查看更多
密码过期或已经不安全,请修改密码
修改密码
壹生身份认证协议书
同意
拒绝
同意
拒绝
同意
不同意并跳过

前言
小脑梗死约占所有卒中的2%~3%。在美国,每年大约发生2万例新发小脑梗死。年轻且既往健康的患者经常发生误诊。在一项研究中,仅 3% 因头晕、眩晕和失衡而到急诊室就诊的患者的最终诊断卒中/短暂性脑缺血发作 (TIA) 。此外,CT扫描在初始阶段可能是正常的,使的诊断复杂化。因此,对于出现急性头痛、眩晕、恶心或呕吐以及共济失调的患者,即使头部 CT 扫描无异常,也要警惕发生小脑卒中的可能性。
小脑卒中的梗死位置会导致严重的并发症。后颅窝是一个很小的空间,几乎没有额外的扩张空间。因此,小脑任何占位性病变都有压迫第四脑室和脑干的危险。根据一些研究,大约20%的小脑卒中患者由于占位效应出现临床和影像学恶化的迹象。
与前循环一样,小脑缺血通常是由于栓塞或大血管粥样硬化所致。椎基底动脉夹层是小脑梗死的另一个重要原因。小脑供血主要有3条血管:小脑后下动脉(PICA)、小脑前下动脉(AICA)和小脑上动脉(SCA)。卒中可发生在这些血管的任何一个部位。有时涉及不止一个血管区域。
临床特征
病史
如前所述,小脑梗死患者通常表现为非特异性症状,如头晕、恶心、呕吐和头痛。表1进行了总结。许多这些症状可以在良性非神经系统疾病中看到,如胃炎或病毒性肠炎,这在急诊科患者中更为常见。仔细观察病史中的某些细节,可能会发现病因是小脑卒中。患者病史中的这些细节包括以下内容:
突然发作;与头部或颈部创伤有时间相关性;伴有急性发作颈部疼痛(椎动脉夹层所致);存在卒中危险因素(糖尿病、高血压、高胆固醇血症、吸烟、高龄、心房颤动);TIA 或卒中病史;与恶心和呕吐不成比例的步态或四肢不协调。
表1 小脑梗死的体征和症状

a 方向改变或垂直,不受视觉固定的抑制,没有任何相关的耳鸣提示中枢而不是周围的原因。
b 当肌肉因阻力而收缩,然后阻力突然消失,拮抗物无法阻止运动,肢体继续朝着肌肉收缩的方向运动。
c AICA区梗死可能发生。
d PICA 区梗死,同时伴有髓质受累可能发生。
e 引起反射后肢体的摆动运动。
查体
应进行详细的神经系统检查,并特别注意意识水平、凝视和眼球运动、颅神经功能缺损、言语、长束损害表现(单侧运动或感觉障碍)、自主神经变化(心率、血压、霍纳综合征)、协调性,以及最重要的步态检查。躯干性共济失调可能是影响小脑蚓部的卒中的唯一表现,如果不评估步态,很容易误诊。表 1 总结了小脑梗死常见的体征。
由于椎基底动脉血管通路异常,小脑缺血可能与脑干缺血同时存在。在这种情况下,由于脑干功能障碍引起的其他症状和体征可以帮助临床医生定位和诊断病变:
复视或反向偏斜;颅神经功能缺损;霍纳综合征;长束损害表现(单侧运动或感觉障碍);瞳孔反应异常;意识水平降低。
另外,这些临床特征也可能是由于占位效应引起的梗阻性脑积水或脑干移位引起的。由组织肿胀引起的恶化通常表现为意识水平的降低,这更多地取决于所涉及的梗死体积,而不是血管区域。然而,大多数需要手术减压的梗死灶涉及PICA区,很少涉及SCA区。孤立的、单侧的AICA区梗死和局限于外侧小脑的梗死不需要手术治疗。
诊断
非对比头部CT扫描(NCCT)通常是一线成像方式。由于多达25%的患者的NCCT可能是正常的,有时需要磁共振成像,特别是在症状出现后不久进行的NCCT。表2列出了不同成像技术的优点和缺点。偶尔,NCCT可显示基底动脉高密度,这可能表明有闭塞性血栓。
表 2 小脑卒中患者的影像诊断方式

a 如因组织肿胀和阻塞性脑积水引起的脑干移位。
病因病机
小脑卒中的常见原因总结如下:

