
拒绝
同意
拒绝
同意
不同意并跳过
病史摘要
年龄:54
性别:女
婚姻状况:已婚
生育状况:G2P2
主诉:5+年前(2014-06)因发现左乳包块至四川省肿瘤医院就诊。
现病史:5+年前(2014-06)因发现左乳包块至四川省肿瘤医院就诊,行超声检查及活检,乳腺彩超:左乳BI-RADS 4b类结节,直径2.5cm,腋窝2*2cm肿大淋巴结,皮髓质分界不清楚。乳腺X线片:左乳3*2.5cm肿块影,可见毛刺征及沙粒样钙化。左乳包块穿刺,病理提示:查见浸润性导管癌,免疫组化:ER(++)90%,PR(++)75%,HER-2(-),ki67(+)25%。
既往史/家族史:无
辅助检查
体格检查:发育正常,全身皮肤无黄染及瘀斑瘀点,淋巴结无肿大,眼睑正常,结膜正常,眼球正常,巩膜无黄染。左侧乳房内侧象限可扪及一直径3*2.5cm的肿块,质硬,与周围组织无粘连,无压痛,反跳痛及肌紧张,肝脾未扪及,肝区无叩痛。
实验室检查:验血常规,生化,尿常规,心电图无异常。
PET/CT:全身骨显影清晰,放射性分布均匀。全身骨未见异常。
入院诊断:病灶发生或复发时间、部位及状态、转移情况、基因分析结果 左乳进浸润性导管癌,pT2N2M0,ⅢA期,LuminalB型(HR阳性/HER2阴性型)。
治疗方案:
手术治疗:
术前检查:乳腺彩超:左乳BI-RADS 4b类结节,直径2.5cm。腋窝2*2cm肿大淋巴结,皮髓质分界不清楚 ;乳腺X线片:左乳3*2.5cm肿块影,可见毛刺征及沙粒样钙化;穿刺活检:(左乳)浸润性导管癌
手术过程及病理检查结果:2014年6月25日全麻下行”左乳腺癌改良根治术“。
术后病理提示:左乳进浸润性导管癌,pT2N2M0,ⅢA期,LuminalB型(HR阳性/HER2阴性型);免疫组化: ER(++,90%)、PR(++,75%)、HER2(-)、Ki67(+,约25%)。
术后治疗:辅助化疗6周期,方案TEC(2014年7月2日至10月16日);化疗结束后给予辅助放疗(50Gy/25f/5w);2014年11月起行阿那曲唑1mg qd内分泌治疗。
内分泌治疗:
2019年1月起采用:哌柏西利+氟维司群500mg内分泌联合治疗,同时给予唑来膦酸治疗。
治疗考虑:2019CSCO:HR(+)的绝经后患者晚期内分泌治疗。

疾病进展检查结果:
CT/ECT/MRI图像等:
2018年12月复查显示:
①腹部B超显示:肝内多发低回声结节,较大者位于左肝,大小约28mm×23mm),考虑转移可能性大;
②ECT示:全身多发骨代谢异常浓聚,考虑骨转移可能性大;
③胸腹部CT(图1):左侧内乳及纵隔内多发淋巴结肿大,右侧第4后肋转移瘤考虑,心影左旁结节,转移可能。右侧第2后肋成骨性改变。肝内多发转移瘤(最大直径约2.5cm)。腰2椎体骨质异常,转移瘤可能。

