查看更多
密码过期或已经不安全,请修改密码
修改密码
壹生身份认证协议书
同意
拒绝
同意
拒绝
同意
不同意并跳过
病例分享:宋文杰 西京医院 肝胆外科
病例点评:文天夫 四川大学华西医院 肝脏外科肝脏移植中心
PVTT是HCC进展过程中常见表现之一,发生率约为44%~62.2%,与肿瘤直接侵犯/癌细胞脱落/门静脉逆流等密切相关。患者平均中位生存仅为3个月,是预后不良的重要因素之一。研究显示,HCC合并PVTT手术疗效有限,联合治疗则能起到更好的治疗效果。本病例中,患者原发性肝癌合并PVTT,遵循肝癌MDT诊疗思路前提下,尝试建立个体化MDT诊疗模式,患者通过治疗后,AFP由术前31.6 ng/mL下降至6.36 ng/mL,PIVKA-II由术前75000 mAU/mL下降至PIVKA-II 3347 mAU/mL,情况稳定,生存期已达19个月,目前仍随访中,为患者带来了新的曙光。



基本情况
王某,男性,44岁,汉族,陕西西安人。
主诉:乏力、消瘦、食欲食量减退2月。
既往史:乙肝20年
家族史:其母因肝癌、肝硬化、乙肝已故。
实验室检查:AFP:31.6 ng/mL (2018-10-22),PIVKA-II 75000 mAU/mL,HBV 1、4、5阳性,肝肾功能、血常规、凝血功能等基本正常。
影像学检查:B超(2018-10-22)提示,慢性肝损害、肝内实性占位(7.0 cm×6.3 cm),多为肝癌门静脉右支及其属支内瘤栓形成。肝硬化、脾大、门脉高压、食管胃底静脉曲张。

诊断
肝癌合并PVTT(Ⅲa)
肝硬化
慢性乙型病毒性肝炎
治疗过程
拟行治疗方案
继续:抗病毒+免疫治疗
序贯:TACE+射频+放疗+靶向
第一阶段方案
2018-11-02,第一次TACE
复查:
2018-11-13,PIVKA-II 57807 mAU/mL

第二阶段方案
2018-11-16,肝穿刺活检+射频消融术
病理显示:查见异性细胞巢,形态考虑肝细胞癌,结合病史及现有免疫表型提示为肝细胞癌,转移性证据不足。
第三阶段方案
2018-12,放疗+靶向
残存病灶和门脉癌栓:调强放疗 48 Gy/8 F;靶向治疗:索拉非尼,400 mg,口服,bid。

复查:
2019-01-04,

2019-01-22,PIVKA-II 2940 mAU/mL
第四阶段方案
2019-01-24,行第二次TACE术。
复查:
2019-02-16,PIVKA-II 683 mAU/mL。
第五阶段方案
2019-02-21,左外叶射频消融。
复查:
2019-03-22,PIVKA-II 428 mAU/mL。
2019-07-28,

治疗效果对比图:

第六阶段方案
2019-07-29,2019-10-21,分别进行第三次、第四次TACE术。
复查:
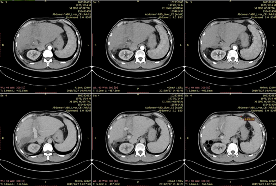
2019-09-27

2019-09-30,PET-CT

第七阶段方案
2019-11-06,活检+射频消融
(左叶穿刺标本)低分化癌,倾向肝细胞癌,坏死显著。组化显示:Arginase(-) CK-19(-) CK-20(-) CK7(弱+),Glypican-3(-),Hep(-),Ki-67(标记指数8)。
第八阶段方案
2019-12-19,N-S序贯治疗
瑞戈非尼 160 mg,qd。
复查:
2020-01-04,PIVKA-II 3499 mAU/mL。
第九阶段方案
2020-01-09,行第五次TACE术。
复查:
2020-03-06,PIVKA-II 3347 mAU/mL。
治疗经过汇总

AFP变化情况(2018-10~2020-03)

PIVKA-II变化情况(2018-10~2020-03)

思考
MDT是PVTT治疗必然趋势。
早诊断早处理是关键。
分子分型是重要突破方向。PIVKA-II与MVI及PVTT密切相关,与AFP互补,有助于HCC 早期诊断。
小结
HCC合并PVTT,晚期,进展快,预后差。
MDT是延长PVTT患者生存的必由之路。
早期诊断和早期处理是改善预后的关键。
影像学进步,分子分型是未来重要突破方向。



HCC合并PVTT患者具有分期晚、进展快、预后差的特点,MDT已成为延长PVTT患者生存的必由之路。本病例为CNLC IIIa期肝细胞癌合并乙肝肝硬化,考虑肝癌门静脉右支癌栓形成,肝硬化,脾大,门脉高压、食管胃底静脉曲张,进一步完善检查ICG15 4.3% Child评分A级,残肝比56%,根据2018版HCC合并PVTT多学科诊治中国专家共识拟行治疗方案为:继续抗病毒+免疫治疗,序贯治疗方案为:TACE+射频+放疗+靶向。目前患者继续随访中,总体治疗策略的选择遵循了肝癌MDT诊疗思路,个体化MDT为PVTT治疗带来了一丝曙光,目前患者生存期19个月,体现了肝癌多学科诊疗及全程管理的理念,并取得了较好的治疗效果。
以现在的治疗理念回顾该患者的全程治疗,多学科诊疗及全程管理思路和方案的选择值得临床借鉴和进一步探索。
该患者分期较晚,按照2019年中国原发性肝癌诊疗规范,2018年HCC合并PVTT多学科诊治中国专家共识推荐局部联合全身治疗手段,本病例中首次射频治疗术后联合放疗和索拉非尼全身治疗方案,并及时行TACE治疗,术后患者病情趋于稳定,在出现一线进展后继续射频联合TACE以及靶向治疗,充分体现了多种手段联合的多学科诊疗思路。
该患者TACE联合索拉非尼一次进展后考虑序贯瑞戈非尼的二线标准治疗方案,有很强的循证医学证据。SHARP研究晚期肝细胞癌索拉非尼治疗OS10.7个月,RESCOSE研究瑞戈非尼二线OS10.6个月。此病例序贯治疗方案目前OS获益已达19个月,且持续获益中。相信在未来的肝癌诊疗过程中,靶向药物治疗序贯方案会越来越普及成为肝癌标准序贯方案,期待中国真实世界序贯研究能更加印证这一点,为晚期肝细胞癌全程标准序贯方案树立规范。
(本篇内容由文天夫专家审校及点评)
更多精彩内容欢迎扫码观看直播:

查看更多