查看更多
密码过期或已经不安全,请修改密码
修改密码
壹生身份认证协议书
同意
拒绝
同意
拒绝
同意
不同意并跳过

颞叶在外侧沟(也叫外侧裂,Sylvian裂)下方,以外侧沟与额、顶叶分界,后面以顶枕裂与枕前切迹连线与枕叶分界。颞叶外侧面有与外侧沟平行的颞上沟和颞下沟,两沟界定了颞上回、颞中回和颞下回。颞上回的一部分掩入外侧沟中,为颞横回。颞叶主要负责听觉、语言理解、嗅觉、记忆、联想等高级神经活动,与情绪和内脏功能等有关。

一、大脑中动脉分段(Fischer分类法)

大脑中动脉上下干类型

大脑中动脉供血区

大脑后动脉供血区

欲认颞叶,先找外侧沟。
颞叶就在外侧沟的外面(轴位),下外侧(冠状位)。这是基础中的基础,几乎不需要什么技巧。下面这个大黄箭头指向的就是外侧沟,大家稍微看过就能娴熟地在这个层面上找外侧沟了吧。

下面一口气来四个,可以看出来,冠状位上外侧沟更醒目,与别的脑叶泾渭分明,想认错地方都很难。

虽然外侧沟在轴位和冠状位上都很好辨认,但值得注意的是,由于岛叶是藏在外侧沟后面,盖在岛盖下面。盖着岛叶的都有谁呢?额盖、顶盖和颞盖。所以额叶也有一点点在外侧沟的外面,在轴位,额、颞叶相邻的地方,有时不易分辨额叶和颞叶。
此时,亮出冠状位,就秒杀这个问题了,额盖和颞盖之间的界限清晰可辨。
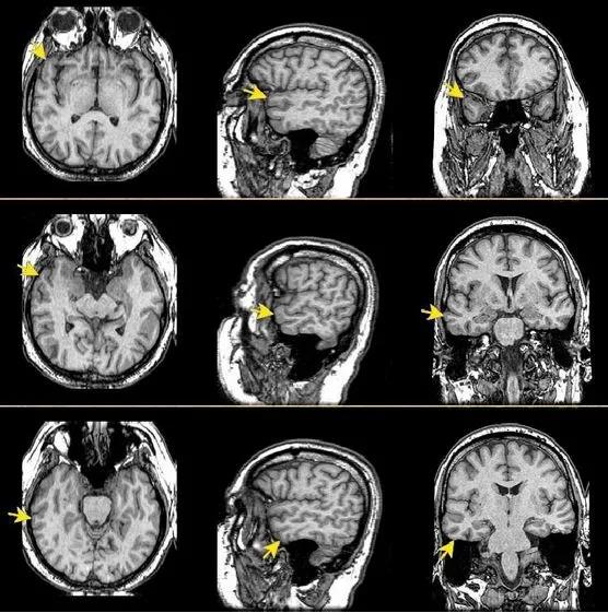
比如下面这个病例,病灶主要在颞叶,额叶只带了一点。但在下面右侧的图,箭头附近额叶和颞叶挤在一起,似乎不是很好区分。

但是在冠状位上,病灶累及额叶和颞叶的范围就明晰多了。虽然病侧颞叶有肿瘤,把外侧沟挤得几乎都没了,但是仔细辨认+结合冠状位其他序列+和对侧对比还是能凑合认认的,特别是健侧特别清楚!

颞叶内侧和上方的界限如此的分明,前面也没啥好说的,一直到颞极都是它。后面似乎有些模糊,和顶叶、枕叶缺乏十分明确的界限。那个顶枕沟和枕前切迹的连线也就是在解剖标本上连起来划个界还能用,在CT、MRI上完全不实用啊。
外侧裂T1W1:

外侧裂T2W1:

颞上回:

颞上回T1W1:

颞上回T2W1:

颞中回:

颞中回T1W1:

颞中回T2W1:

颞下回:

颞下回T1W1:

颞下回T2W1:

颞叶MRI:

来源:神经内科前沿(乔兴茂整理)
查看更多