壹生大学

壹生身份认证协议书

本项目是由壹生提供的专业性学术分享,仅面向医疗卫生专业人士。我们将收集您是否是医疗卫生专业人士的信息,仅用于资格认证,不会用于其他用途。壹生作为平台及平台数据的运营者和负责方,负责平台和本专区及用户相关信息搜集和使用的合规和保护。
本协议书仅为了向您说明个人相关信息处理目的,向您单独征求的同意,您已签署的壹生平台《壹生用户服务协议》和《壹生隐私政策》,详见链接:
壹生用户服务协议:
https://apps.medtrib.cn/html/serviceAgreement.html
壹生隐私政策:
https://apps.medtrib.cn/html/p.html
如果您是医疗卫生专业人士,且点击了“同意”,表明您作为壹生的注册用户已授权壹生平台收集您是否是医疗卫生专业人士的信息,可以使用本项服务。
如果您不是医疗卫生专业人士或不同意本说明,请勿点击“同意”,因为本项服务仅面向医疗卫生人士,以及专业性、合规性要求等因素,您将无法使用本项服务。

同意

拒绝

同意

拒绝

知情同意书

同意

不同意并跳过

工作人员正在审核中,
请您耐心等待
审核未通过
重新提交
完善信息
{{ item.question }}
确定
收集问题
{{ item.question }}
确定
您已通过HCP身份认证和信息审核
(
5
s)

纵隔疾病之胸腺增生|影像病例

2025-02-13作者:论坛报小璐资讯
非原创

病例1

    • 性别:男 年龄:20岁

    • 主诉:眼肌无力5月  

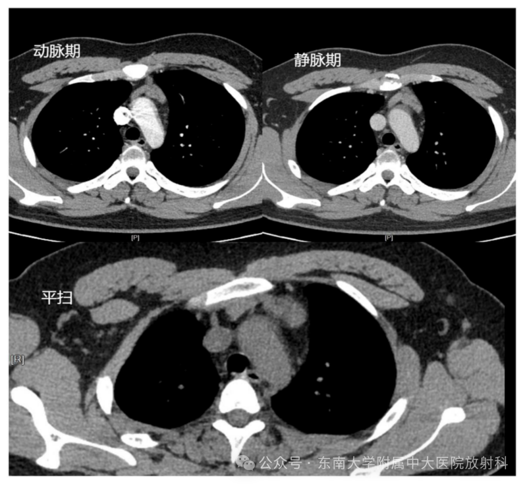
    • 现病史:患者5月余前无明显诱因出现双侧眼睑下垂,伴视物重影,晨轻暮重,疲劳时加重,休息可缓解。于2023-01-18至当地医院就诊,查胸部 CT 提示前上纵隔占位,于当地神经内科就诊后考虑重症肌无力,予口服溴比斯的明保守治疗。经药物治疗患者现眼肌无力症状较前改善,现为进一步治疗来院,门诊拟“胸腺肿瘤、重症肌无力(眼肌型)” 收入我科

    影像学表现

    病例2

      • 性别:女   年龄:43岁

      • 主诉:间断心慌、怕热半年

      • 现病史:患者半年前无明显诱因下出现心慌、怕热不适,与活动及劳累无明显关系,无时间规律性。2024-01-23至我院门诊就诊,查血游离甲状腺功能异常,门诊拟“甲状腺功能亢进”收住入院。病程中,近半年体重减轻约 4kg

      • 既往史:十余年前行“子宫肌瘤切除术”

      • 实验室检查:

      • 游离甲状腺功能:游离三碘甲状原氨酸16.0pmol/L↑;游离甲状腺素39.4pmol/L↑;促甲状腺激素:<0.00500μIU/mL↓

      • 抗 甲 状 腺 过 氧 化 物 酶 抗 体(TPOAb):36.7IU/mL↑

      • 抗促甲状腺素受体抗体:1.79IU/L↑

      MR 影像学表现

        CT 影像学表现

        转自:东南大学附属中大医院放射科


        200 评论

        查看更多