查看更多
密码过期或已经不安全,请修改密码
修改密码
壹生身份认证协议书
同意
拒绝
同意
拒绝
同意
不同意并跳过
动脉自旋标记(ASL)和3D TOF-MRA技术均能显示颅底(caudocranial)流入头部的血液,正常情况下仅显示动脉结构内的血流。在这些序列中,硬脑膜静脉窦中的高信号通常是由于硬脑膜动静脉瘘这样的分流病变,但是静脉返流也表现为高信号。
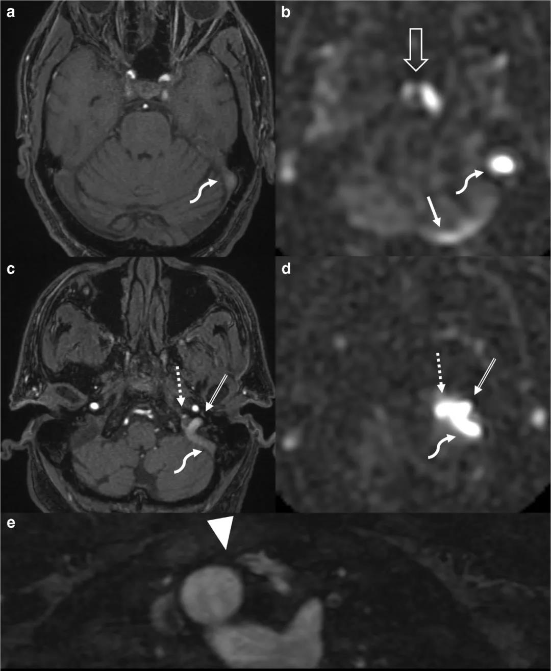
69岁,男性,因头晕被送到急诊室。MRI/MRA排除了血管病因(图1)。颈静脉球、乙状窦和岩下窦 TOF MRA和ASL上可见高信号(图1a-d)。横窦、海绵窦和海绵间窦ASL也显示高信号,在MRA上没有明显的异常信号。颈部增强MRA显示右侧主动脉弓和左侧迷走锁骨下动脉,在胸骨处可见主动脉压迫了左头臂静脉(图1e)。

图1 MRI。在1.5T MRI,平扫3D TOF MRA(a,c) 和3D伪连续ASL(b,d)均显示左乙状窦(曲箭头)、岩下窦(虚线箭头)和颈静脉球(双线箭头)高信号。ASL(b)在左侧横窦(直实心箭头)和双侧海绵窦及海绵间窦(开放箭头)也显示高信号。增强MRA(e)显示右侧主动脉弓,左锁骨下动脉异常,左头臂静脉(箭头)在主动脉和胸骨之间通过时闭塞
随后进行了进一步的评估(图2)。头部CTA未见静脉分流的表现,比如颈外动脉分支不对称增粗、静脉结构充血或造影剂静脉早显(图2a-d)。相反,在静脉期,左乙状窦和颈静脉球显影延迟,轻度强化,无静脉血栓形成的征象。随后,进行了双侧椎动脉和右侧颈动脉DSA;由于右主动脉弓在技术上具有挑战性,因此没有选择左颈总动脉。未见硬脑膜动静脉瘘,但在静脉期左乙状窦可见造影剂滞留和返流(图2e)。
图2 CT和DSA。头部CTA(a,c)未见静脉早期强化或异常血管,包括海绵窦(开放箭头)和左乙状窦(曲箭头)。在骨减影后处理的静脉期(b,d),左侧乙状窦(曲箭头)和颈静脉球显示轻度造影剂强化,比对侧细。椎动脉注射后静脉期DSA(e)显示左乙状窦内血流相对静止和往复血流(箭头)。
讨论:
各种纵隔和主动脉病变都可压迫头臂静脉引起颈静脉返流和血流淤滞(hemostasis),最常见的是主动脉及其近端分支的动脉粥样硬化。因为主动脉弓和胸骨之间的静脉很长,所以总是左侧被压。该病例证实了这一生理学,据我们所知,这是首次报道的右侧主动脉弓变异。
当患者仰卧位进行影像学检查时,由于血流缺少了重力的作用,颈静脉返流可延伸至颅内静脉结构。此外,由于颅内静脉缺乏瓣膜,逆行血流很容易返流到相邻的硬脑膜静脉窦。在MRI/MRA上,最常见的途径是乙状窦和横窦,因为它们口径大以及为从属的窦。本病例显示,静脉回流也可以通过更小和非从属的颅内通路,包括岩下窦、海绵窦和海绵窦间窦。
如果血流缓慢或在成像平面上,TOF-MRA上可能看不到血流相关信号。然而,在ASL上,向海绵窦逆行的血流可能呈现高信号,类似于硬脑膜动静脉瘘。因此,在海绵窦高ASL信号的鉴别诊断时,应考虑中心静脉狭窄伴返流。
来源:脑血管病及重症文献导读(杨中华)
转载已获授权,其他账号转载请联系原账号
查看更多