查看更多
密码过期或已经不安全,请修改密码
修改密码
壹生身份认证协议书
同意
拒绝
同意
拒绝
同意
不同意并跳过
基本信息
患者,女性,25岁,身高155 cm,体重60 kg,入院时间2019年1月31日。
主诉
咳嗽、咳痰、发热8 d,剖宫产术后2 d。
现病史
入院8 d前,患者受凉后出现咳嗽、咳痰,体温最高39℃,伴咽痛,周身乏力、酸痛,当地诊所给予阿奇霉素等静脉滴注,症状缓解。患者孕39周,自觉胎动减少,上腹部不适,入院3 d前就诊于当地医院妇产科,完善胸片检查,可见双下肺片状渗出影,诊断为肺炎。入院2 d前行剖宫产(产一活单胎男婴),后转入外科监护病房,给予美罗培南、利奈唑胺、奥司他韦等治疗。入院1 d前患者氧合逐渐下降,俯卧位通气效果不明显,氧合指数60 mmHg左右,遂联系体外膜肺氧合(ECMO,extracorporeal membrane oxygenation)救治(图1)。患者氧合和心率均有所改善,后从当地医院转运至我院,过程顺利。

图1 VV(静脉-静脉)-ECMO的建立和转运
既往史
否认高血压、糖尿病病史,无外伤史、输血史,否认肝炎、疟疾、结核病史,否认过敏史。
个人史
适龄结婚,G4P2,一子一女,子女体健。否认吸烟、饮酒史。
家族史
否认家族性遗传病史。
体格检查
T 37.0℃,P 89次/min,R 16次/min,BP 108/52 mmHg(NE 24 μg/min泵入)。气管插管镇静状态,口唇无发绀,心脏查体无异常,腹部外科敷料覆盖,肝脾肋下未触及,双下肢不肿。
肺部专科查体:VV-ECMO支持状态,呼吸节律规整,双侧胸廓扩张度对称,未触及胸膜摩擦感;双肺叩诊实音,双下肺可闻及湿啰音,未闻及胸膜摩擦音。
辅助检查
当地医院:2019年1月28日,流感病毒抗体阳性;2019年1月31日,肌钙蛋白I 6.80 ng/ml(↑),肌酐103 μmol/L,NT-proBNP 1036 pmol/L,PCT 0.18 ng/ml。
入院诊断
重症肺炎(病毒性肺炎),ARDS,ECMO支持状态;剖宫产术后。
第一阶段 VV-VAV-ECMO,心肺支持(2019年1月31日至2月11日)
问题1:合并暴发性心肌炎
2月2日,心脏彩超示室间隔及左室壁厚度正常,各阶段运动幅度普遍性减低,左心室射血分数减低,射血分数19%。液体复苏后仍需要大剂量去甲肾上腺素维持血压,考虑暴发性心肌炎和心源性休克。考虑两种方案:①IABP;②VA(静脉-动脉)-ECMO。鉴于患者已行VV-ECMO,考虑另一种方式的支持效果可能更好,故行VAV-ECMO。患者循环各项指标逐渐好转(表1)。
表1 患者循环变化情况

动态监测患者心肺功能(表2,图2),2月11日,评估心脏可以脱离支持,故撤除VAV-ECMO中的“A”,继续进行肺支持。
表2 患者心脏彩超监测结果


图2 患者胸部X线片检查
患者转入我院后抗感染治疗及相关指标变化见表3。入院1周后,患者体温升高,WBC和CRP水平亦持续升高。在呼吸支持下,患者血气能够维持(表4)。前期患者凝血尚可(表5),出现血小板降低情况后给予输注补充。考虑患者病情较为危重,故给予较深的镇静镇痛(表6)。
表3 患者转入后抗感染治疗及相关指标变化情况

表4 患者生命支持及血气分析情况

表5 患者凝血功能变化情况

表6 患者镇静镇痛管理

2月12日,患者WBC和CRP明显升高,体温38.3℃,调整抗生素使用方案:头孢哌酮舒巴坦+利奈唑胺+奥司他韦;至2月18日,患者体温仍高达38.0℃,考虑是否继发真菌感染,故调整用药方案为伏立康唑+替加环素+泼尼松(表7)。
表7 患者抗感染治疗及相关指标变化情况