图1:肝部转移灶

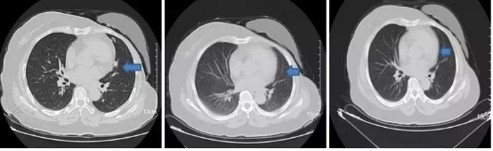
图2:肺部转移
疾病进展诊断:
病灶发生或复发时间、部位及状态、转移情况、基因分析结果
PET/CT示:左侧内乳血管旁、纵隔、左肺门多发淋巴结转移,肝内多发转移,左侧颅底骨、两侧肩胛骨、右侧第4后肋、腰3椎体、右侧髂骨、骶骨及尾骨广泛骨转移,左肺上叶舌段、左肺下叶背段多发实性小结节,FDG代谢增高,考虑转移可能性大。
超声引导下行肝穿刺活检术,病理示:(肝)低分化癌浸润,结合免疫组化,符合乳腺癌转移。
免疫组化:ER(++,90%)、PR(++,90%)、HER2(-)、Ki-67(+,40%)
诊断:左乳腺癌改良根治术后,左内乳、纵隔、左肺门淋巴结转移,肝、肺、骨转移( Ⅳ期)
疾病进展检查结果:
第一次复查:
2019年4月复查
两个月后胸腹部CT与2018年12月基线对比(图3、图4):
①乳腺癌术后改变,左侧内乳及纵隔内多发淋巴结肿大,较前稍缩小。
②左肺结节较前已不明显,建议复查。
③右侧第4后肋转移瘤,较前成骨,右侧第2后肋成骨性改变较前相仿。
④肝多发转移瘤,较前有缩小,肝内最大转移瘤直径由2.5cm缩小至1.7cm。腰2骨质异常,较前成骨改变,建议复查。
综合疗效评价为:部分缓解(PR)

图3:患者肝部转移灶(从左至右依次为:治疗基线、治疗后3个月)

图4:患者肺部转移灶(从左至右依次为:治疗基线、治疗后3个月)
第二次复查:
2019年7月复查
胸腹部CT与既往2019年4月对比(图5、图6):
①左乳癌术后改变,左侧内乳及纵隔内多发淋巴结,较前大致相仿。
②左肺下叶小片状磨玻璃影,较前明显,建议复查。
③右侧第4后肋转移瘤,右侧第2后肋成骨性改变较前相仿。
④肝多发转移瘤,较前有缩小,肝内最大转移瘤直径由1.7cm缩小至1.0cm。腰2骨质异常,较前成骨改变,建议复查。
综合疗效评价为:PR

图5:患者肝部转移灶(从左至右依次为:治疗基线、治疗后3个月、6个月)

图6:患者肺部转移灶(从左至右依次为:治疗基线、治疗后3个月、6个月)
病例总结:一线内分泌治疗阶段:本患者为绝经后女性,初诊IV期,乳腺癌多发骨转移 Luminal B型,按照国内外指南,对于HR阳性,HER2阴性的晚期乳腺癌患者,单纯骨转移,无内脏危象的首选内分泌治疗,来延长生存和提高生活质量。首选第三代AI或氟维司琼均可,因社保原因,和当时哌柏西利国内未上市,一线内分泌治疗选择了非甾体AI。(北美试验、TARGET试验等研究);IV期患者是否原发灶手术:目前有争议,但近年来IV期患者原发灶手术比例逐年下降,需慎重选择合适患者。本例患者一线非甾体AI内分泌治疗五年左右疗效SD,因患者分子分型好,较年轻,内分泌治疗有效和手术意愿,行原发灶手术。 内分泌治疗对于晚期乳腺癌患者的意义:对于HR阳性,HER2阴性的晚期乳腺癌患者,内分泌治疗非常重要,不但可以延长生存,还拥有更好的生活质量。内分泌治疗如果有效,其维持的时间较化疗更长。尤其是现在有了氟维司群,哌柏西利这些更好的药物,进入了AI+,氟维司群+的时代。选择合适的患者首选内分泌治疗,一线治疗尤为重要,有条件尽量给予最好的治疗。而维持治疗也非常重要,也需要尽量联合治疗逆转内分泌耐药,提高疗效。在内分泌一、二线以内联合治疗更好。而多线治疗,内分泌耐药后即使联合CDK4/6抑制剂,疗效也欠佳,可能错失最佳治疗机会。
查看更多