查看更多
密码过期或已经不安全,请修改密码
修改密码
壹生身份认证协议书
同意
拒绝
同意
拒绝
同意
不同意并跳过

病例提供:哈尔滨医科大学附属第一医院 白冰
郭XX,男,63岁
主诉:阵发性胸闷3年,加重伴呼吸困难1月
入院时间:2022-4-16
现病史:该患于3年前劳累后出现胸闷,位于心前区,无胸痛及放射痛,持续3~5分钟,伴有乏力、心悸、气短。劳累时加剧,休息可缓解。2019年就诊于外院,冠脉CTA提示:左前降支中段、第一对角支血管非钙化斑块,管腔轻度狭窄。予以调脂、抗血小板、改善循环等治疗(具体药物不详),上述症状缓解。入院前1个月患者再次出现胸闷,伴有活动时明显气促、乏力,自发病以来,饮食、睡眠正常,体重无减轻。门诊心电图检查示“陈旧性心肌梗死”的表现,为求进一步诊治而入院。
既往史:高血压病史30年,最高达190/110 mmHg,平素应用“厄贝沙坦 150 mg qd po”,血压维持于130~140/80~90 mmHg。糖尿病病史10年,平素应用“二甲双胍 0.5 g tid po”,自诉定期医院随诊规律监控血糖并评估糖尿病进展状况。
否认手术、外伤史。
个人史:吸烟史20年,40支/日,戒烟30年。饮酒约30年,5两/次,3~5次/周,已戒酒约10年。
家族史:高血压病家族史,父亲、两个哥哥、姐姐均患有高血压病。
体格检查:
一般状态可,神志清,语言流利,入院血压162/68 mmHg,脉搏95次/分,体重80 kg,身高178 cm、BMI 25.24 kg/m2 。双肺呼吸音清,未闻及干湿啰音。心前区无异常隆起或凹陷,心界正常,无震颤,心率95次/分,率齐,各瓣膜区未闻及病理性杂音。双下肢无水肿,两侧桡动脉搏动正常,两侧足背动脉搏动正常。
实验室检查:
血常规:WBC 11.4×109/L、中性粒细胞绝对值 7.79×109/L。
血生化系列:GLU:7.42 mmol/L 、TG :2.36 mmol/L、ALT:63 U/L、γ-GT:153 U/L、UA:442 μmol/L、β2微球蛋白:3.86 mg/L。
梅毒螺旋体抗体:11.47 S/CO。
肿瘤系列:CA211: 9.9 pg/ml、NSE:28.03 pg/ml。
BNP:553 pg/ml。
TNI_ADU:84.9 pg/ml。
入院时ECG

心脏彩超

初步诊断
不稳定性心绞痛 冠心病
陈旧性心肌梗死?
缺血性心肌病?
慢性心力衰竭
高血压病 3级 很高危组
2型糖尿病
诊断依据
1.男性,63岁。
2.高血压病史30年 糖尿病病史10年
3.吸烟史20年,40支/日,戒烟30年。大量饮酒约30年,白酒5两/次,3~5 次/周,已戒酒约10年。
4.心电图:Ⅱ,Ⅲ,avF QS;V1~V3 QS
5.左房增大、左室轻大、右房饱满,左室壁增厚.EF48%
6.实验室检查 GLU:7.42 mmol/L 、TG:2.36 mmol/L、LDL2.26mmol/L; BNP:553 pg/ml TNI:84.9 pg/ml
我们的疑惑.......
1,心电图与心脏彩超不匹配:1)心电图提示的下壁、前壁心肌梗死,心脏彩超没有相应节段的运动障碍,没有相应部位坏死心肌的表现,EF48%。2)室间隔及后壁增厚,心电图没有出现匹配的左室高电压,而是低电压。
2.病史与症状不匹配:1)患者自律性很强,药物依从性很好,定期到内分泌科住院调节血糖,体型匀称,颈围正常。2)没有明显胸痛心梗、心衰病史,反过来说,如果平时有心血管疾病症状,可能会早早频繁到心内科就诊。
寻真之路
1. 血管层面的排查:冠脉造影?冠脉CTA?CTA阴性排除性诊断特异性更好!
2. 进一步的检查?
针对心肌酶升高 心肌损伤的检查检验
针对心肌肥厚的病因检查
3. 与之前的既往病历做对比
心电图(2019-03-18)

2019年前心电图没有心肌梗死及左室高电压的表现
心脏彩超(2019-03-19)