患者呼吸支持情况见表8。肺部情况有所好转,相对稳定,胸部X线片提示肺部通透性改善。2月15日,血气分析提示膜肺氧合功能出现一定障碍(表9)。
表8 患者呼吸支持情况

表9 膜前膜后患者血气分析情况

问题2:凝血纤溶异常
2月15日,患者D-二聚体水平升高至35.2 mg/L(我院检查上限值),纤维蛋白原消耗明显,患者多部位出血,更换膜肺(图3),之后患者出凝血障碍得到一定程度的缓解(表10)。此段时间患者氧合有明显改善,考虑撤离ECMO。2月18日胸部CT提示大部分呈修复、纤维化表现,右下肺肺大泡可能与机械通气时间长、肺损伤愈合等有关(图4)。单用VV-ECMO期间,患者潮气量和分钟通气量逐渐升高,氧合改善,故于2月20日撤离ECMO,但患者当天晚间出现气胸。

图3 更换膜肺前患者出凝血功能情况
表10 更换膜肺后患者出凝血功能情况


图4 患者胸部CT(2019-02-18)
感染仍然是主要问题。2月21日给予患者右侧气胸引流,2月26日发现患者右侧脓胸,胸腔积液培养结果提示耐碳青霉烯类肺炎克雷伯菌,给予持续生理盐水冲洗,自3月2日起,给予阿米卡星0.4 g胸腔冲洗及上下管生理盐水冲洗,于3月9日拔除右上引流管;患者体温仍居高不下,胸腔积液培养仍为耐碳青霉烯类肺炎克雷伯菌(表11)。3月7日胸部CT提示出现新的脓腔,胸外科建议超声定位脓腔,再次置入引流管引流。3月8日右侧胸腔置入中心静脉导管,引流液性状与右侧闭式引流管下管引流液一致。
表11 患者抗感染治疗方案及相关指标变化情况


2月21日,患者气管切开。患者肺部情况相对稳定,肌力有所恢复;3月12日胸部X线片可见右肺通透性较前下降。患者呼吸支持及氧合情况见表12。
表12 患者呼吸支持及氧合情况


问题3:脓胸内科处理效果不佳
持续胸腔冲洗及阿米卡星胸腔注药后,血常规白细胞虽有所下降,但患者仍发热。
胸部CT可见脓腔引流不良,变换体位等效果不明显。
更换抗生素(多黏菌素)?外科处理?
与家属沟通后,拟于3月13日胸外科行右侧脓胸廓清术。
考虑患者家庭经济情况,在没有多黏菌素的情况下,给予美罗培南(延长输注时间)+厄他培南。
患者3月13日手术当天体温39.0℃,3月14日体温38.0℃,3月15日给予美罗培南+厄他培南治疗后体温降至正常,且未再升高。3月26日,患者BALF GM 1.02,将伏立康唑换为伊曲康唑。至此,患者脓胸得以控制(表13)。
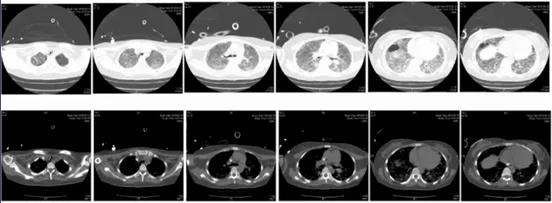
3月17日胸部CT示脓腔吸收,右下肺肺不张。患者各项指标逐渐好转,3月22日,患者开始进行间断脱机锻炼;3月25日胸部CT提示脓腔吸收,肺复张(图5)。3月27日拔管(表14)。3月30日,患者出院。
表13 胸外科术后患者抗感染治疗方案及相关指标变化情况


图5 患者胸部CT(2019-03-25)
表14 胸外科术后患者呼吸支持情况

病例来源:北京朝阳医院呼吸于危重症医学科 王睿
本文首发于重症肺炎
查看更多