查看更多
密码过期或已经不安全,请修改密码
修改密码
壹生身份认证协议书
同意
拒绝
同意
拒绝
同意
不同意并跳过
作者:湖南省脑科医院 王艳
metachromatic:英音 [metəkrəu'mætik] ,美音 [metəkrəu'mætik] 。
leukodystrophy:英音[,ljuːkəʊ'dɪstrəfɪ],美音[,luːkoʊ'dɪstrəfi]。
异染性脑白质营养不良(metachromatic leukodystrophy,MLD),是最常见的溶酶体病,常染色体隐性遗传。
【病因】
芳基硫酸酯酶A(arylsulfatase A,ARSA)或神经鞘脂激活蛋白B(sphingolipid activator B,SAP-B)基因缺乏或突变→ARSA生成不足→过多的脑硫脂沉积在中枢神经系统的白质、周围神经及其他内脏组织,引起脑白质、周围神经脱髓鞘等病变。
知识延伸:ARSA是一种酸性水解酶,可进入溶酶体内,催化降解脑硫脂,使其变成可溶性的小分子物质(脑苷脂、硫酸)被人体再利用。
【临床表现】
任何年龄均可发病。分为晚婴型(1~2岁)、少年型(4~12岁)、成年型(青春期以后)。
1.晚婴型:最常见(80%),一般1~2岁发病,4个月至4年内死亡。表现为:智能减退、语言障碍、四肢瘫痪、步态不稳、共济失调。
2.少年型:一般以精神行为异常、记忆力减退为首发症状→晚期,痫性发作、构音障碍、眼肌麻痹、四肢活动障碍、周围神经病、共济失调等。
3.成年型:症状与少年型相似,病情相对较轻。
【实验室检查】
尿液ARSA明显缺乏、活性消失,脑硫脂阳性→支持本病。
血白细胞及皮肤成纤维细胞中ARSA活性检测→可确诊。
【影像】
脑室周围及皮质下白质对称性脱髓鞘,无占位效应,不强化。
CT低密度、T1WI低信号、T2WI高信号。
通常自双侧额叶向后发展。
典型者MRI呈“虎斑样”、“豹皮样”。
【治疗】
1.无有效治疗,以支持和对症治疗为主。
2.避免摄入和限制富含维生素A的食物。
3.骨髓移植可纠正患者代谢异常。
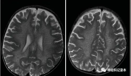
【病例1】
1例3岁患儿的影像资料如下:

T2WI:左图“虎斑”征,右图“豹皮”征。

FLAIR像:同时可见双侧内囊后肢受累。

DWI:室周白质及胼胝体高信号。
【病例2】
MLD也有罕见的影像表现,比如下面这例:
经基因确诊的MLD患儿,病例MRI增强扫描时发现存在罕见的多对颅神经强化。

T2WI(图A、B)、FLAIR(图C):脑白质脱髓鞘,呈“豹皮样”。
MRI增强(图D、E、F、G、H):分别为第Ⅲ、Ⅴ、Ⅵ、Ⅶ、Ⅷ对颅神经强化。
来源:神经科记录本
查看更多