心脏彩超没有心肌肥厚表现
病因筛查
高血压的病因筛查及靶器官损伤
肾动脉彩超:双肾、双肾动脉未见明显异常。
肾上腺CT:未见异常。
高血压四项(卧、立位):ARR比值正常。
无夜间打鼾、白天嗜睡等情况甲状腺功能、肝功、血糖、血脂、尿常规、24小时尿酸、离子、肌酐、蛋白等均正常。
双下肢彩超:双下肢动脉内膜增厚。
颈动脉彩超:双侧颈动脉内-中膜增厚并斑块形成。
腹部大血管彩超:腹主动脉未见明显异常,双侧髂动脉未见明显异常。
心肌损伤原因筛查
EB病毒:抗EB病毒早期抗原IgG:阴性,抗EB病毒核抗原IgG抗体:阳性,抗EB病毒衣壳抗原IgG:阴性,抗EB病毒核抗原IgM抗体:阴性。EB病毒基因定量:<5.0e+2 拷贝/毫升
弓形体:IgM抗体:<3.00 AU/mL(0~6),IgG抗体:<3.00 IU/mL(0~7.2)
风疹:IgM抗体:17.5 AU/mL(0~20),IgG抗体:15.00 IU/mL(0~10)
巨细胞病毒:IgM抗体:<5.00 AU/mL(0~18),IgG抗体:163 IU/mL(0~12)
单纯疱疹病毒:IgM抗体:<0.5 AU/mL(0~20),IgG抗体:26.9 IU/mL(0~10)
C反应蛋白:19.1 mg/L(0~8)
抗“O”、类风湿因子、抗核抗体、血沉均正常

心功能持续受损


动态心电图
最快心率:110次/分,最慢心率:64次/分,平均:86次/分
窦性心律
房性早搏332次(包括室内差异性传导) 偶成对、二联律
房性心动过速4次
偶发室性早搏
T波改变
心脏彩超牛眼图+心肌灌注超声+负荷超声心动图

心脏彩超的牛眼图主要用于其他原因所导致的心肌肥厚鉴别,
静息状态下:左心功能减低 左室壁各阶段心尖部普遍灌注稀疏、减低
负荷状态下:左心功能减低 左室壁各阶段心尖部普遍灌注稀疏、减低
冠脉血流储备减低。基底段和中间段运动是减低的,前壁和侧壁基底段明显减低(蓝色部分)。
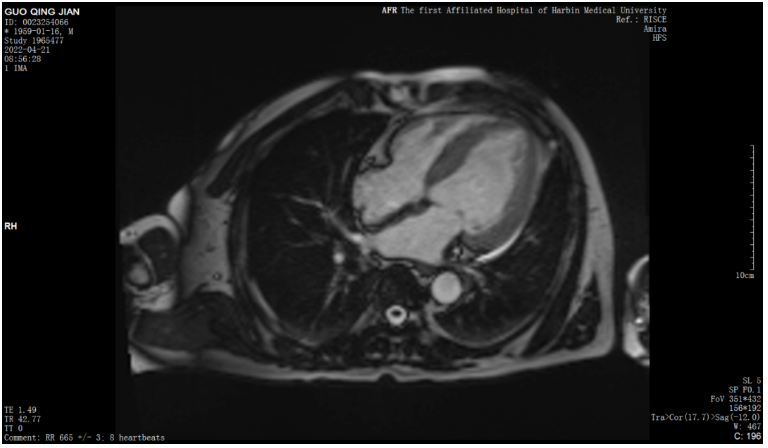
心脏磁共振



心肌淀粉样变化验检查
血游离轻链:游离K16.2 mg/L,游离ג345 mg/L,K/ג0.047
尿免疫电泳:出现游离λ轻链
血清免疫电泳:出现IgA λ型单克隆条带
免疫球蛋白轻链K1:结果正常,轻链K1 1.78 g/L、轻链ג 1.25 g/L
血清蛋白电泳分析:结果正常。
尿本周氏蛋白:轻链K 24.7mg/L(0~10)、轻链ג 68.60 mg/L(0-5),尿K/ג 0.36(0.75~4.5)X因子:116.2%(70~120)网织红细胞:1.03%(0.5~1.5)
骨髓检查是否有单克隆浆细胞/B细胞,并与多发性骨髓瘤所致淀粉样变鉴别

骨穿检验诊断:骨髓粒系比增高,红系比例偏低,浆细胞比增高占4%(请结合其它检查),本病例排除了多发性骨髓瘤导致的淀粉样变。


诊断淀粉样变的金标准是进行组织活检。
选择淀粉样变性可能累及(临床症状或者实验室检查证实)的器官或组织进行活检,并结合临床易操作性和安全性。可选取的活检部位包括肾脏、心脏、皮肤脂肪、舌、骨髓、胃肠道等。脂肪抽吸活检简单易行,但阴性结果并不能排除淀粉样变性。一般来说有症状的器官或组织活检阳性率>95%,皮下脂肪为75%~80%,而骨髓仅为50%~65%。联合皮下脂肪和骨髓活检可提高诊断阳性率。

