查看更多
密码过期或已经不安全,请修改密码
修改密码
壹生身份认证协议书
同意
拒绝
同意
拒绝
同意
不同意并跳过
基本资料
性别:男
年龄:50岁
主诉:因“肝癌术后1年余”于我院就诊。
既往史:无
辅助检查
患者2018年4月因腹痛于我院就诊,考虑肝癌破裂,急诊行手术治疗,剖腹探查术中见腹腔有新鲜积血及血凝块,约1500ml。左肝巨大肝癌,可见一破裂口,并有活动性出血,行肝癌切除术。
术后病理示:(左肝)低分化肝细胞癌伴坏死,巨块型,大小约17cm*13cm*10cm,侵犯肝被膜,周边可见卫星结节,MVI分级=M2,神经累犯阴性。免疫组化:Hepatocyte(-)、AFP(-)、CD7(-)、CD19(-)、Glypican-3(+)、Ki-67(60%)。
患者于2018年6月术后复查提示:肝癌切除术后改变,胃大弯侧异常密度影,肝癌种植转移考虑,肝内多发转移灶,两肺多发微小结节,转移瘤考虑。

2018-6-21肺部CT提示多发转移。

诊断:肝细胞癌伴肝内、胃大弯、肺内转移,rT4N0M1,IVB期。
患者因经济原因,不考虑索拉非尼靶向治疗,经考虑后先行化疗,于2018-6-22至2018-7-21行mFOLFOX6方案化疗3周期。
2018-8-5复查提示PD。
2018-6-20肝胆磁共振

2018-8-4肝胆磁共振

2018-6-21肺部CT

2018-8-3肺部CT

患者因经济原因,暂不考虑靶向及免疫治疗,与患者商议后,2018-8-6至2018-9-5行GS方案化疗3周期。
2018-9-20复查提示PD。
2018-8-4 肝胆磁共振

2018-9-20肝胆磁共振

2018-8-3肺部CT

2018-9-22肺部CT

因肝内病灶较前明显进展,肺内病灶较前缓慢进展,与患者商议后,2018-9-29行TACE术。
患者因自身原因,要求手术治疗,2018-11-2于外院行肝部分切除术+腹腔肿物切除术。
术后病理示:1.(腹腔)转移性低分化肝细胞肝癌伴大量坏死,直径约6cm。2.(左肝)肝细胞肝癌伴广泛坏死,大小约4.0*2.0cm。3.(右肝)肝细胞肝癌伴广泛坏死,直径约3.0*1.0cm。免疫组化:Hepatocyte(-)、AFP(灶+)、Glypican-3(+)、CK7(灶+)。
2018.12患者于我院再次就诊复查,提示肝癌术后+TACE术后+胃大弯侧种植灶切除术后改变,右肝术区包裹性积液,切缘肝实质异常灌注灶考虑。两肺转移瘤较前增大。
2018-12-7肝胆MRI

2018-9-22肺部CT

2018-12-7肺部CT

患者目前考虑肺部病灶较前增多增大,与患者商议后开始予以瑞戈非尼80mg qd靶向治疗。
1个月后复查肺部CT,两肺转移瘤有所缩小,评估缩小的SD。
因治疗过程中出现手足综合症3级,患者未能口服到160mg qd。予以减量,同时予以尿素软膏等对症处理后好转,手足综合症2级,患者口服120mg qd。
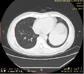
瑞戈非尼治疗前


瑞戈非尼治疗1月后


患者继续口服瑞戈非尼 120mg qd Q3W,手足综合症2级。复查肺内病灶持续缩小,甚至部分病灶消失,肝内病灶稳定,未见明显复发灶。
瑞戈非尼治疗2个半月



瑞戈非尼治疗5个月



瑞戈非尼治疗前

治疗15个月后
病例总结:
国内外指南一致性推荐瑞戈非尼用于肝癌二线治疗。索拉非尼-瑞戈非尼序贯治疗,将为患者带来中位OS 26个月的生存获益。
索拉非尼-瑞戈非尼均已成功纳入医保报销目录,国家政策将为肝癌患者的治疗提供全程的医保护航。
查看更多