查看更多
密码过期或已经不安全,请修改密码
修改密码
壹生身份认证协议书
同意
拒绝
同意
拒绝
同意
不同意并跳过
基本资料
性别:男
年龄:78岁
身高:170cm
体重:75Kg
主诉:便中带血10天
现病史:患者因“便中带血1周”至本院门诊
查CEA:390.8ng/mL,Ca199 474.4u/ml。
ECOG评分0分。
既往史/家族史:家族中肿瘤病史。
辅助检查
体格检查:非本科门诊就诊,当时体检资料缺
实验室检查:
2017-06-18门诊CEA 390.8ng/mL,Ca199 474.4u/ml
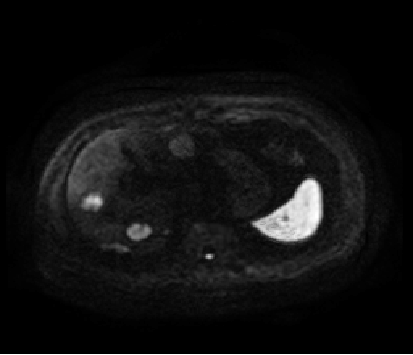
2017-06-20肝脏MRI增强:肝内多发占位,考虑MT。
2017-06-26肠镜:(乙状结肠距肛25cm处见一溃疡癌灶),乙状结肠癌。
病理:“乙状结肠”腺癌。
影像学检查:
2017-6-20肝脏MRI增强



肠镜:(乙状结肠距肛25cm处见一溃疡癌灶),乙状结肠癌。
病理:“乙状结肠”腺癌。
治疗过程:
省肿瘤医院住院拟进一步治疗,但住院第6天出现了肠梗阻。
排除禁忌后在全麻下行腹腔镜下直肠癌根治术
术后病理:(直)肠溃疡型(瘤体4.7*4*2cm)中分化腺癌,浸润至外膜外纤维、脂肪组织,转移或浸润至(肠系膜根部)0/7只、(肠系膜)0/4只、(肠周上组)0/5只、(肠周中组)1/7只淋巴结伴(肠周上组、中组)各一枚癌结节形成。免疫组化:hMLH1(+)、PMS2(+),hMSH6(+),hMSH2(+)。分子检测:K-RAS、NRAS、BRAF、PIK3CA基因野生型。
分期:pT4aN1cM1 Ⅳ期。
治疗方案:
一线治疗:
2017.08.18省肿瘤医院第一周期化疗:伊立替康针280mg d1+西妥昔单抗针800mg d1。
2017.08.21出现腹泻伴发热,黄色水样,最多日解15次,体温最高39.2℃。
入住本科查血培养:革兰氏阴性杆菌检出。BCA:白细胞0.2*10^9/L,中性粒细胞无法检出,血红蛋白90g/L,血小板12*10^9/L。
化疗副反应:化疗后骨髓抑制Ⅳ°;粒细胞缺乏性发热;腹泻3级。予对症治疗后好转。
2017.08.24查CEA:208.3ng/mL,Ca199 159.4u/ml。
治疗一次,肿瘤指标下降明显,但患者不能耐受化疗,家中休养。
ECOG评分1分
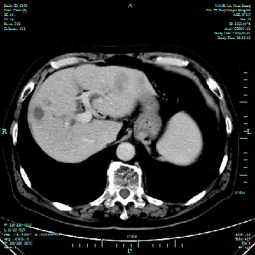
2017.10.17复查肝脏MRI增强:肝脏多发转移瘤,较2017-06-20进展。
间隔4月MRI比较:
2017.06.20MRI

2017.10.17MRI
PD


二线治疗方案(本科):
2017.10.23---2018.07.07西妥昔单抗针900mg d1/q2w
2017.10.24---2018.06.30卡培他滨片 早1.5g 晚2.0g d1-14/q3w
副反应:皮肤毒性反应2级;手足综合征1级。
治疗期间定期复查CT评估病情(如下)
治疗2月后影像学比较:
2017.10.17MRI