卒中的发病机制因患者年龄而异。动脉粥样硬化多见于中老年人群(男性>45 岁,女性>55 岁),并伴有高血压、糖尿病、高脂血症、肥胖和吸烟等高危因素。年轻患者卒中的常见原因包括药物滥用、血管夹层、感染和高凝状态。确定正确的病因对于二级卒中预防很重要。然而,在某些情况下,即使经过详尽的搜索,卒中原因仍然是未知的。
鉴别诊断
临床医生的第一步是确定出现的症状是否由神经系统疾病引起。一旦怀疑神经源性,应考虑以下鉴别诊断:
中枢性 | 小脑梗死;小脑出血;脱髓鞘疾病,如多发性硬化症或急性播散性脑脊髓炎;小脑炎(感染性或非感染性); 药物毒性(如苯妥英或卡马西平等抗癫痫药)非法药物和酒精;小脑肿瘤(很少引起急性症状) |
外周性 | 前庭神经元炎;迷路炎;良性阵发性位置性眩晕;梅尼埃病 |
治疗
患者评估
患者评估概述如图 1 所示。

气道管理和机械通气管理
由于以下原因,可能需要气管插管:意识水平低下导致无法保护呼吸道和清除分泌物(通常用格拉斯哥昏迷量表评分);低氧血症或高碳酸血症呼吸衰竭;需要后颅窝减压;窒息。 |
应当维持内环境稳定(酸碱平衡)。 |
在即将发生或进展性脑疝的病例中使用过度通气(仅在短时间内)可以降低颅内压,但预防性过度通气没有作用。 |
如果怀疑有误吸,可能需要进行支气管镜检查以清除任何异物。 |
血压管理
急性高血压常发生在缺血性卒中后,小脑卒中也不例外。 |
允许高血压优化半暗带灌注;然而,准确的血压参数是未知的。 |
极度高血压(例如,收缩压 >220 mmHg 或舒张压 >105 mmHg)会增加出血性转化的风险。 |
需要根据基线血压为个体化定制血压目标。慢性高血压患者的自动调节曲线可能向右移动,容易出现脑灌注不足而血压降低,因此抗高血压治疗应更加谨慎。 |
除非必要(由于主动脉夹层或心肌梗死等原因),通常的做法是当收缩压低于 180 mmHg 或平均动脉压低于 120 mmHg 时不治疗。 |
体温管理
发烧对损伤的大脑有害,已经证明会使缺血性卒中后的结果恶化。 |
如果单独使用药物治疗(对乙酰氨基酚)无效,则保持正常体温(核心温度≤ 37.5 C)并使用冷却装置(冰毯、冰袋、冰垫等) |
目前没有足够的证据推荐常规低温治疗缺血性卒中。 |
发烧通常不是由小脑梗死引起,而是可能是全身感染/炎症(例如吸入性肺炎或肺炎)的表现。 |
血糖管理
高血糖与缺血性中风患者的预后较差有关 |
最佳血糖目标尚未阐明,但作者建议使用胰岛素将血清葡萄糖水平维持在 100 至 180 mg/dl之间,胰岛素可以连续输注或“按比例给药”。 |
因为有增加低血糖发生的风险,严格的糖控制和强化胰岛素治疗不适用。在一项试验中,该策略与前24小时内更大的梗死面积发生有关。 |
应避免低血糖发生。 |
液体和电解质管理
避免使用低渗液体或含有葡萄糖的液体。 |
如果存在脱水,使用等渗盐水保持血容量正常。 |
应始终纠正低钠血症。 |
对于正常血钠较低的患者,可考虑使用轻度高渗溶液(如1.5%生理盐水)作为维持液。 |
优化血清钾 (≥4.0 mmol/L) 和镁 (≥2.0 mg/dl)。可能会发生心律失常(如果卒中除了小脑外还累及脑干),低钾和低镁血症可能会加重这种情况。 |
抗凝和抗血小板治疗
可以使用抗血小板单药治疗(阿司匹林 81 mg/天或 325 mg/天),但在出血性转化患者中需要谨慎,在急性期最好避免使用。 |
由于出血性转化的风险,双抗血小板治疗在梗死面积较大小脑卒中没有作用。 |
对于可能需要手术减压手术或脑室穿刺的梗死面积较大的患者,最好避免使用氯吡格雷。 |
应采用皮下注射肝素预防深静脉血栓形成。 |
对于梗死面积较大的患者,在仔细权衡不使用抗凝剂的风险后,由于出血性转化的风险,可能需要在急性期逆转全剂量抗凝(用于正在使用华法林或其他抗凝药物的患者)。 |
可改变危险因素的治疗