核素闪烁扫描法(99mTc-PYP / 99mTc-DPD / 99mTc-HMDP)以排除转甲状腺素蛋白淀粉样变性心肌病(ATTR-CM),这是一种具有高灵敏度和特异性的无创性诊断。全身成像可同时评估多器官系统的受累情况。


确定诊断
系统性轻链型淀粉样变(中危组 梅奥2004分期 IIIa期)
心功能不全 心功能Ⅲ级
高血压病 3级 很高危组
房性期前收缩 房速 偶发室性早搏
2型糖尿病
治疗方案
治疗目标是通过清除产生异常轻链的浆细胞或B细胞克隆,降低体内单克隆免疫球蛋白轻链的水平, 阻止淀粉样蛋白在重要脏器的进一步沉积, 减轻或逆转淀粉样蛋白沉积导致的器官功能障碍。
外周血自体造血干细胞移植:适合25%的患者;年龄小于65岁,梅奥分期I期,NYHA分级I级,EF值大于50%,收缩压大于90mmHg,eGFR大于30ml/min,无大量胸腔积液。预处理方案采用大剂量美法仑为主。
化疗:75%~80%患者适合化疗;硼替佐米联合地塞米松、环磷酰胺;美法仑联合地塞米松适用于各期的原发性轻链型淀粉样变患者。
基于免疫调节剂的方案,沙利度胺或来那度胺联合地塞米松,或联合环磷酰胺, 注意严格抗凝,Ⅲ期应当避免使用沙利度胺。
新型治疗方法聚焦在移除已经沉积在组织器官的淀粉样纤维:多西环素降解心肌淀粉样变物质;抗CD38单抗、抗SAP单抗及针对淀粉样变纤维特殊结构表位的抗体。
诊治体会
1.对于左心室(LV)增厚与心电图QRS电压不一致时,应引起怀疑。

ECG 显示全程低电压, 前壁和下壁导联呈假性梗死模式, R波递增不良。
2.超声心动图是筛查/识别CA不可或缺的影像学方法,但无法确诊CM,尤其不能鉴别ATTR-CM和AL-CA
高度提示CA可能的超声影像学:双心房增大、心室壁增厚(左、右心室壁均可)而心室腔无扩大、心肌内颗粒样强回声、房室瓣增厚、房间隔增厚、少量心包积液以及限制性舒张功能异常等。左心室壁肥厚通常为对称性,LVEF基本正常或略有降低用LVEF评价CM患者心脏收缩功能敏感性较差,而应变显像(表现为纵向应变峰值绝对值降低)可以更早地发现收缩功能异常,尤其是出现特征性的“心尖保留”模式,即左心室基底和中段的纵向应变(longitudinal strain,LS)降低而心尖部正常,有助于区分CA与其他原因造成的左心室肥厚。
CA患者超声心动图特征 [1]