2017.12.26CT
PR


之后2018.02.04、2018.04.24、2018.06.08定期复查上腹部CT增强,肝脏病灶对比(2017.12.26病灶相仿)。
同步胸部CT平扫、盆腔CT增强未见复发转移。
根据病情结合影像学,拟行B超引导下肝脏转移病灶射频消融术
但2018.06.28肝胆B超提示:肝内多发结节(右肝2.6*2.1cm, 1.4*1.1cm , 1.5*1.2cm,
2.3*2.3cm, 1.3*1.1cm, 1.4*1.1cm;左肝1.8*1.8cm)。
2018.06.23CEA:15.2ng/mL
2018.07.07CEA :23.2ug/L,Ca199正常。
B超示肝脏病灶增多;CEA上升。但患者不愿放弃爱必妥赠药,不能耐受伊立替康针静脉化疗。
于2018.07.23---2018.11.21继续“西妥昔单抗针900mg d1”联合“奥沙利铂针160mg
d2/q2w”靶向联合化疗治疗。
期间2018.10.09复查上腹部CT增强,2018.06.08片基本相仿。
胸部CT、盆腔CT增强未见复发及转移。
2018.12.06上腹CT增强:肝内转移灶2018.10.09进展
2018.10.09CT


2018.12.06CT
PD


2018.12.06---2019.03.08”西妥昔单抗针900mg d1/q2w+卡培他滨片 早1.5g 晚2.0g d1-14/q3w”。
期间2019.01.31复查上腹部CT增强肝脏转移病灶对比2018.12.06略增大。
胸部CT平扫,盆腔CT增强未见复发及转移。
2019.02.19CEA 627.1ng/mL,Ca199 723.4u/ml。
2019.03.22CEA 757.8ng/mL,Ca199 592u/ml。
2019.04.02CEA 892.9ng/mL,Ca199 370.6u/ml。
CEA持续上升,病灶缓慢进展,当时ECOG评分1分。
三线治疗方案:
2019.04.10第一周期瑞戈非尼片:80mg qd d1-7,120mg qd d8-14,160mg qd d15,120mg d16-21/q4w
2019.05.08、2019.06.06第二、三周期瑞戈菲尼片120mg qd d1-21/q4w
2019.06.06上腹部CT:肝脏病灶较前片相仿,疗效评价SD。胸部CT、盆腔CT未见异常。
治疗期间副反应:手足综合征3级。
2019.07.14---2019.09.09第四、五、六周期瑞戈菲尼片80mg qd d1-21/q4w
2019.10.11复查上腹CT增强:肝内转移灶较2019.06.06进展。胸部CT、盆腔CT未见异常。
2019.10.11上腹CT增强
2019.06.06CT


2019.10.11CT
PD


2019.10.14行外周血ctDNA检测:KRAS/NRAS/BRAF未见突变。
2019.10.21 CEA 436.7ng/mL,Ca199 >1200u/ml
患者坚持使用爱必妥针,故继续使用4周期爱必妥针。
2019.12.04CEA 666.8ng/mL,Ca199 >1200u/ml
CEA上升明显(拒绝复查CT)
于2019.12.05---2020.02.13予”安维汀针400mg d1+伊立替康针160mg d2/q2w”靶向+CPT11减量50%静脉化疗。
病例总结:

思考
1、该患者初诊时已为晚期直肠癌,一线以“CPT-11 280mg +西妥昔单抗针800mg ”治疗之后出现腹泻3级;骨髓抑制Ⅳ°;粒缺性发热。患者78岁老年男性,伊立替康是否应足量使用需考虑?
2、一线治疗PD,二线以“西妥昔单抗针联合卡培他滨”治疗再次PD后,因不愿放弃爱必妥赠药而继续使用,此时若更换为贝伐,PFS是否会有更好的延长?
意义
晚期结直肠癌领域的靶向药EGFR单抗和VEGF单抗为患者带来了生存获益,成为晚期结直肠癌标准用药,而瑞戈菲尼等多靶点抗血管药物则终结了既往三线治疗一药难求的时代,给患者带来了机会和新的希望。
查看更多