治疗高血压、糖尿病、高脂血症(理想低密度脂蛋白 目标<70 mg/dl)和肥胖等危险因素对于卒中二级预防很重要。生活方式的改变(增加体力活动和戒烟)至关重要。治疗目标与前循环卒中没有区别。二级卒中预防的详细概述超出了本文的范围。
并发症及其管理
大面积梗死可能会出现以下并发症:占位效应导致脑干受压;第四脑室受压导致梗阻性脑积水;缺血性梗死的出血转化。高渗药物和减压手术适用于有占位效应症状的患者。
高渗疗法
病情恶化的患者可以使用甘露醇或高渗盐水进行渗滤压治疗,以减少肿胀的梗死组织的占位效应。这些溶液增加血清渗透压,促进水渗透运动进入血管,从而诱导反应性血管收缩。净效应是ICP降低和组织收缩。但因为健康组织中保存的血脑屏障,这些影响在健康脑组织中比梗死组织更突出。
甘露醇
常用甘露醇(20% 浓度)首剂剂量范围为 1 至 2 g/kg。 |
监测血清渗透压的同时,可以每 4 至 6 小时给予额外剂量 0.5 g/kg。 |
由于甘露醇诱导利尿,因此必须通过优选用等渗盐水替换丢失的液体来维持血容量正常。 |
因为甘露醇可能导致容量过负荷,肾衰竭时使用甘露醇会出现问题,这可能需要在输注后15至30分钟使用透析去除给定容量的三倍。 |
高渗盐水
常用浓度为 3%(250 ml 弹丸)、10%(75~150 ml 弹丸)和 23.4%(30 mL 弹丸)。与甘露醇一样,高渗盐水推注可每 4 至 6 小时重复一次,同时监测血清钠。 |
高渗盐水的潜在(但罕见)并发症包括短暂性低血压、肺水肿和心力衰竭、低钾血症、高氯酸血症、凝血病、血管内溶血、髓鞘溶解症(仅对先前存在的低钠血症进行快速过度矫正)和脑病。如果使用外周静脉通路给药,可能会发生静脉炎,但这种并发症在连续输注 3% 浓度时非常罕见。 |
通常认为,如果血清钠水平大于 160 mmol/L,则不应使用高渗盐水。在一项对神经重症监护病房 600 名患者的研究中,血清钠大于 160 mmol/L 的患者死亡率独立增加。在同一项研究中,这种程度的高钠血症患者肾功能衰竭的发生率也很高。 |
选择甘露醇还是高渗盐水取决于临床情况。没有研究证明在大面积缺血性卒中患者中那种药物更佳。
手术治疗
当由于组织肿胀或出血性转化引起的占位效应导致临床恶化时,应考虑手术选择。 |
恶化的迹象包括意识水平下降、共轭凝视(日落眼)向下移位、凝视麻痹、颅神经缺损和长束体征。 |
标准去大骨瓣减压术(SDC)伴硬膜扩大成形是手术的选择。因为肿胀的小脑后侧扩张创造了空间,而不是压迫第四脑室和脑干。 |
SDC可以或不可以与切除坏死组织相结合。如果可能,考虑可能切除可恢复的脑组织,最好避免切除梗死。 |
SDC是一个相对安全的手术。然而,它应该保留给那些医疗治疗失败和病情迅速恶化的患者。 |
梗阻性脑积水可以单独进行侧脑室穿刺,也可以与 SDC 联合进行。单侧脑室穿刺的幕上小脑疝形成的风险是真实的,但仅在少数病例报告中有记录。尽管如此,对于由肿胀的小脑梗死引起的梗阻性脑积水的患者,除侧脑室穿刺,最好进行SDC。 |
结果评估和长期建议
如果管理得当并且没有额外的脑干梗死,临床结局可能会很好。老龄患者预后更差。因此,在选择手术干预患者时,年龄和既往的共病是重要的考虑因素
病例学习
一名59岁右利手女性因急性发作的头晕,顽固性恶心和步态共济失调就诊急诊。既往高血压病史。NCCT扫描显示左侧PICA的细微变化与早期小脑梗死的分布一致。头颈部 CT 血管造影显示椎基底动脉血管系统通畅,没有狭窄或夹层的证据。由于梗死面积较大,收入重症监护室密切监护。
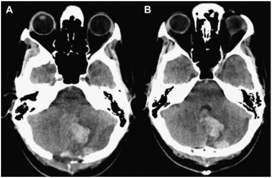
两天后,患者临床状况恶化,嗜睡、上视麻痹和双侧第六神经麻痹。NCCT 复查(图 2)显示后颅窝有脑积水和占位效应,并有脑干移位的证据。甘露醇的给药没有任何显著变化。紧急行 SDC 手术。术后(图 3),患者临床检查有所改善。减压后大约 2 天,临床症状仅表现为轻度的辨距障碍和步态。