心肌应变的曲线图,LS-bas(黄色)代表左室基底段应变曲线,LS-mid(蓝色)代表左室中间段应变曲线,LS-api代表左室心尖段(绿色)应变曲线,负数越大代表运动越好。
3.CA的诊断的生物标记物
1)血、尿免疫固定电泳+血清游离轻链
对于AL-CA,血、尿免疫固定电泳和血清游离轻链测定有助于鉴定前体蛋白来源(单克隆免疫球蛋白)。但目前为止,临床尚无能够检测血中TTR单体的方法。
2). BNP/NT-proBNP、肌钙蛋白
B型利钠肽(BNP)、N末端利钠肽前体(NT-proBNP)和肌钙蛋白是评价CA严重程度的生物标记物,三者均与其预后相关 [1,2]。
在同等左室质量指数和肾功能情况下,相较于ATTR-CM,AL-CA有更高的利钠肽水平,因为游离轻链通过调节p38丝裂原活化蛋白激酶直接诱导BNP分泌 [3]。
利钠肽可以在ATTRm-CM出现心脏症状之前就升高,尤其是在无症状的TTR基因突变携带者或只有神经症状的ATTRm患者中。
细胞凋亡效应可导致CA患者肌钙蛋白升高,有时会造成CA被误诊为急性冠脉综合征。
虽然利钠肽、肌钙蛋白等生物标志物均不具有特异性,但其异常持续升高可为CA的诊断提供线索。
4.心脏磁共振 (CMR)在CA的诊断中的作用
CMR不仅可以评价心脏的结构和功能,还可以显示心肌的组织学特征,79%的ATTR患者存在非对称性室间隔肥厚,18%的患者为对称性LVH,还有3%的患者左心室几何结构正常 ,常合并右心室肥厚,心肌钆对比剂典型的“淀粉样LGE模式”是广泛的心内膜下LGE,不符合冠状动脉供血的区域分布。也可以表现为弥漫性透壁或心肌内片状LGE。心内膜下LGE常见于AL,透壁LGE常见于ATTRLGE比超声心动图和CMR功能评估特异度和敏感度更。但CMR不能准确区分AL和ATTR。
北京协和医院 田庄教授:
心脏淀粉样变,由蛋白错误折叠形成的不溶性淀粉样纤维聚集沉积在心肌间质所致。淀粉样纤维可造成心脏结构性损伤并损害其功能。临床可分为原发性和继发性。前者多与遗传有关系,后者多继发于一些疾病,如结核类、风湿性关节炎、多发性骨髓瘤、溃疡性结肠炎等。其中免疫球蛋白轻链型(AL)淀粉样变及转甲状腺素蛋白淀粉样变(ATTR)占所有心脏淀粉样变诊断的95%以上。剩余其他的前体蛋白发生的淀粉样变包括:血清淀粉样蛋白A,载脂蛋白A1(ApoA1)免疫球蛋白重链纤维蛋白原α链,凝溶胶蛋白等。
AL型淀粉样变性是系统性淀粉样变性最常见的类型,是由单克隆免疫球蛋白轻链错误折叠形成淀粉样蛋白,沉积于组织器官,造成组织结构破坏、器官功能障碍并进行性进展的疾病,主要与克隆性浆细胞异常增殖有关,少部分与淋巴细胞增殖性疾病有关。淀粉样蛋白具有如下特点:光镜下苏木精-伊红(HE)染色呈嗜伊红均质状,过碘酸-雪夫(PAS)染色呈弱阳性或阴性,Masson染色呈嗜亮绿;刚果红染色呈砖红色,偏振光显微镜下呈苹果绿色双折光;电镜下表现为直径8~14 nm、无分支、排列紊乱的纤维丝状结构;X线衍射显微镜下可见β片层结构。AL型淀粉样变性是一种浆细胞疾病,单克隆浆细胞过度产生免疫球蛋白轻链片段,而这些片段错误折叠形成淀粉样纤维;发生于年龄>50 岁的人群;累及多个器官,包括肾脏、心脏、肝脏、自主或外周神经、消化道、皮肤、软组织等。药物的治疗的目的是清除血液中淀粉样蛋白,防止再沉积;而对于已经沉积于所累组织的淀粉样蛋白清除药物主要是新型治疗方法,目的在移除已经沉积在组织器官的淀粉样纤维:如多西环素降解心肌淀粉样变物质;抗CD38单抗、抗SAP单抗及针对淀粉样变纤维特殊结构表位的抗体。
首都医科大学附属北京安贞医院 马长生教授:
第一,AL型淀粉样变性是一种罕见病,欧美国家报道的发病率为8~10例/百万人年,我国尚无确切的发病率数据,从肾活检资料看,约占继发性肾脏病患者的4%。AL型淀粉样变性多见于老年人,诊断中位年龄60岁左右,男性患者比例略高于女性。AL型淀粉样变性预后具有较大的异质性,严重心脏受累的患者中位生存期不足1年。
第二点,当心电图与心脏彩超不匹配:如心电图提示的心肌坏死,但心脏彩超没有相应的节段性运动障碍;当短时间内出现心肌、瓣膜进行性增厚时,心电图却没有出现匹配的左室高电压,而是低电压或正常电压时要想到这个病。
哈尔滨医科大学附属第一医院 李悦教授:
早在1850年,Virchow发现人体组织细胞间有一种沉积物,与碘接触后呈现类似淀粉的颜色反应。Virchow称其为淀粉样物质(amyloid),并将沉积该物质的组织称为淀粉样变性(amyloid degeneration)。现已证明,所谓淀粉样物质,实为由不同成分组成的蛋白质,故称其为淀粉样蛋白更为合适。作为一种累及多个器官,包括肾脏、心脏、肝脏、自主或外周神经、消化道、 皮肤、软组织等的罕见病,如果不进行治疗,AL型淀粉样变性患者的中位生存期为心力衰竭发作后6个月,因此快速开始治疗对于能够达到最优获益至关重要;预后与诊断和治疗时间以及器官受累程度有关,诊断时间通常超过12个月,而过长的诊断时间是导致治疗效果差的常见原因;尽管AL型淀粉样变性治疗取得了重大进展,但确诊为疾病晚期的患者的治疗选择非常有限;遵循能够进行正确淀粉样蛋白分型的诊断流程,将有助于防止误诊和随后的不当治疗。(详见下图)

来源:CDQI
《心电图住院医师应知应会100例》荐读:例3急性下壁心肌梗死
《心电图住院医师应知应会100例》荐读:例4急性广泛前壁心肌梗死
《心电图住院医师应知应会100例》荐读:例10慢性肺源性心脏病
与2016版指南相比,在血脂异常指标方面,2023版指南有什么亮点内容值得特别关注?
查看更多