查看更多
密码过期或已经不安全,请修改密码
修改密码
壹生身份认证协议书
同意
拒绝
同意
拒绝
同意
不同意并跳过
脑梗死是由于脑供血障碍所致缺血性脑坏死。常见于高血压和脑动脉粥样硬化等原因所引起的血栓形成。
少见原因有颅内感染、糖尿病、胶原病、血液病和过敏性疾病等。
缺血性脑梗死:脑内大或中等管径动脉狭窄、闭塞,致病变血管供应区脑组织坏死。
出血性脑梗死:梗死后缺血区血管再通、灌注,血液外溢,造成梗死区出血。常见于大面积脑梗死。
腔隙性脑梗死:脑深穿支动脉闭塞所致的较小面积的缺血坏死,多见于基底节区、丘脑区,其次为脑干、小脑。
超急性期:6h之内
急 性 期:6~72h
亚急性期:3~10d
慢性早期:11d~1m
慢性晚期:1m以上
CT表现
(1)发病24小时内CT扫描可阴性,以后出现边缘模糊稍低密度区,与闭塞的血管供血区相一致(楔形或扇形);
(2)一周内密度更低,占位明显;
(3)两、三周中心坏死,血管增生,占位减轻;模糊效应,增强扫描见脑回状强化。
(4)数周、数月囊性软化灶伴有脑萎缩。
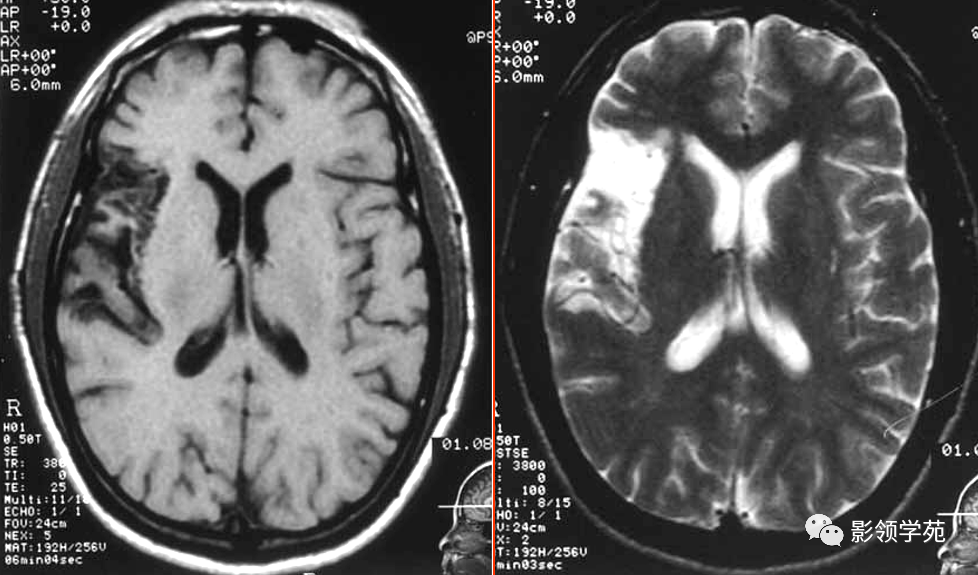
MRI表现
超急性期(0~6 h) 发病2 h,T2WI可呈高信号,部分病例30 min便可显示。
急性期(6~72 h) 梗死区水肿发展,T1,T2值进一步延长。
亚急性期(3~10 d) 3 d后水肿最重,占位明显,梗死范围仍增大,脑回状强化明显。以上三期DWI均为高信号
慢性早期(11~30 d) 坏死组织被清除,水肿渐消退,梗死区周围出现新生血管。仍呈脑回状强化,可出现坏死囊变,易出现梗死后出血。
慢性晚期(>30 d)梗死范围小、治疗及时,仅有局部脑萎缩。梗死区明显的胶质增生,引起脑萎缩、囊性脑软化灶。



脑回样强化









来源:神经病学医学网
转载已获授权,其他账号转载请联系原账号
查看更多