查看更多
密码过期或已经不安全,请修改密码
修改密码
壹生身份认证协议书
同意
拒绝
同意
拒绝
同意
不同意并跳过
老年女性患者,间断咳嗽、咳痰50年,加重伴发热10 d,入院诊断为重症社区获得性肺炎,给予碳青霉烯类抗生素治疗,但效果不佳。治疗过程中是否会出现抗生素诱导产生耐碳青霉烯肺炎克雷伯菌?是否还合并其他致病菌? |
病例介绍
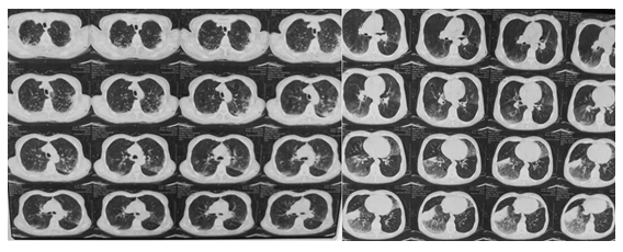
老年女性患者,64岁,因“间断咳嗽、咳痰50年,加重伴发热10 d”于2017年9月13日入院。患者于50年前吸烟后间断出现咳嗽、咳痰症状,每年冬春季节好发,抗炎对症治疗后好转,病情时好时坏;10 d前出现发热,体温最高达38.5℃,多于午后发热,伴畏寒、乏力、出汗、咳嗽,呈阵发性,咳胶冻样黄痰,量多,活动后胸闷、气短,无胸痛,无痰中带血,就诊于当地医院,胸部CT提示双肺多发斑片影(图1),给予“哌拉西林他唑巴坦”治疗8 d后,复查胸部CT提示双肺弥漫性病变,其内并有间质性改变进一步加重(图2),为求进一步治疗转入我院。病程中无腹痛、腹泻,无尿路刺激症状,近期体重无明显增减。

图1 胸部CT:双肺多发斑片影

图2 复查胸部CT:双肺弥漫性病变,间质性改变进一步加重
吸烟50年,平均20支/d,未戒。
T 37.8℃,P 102次/min,R 28次/min,BP 118/78 mmHg,SpO2 83%,呼吸急促,桶状胸,肋间隙增宽,双侧语颤减弱,双下肺听诊可闻及湿啰音,右下肺为著,双下肢中度凹陷性水肿。
重症社区获得性肺炎;慢性支气管炎急性发作期;慢性阻塞性肺气肿;Ⅱ型呼吸衰竭。
血常规:WBC 9.74×109/L,中性粒细胞百分比87%,淋巴细胞百分比7%;血沉70 mm/h,CRP 121.03 mg/dl,PCT 0.07 ng/ml。
真菌D 10 pg/ml,巨细胞病毒核酸定量<50000 copies/ml。
呼吸道病原体九项、抗核抗体系列、ANCA筛查及确证试验均阴性。痰细菌涂片、痰结核菌涂片均阴性。
细胞免疫:CD4+细胞绝对计数264个/μl,CD8+细胞绝对计数:212个/μl。
入院查血气分析:pH 7.47,PaCO2 61 mmHg,PaO2 38 mmHg,HCO3- 44.4 mmol/L(未吸氧条件下)。给予经鼻高流量吸氧,复查血气分析:pH 7.47,PaCO2 75 mmHg,PaO2 52 mmHg,HCO3- 43.4 mmol/L。经鼻高流量吸氧,氧浓度70%,患者出现意识淡漠,考虑存在肺性脑病,改为无创呼吸机辅助通气:吸气气道正压(IPAP) 18 cmH2O,EPAP 6 cmH2O,f 12次/min,FiO2 70%。
入院痰培养提示:肺炎克雷伯菌肺炎亚种,ESBL(-)(美罗培南S,哌拉西林/他唑巴坦S,亚胺培南S,环丙沙星R)。
入院第6天床头气管镜检查:双肺下叶基底段及背段支气管内可见大量黄色黏稠分泌物溢出管腔,吸净后可见黏膜充血水肿,管腔通畅。支气管肺泡灌洗液(BALF)培养:鲍曼不动杆菌(MDR),复查痰培养(3次):鲍曼不动杆菌。
治疗
当地痰培养提示肺炎克雷伯菌,患者外院应用哌拉西林他唑巴坦治疗8 d,仍有发热,影像学有进展,入院后痰培养仍提示肺炎克雷伯菌,给予美罗培南1.0 g,静脉滴注(9月14日至10月2日),治疗期间患者仍有发热,体温波动于37.3~38.0℃,且仍咳大量黄色胶冻样黄痰,9月19日复查胸部CT对比自带肺病CT炎症进展(图3):多次复查血常规提示中性粒细胞百分比为90%,复查胸部X线片变化不明显(图4),考虑患者肺炎克雷伯菌为致病菌,美罗培南已覆盖,但由于患者为慢性肺病,免疫功能下降,易出现条件致病菌感染,多次病原学培养均提示鲍曼不动杆菌,患者可能存在肺炎克雷伯菌及鲍曼不动杆菌的复合感染,调整抗感染治疗方案为美罗培南+替加环素(9月26日至10月2日),10月1日复查胸部CT对比9月19日,炎症有所吸收(图5),氧合好转,逐渐脱机,将美罗培南更换为头孢哌酮舒巴坦,继续应用替加环素(头孢哌酮舒巴坦+替加环素,10月2日至10月10日),患者咳嗽、咳痰好转,体温逐渐正常,患者转出RICU(图6)。




未完待续
本文首发于重症肺言 作者吉林大学第一医院呼吸与危重症医学科 温中梅 李丹
查看更多