图 2 左侧 PICA 梗死。(A)组织肿胀和占位效应导致后颅窝消失第四脑室受压。(B)梗阻性脑积水伴颞角扩张、脑沟消失和脑干前移。

图 3 左侧 PICA 梗死。(A, B) 枕下去骨瓣减压术 (SDC) 和 C1 后弓切除术的术后变化
卒中原因的调查包括经食道超声心动图显示卵圆孔未闭。下肢深静脉检查显示深静脉血栓形成。由于其余的卒中检查结果为阴性,认为极有可能是反常栓塞。由于存在出血性转化的风险,患者最初并未开始抗凝治疗;相反,在下腔静脉中放置了一个过滤器。住院约 10 天后,她发生了缺血性卒中的出血性转化(图 4)。出血时她正在服用阿司匹林 81mg/天。

图 4 左侧 PICA 梗死。(A, B) 去骨瓣减压 (SDC) 术后变化与梗死的出血性转化
出血性转化没有占位效应选择保守治疗,恢复得非常好。广泛检查是否有潜在的高凝状态为阴性。由于认为反常栓塞是最可能的卒中机制,患者在卒中发作约2个月后开始使用华法林抗凝。在此期间,她一直服用阿司匹林。
患者目前在家接受物理治疗以改善步态和平衡。
总结
小脑梗死相对不常见,但临床医生在有恶心、呕吐、头晕、头痛等常见症状的患者时需要注意这一诊断。必须对这些患者进行仔细的神经系统检查,寻找小脑功能障碍的迹象。
占位效应导致脑干移位和梗阻性脑积水是危及生命的并发症,必须及时治疗。梗死面积较大的患者发生这些并发症的风险很高,应在重症监护病房密切监测。如果得到最佳的治疗,包括对大梗死灶产生症状性占位效应的患者进行减压手术,小脑梗死的临床结局都会很好。
来源:神经内科及重症医学文献学习(李瑞杰)
查看更多