查看更多
密码过期或已经不安全,请修改密码
修改密码
壹生身份认证协议书
同意
拒绝
同意
拒绝
同意
不同意并跳过

肺癌治疗模式进入靶向时代后,其分子分型也在不断扩张。如今,EGFR、ALK、KRAS、ROS1、MET等十余种驱动基因都已证实与肺癌的发生息息相关。其中,MET基因异常不仅是非小细胞肺癌(NSCLC)原发致癌驱动基因,也是EGFR-TKI药物出现获得性耐药的原因之一,成为近期NSCLC领域的研究热点,其也被《非小细胞肺癌分子病理检测临床实践指南》和《2023 CSCO NSCLC诊疗指南》推荐为“必检基因变异”。近年来,针对MET基因异常的靶向药物研发获得了突破性进展,如针对MET 14号外显子跳跃突变(MET ex14跳突)的伯瑞替尼已取得了良好的疗效数据。
本报特邀深圳市人民医院的陈敬华教授,围绕NSCLC患者精准靶向治疗和MET基因异常治疗领域的学术前沿展开精彩访谈,与读者分享精彩病例。
教授访谈
深圳市人民医院肿瘤内科 博士 主任医师
南方科技大学第一附属医院,暨南大学第二临床医学院
广东省医师协会肿瘤内科医师分会委员
广东省医学会肿瘤学分会青年委员会委员
广东省健康管理学会肿瘤学分会委员
广东省临床医学学会肺癌精准治疗及临床研究专业委员会委员
深圳市医学会肿瘤学分会委员
深圳市抗癌协会副秘书长
深圳市抗癌协会青年委员会副主委
深圳市抗癌协会肺癌专业常委
深圳市医师协会肿瘤学分会委员
MET已经成为重要的肿瘤驱动基因和治疗靶点,其发病机制和表现形式相对复杂性,其中MET扩增与多种肿瘤不良预后相关,能否请您介绍一下目前临床中针对这种异常形式肺癌患者的诊疗策略和思路?
陈敬华教授:临床上,MET扩增主要分为原发扩增和继发扩增。原发扩增的发生率相对较低,大致为1%-5%。而MET扩增作为癌症共同驱动和继发驱动基因发生比例更高,尤其是在三代EGFR-TKI耐药后发生率可达15%-30%。因此需要临床医生及时对耐药病灶采用再次活检和精准检测手段去更好地发现和识别MET扩增,目前临床上主要以组织的二代高通量基因测序(NGS)检测为主。在治疗方面,对于MET原发扩增的患者,传统标准治疗方案常以化疗为主,但其疗效并不理想,而MET抑制剂能够更好地帮助这部分患者提高疗效。而对于存在耐药的MET继发扩增的患者,则通过采用MET抑制剂和EGFR-TKI强强联合的方式去更好地抑制肿瘤的进展。未来,我们将尝试将MET抑制剂的治疗窗口前移至一线,同时对于原发扩增的患者,MET抑制剂与传统化疗方案相联合也将成为另一个探索方向。
脑部是肺癌最常见的远处转移部位之一,靶向治疗在NSCLC脑转移治疗中的地位如何?针对MET靶点,您认为治疗时需要考虑药物的哪些疗效指标以帮助患者实现多重获益?
陈敬华教授:众所周知,脑部是肺癌最常见的远处转移部位之一。近年来随着肺癌进入到慢病化管理,患者生存时间延长,这就意味着患者出现脑转移的风险也持续增长。在传统化疗时代,肺癌脑转移患者的预后极差,有时还需要辅以全脑放疗和手术治疗等局部治疗手段。靶向治疗的出现,尤其是以TKI为基础的精准靶向药物,显示出了很好的颅内控制及整体疗效。特别是入脑效果好的靶向药物,能够更好地去控制肿瘤的进展,同时也有利于推迟放疗的时间,从而减少全脑放疗对于患者的生活质量(包括认知功能)的影响。所以,目前我们主张以全身治疗为基础,必要时辅以局部治疗的方案。
对于肺癌患者,当颅外病灶控制很好而颅内病灶控制效果不佳时,患者的总生存及预后会受到很大影响。因此对于MET异常的脑转移瘤患者,临床倾向于采用穿透血脑屏障效果更好的高选择性MET抑制剂。此外,MET异常患者人群通常呈现高龄特点,这就需要我们考虑药物针对脑转移瘤有效性的同时,还要考虑高龄患者的耐受性以及安全性。
高选择性MET抑制剂伯瑞替尼针对MET ex14跳突NSCLC的关键注册临床研究,结果显示:ORR达到75%,DCR达到96.2%,mPFS达到12个月,mDOR达到16.7个月,且对MET扩增也显示出卓越的临床疗效,请问您如何评价伯瑞替尼的这项研究成果?
陈敬华教授:克唑替尼是一种具有MET靶点的TKI抑制剂,可用于MET ex14跳突的NSCLC治疗,但该药靶点的选择性较低,整体疗效不是很理想,临床亟需针对MET靶点高选择性的药物。
伯瑞替尼是我国内自主研发的高选择性MET抑制剂,对于MET ex14跳突NSCLC,关键注册临床研究显示:客观缓解率(ORR)达到75%,疾病控制率(DCR)高达96.2%,中位无进展生存期(mPFS)为12个月,中位缓解持续时间(mDOR)为16.7个月,就数据而言有效率优于同类MET抑制剂,高选择性MET抑制剂伯瑞替尼在MET异常NSCLC的治疗中显示出了优异的疗效,这正是临床医生及患者所需要的。期待未来伯瑞替尼相关临床研究的总生存数据能够交出一个更为卓越的答卷。
此次ASCO大会中收录了多项肺癌领域的研究进展,MET作为价值靶点也取得一定成果,未来伴随药物可及性提升,您认为相关基础研究和临床研究还有哪些方向值得进一步探索?
陈敬华教授:首先,MET异常的检测方法有许多,尤其是MET扩增方面。但NGS和荧光原位杂交(FISH)到底哪种检测方法最为准确?免疫组化的方法能否成为一种替代?这些问题都值得我们进一步探究。虽然免疫组化在临床中应用的更加方便,但MET蛋白的表达并不一定能完全的真实反映驱动基因的异常。目前在不同的临床研究中,MET异常的检测方法和阈值标准尚未统一,因此未来还需要更具有临床意义的标准化阈值判定,使临床医生能够根据明确的检测阈值指导用药。当下,MET靶点药物多样,药物的可及性也在不断提升,如何为患者选择合适的靶向药物,甚至将治疗的窗口前移,都将成为我们进一步探索的方向。在治疗模式方面,MET抑制剂联合传统化疗、MET抑制剂联合血管靶向药物治疗等联合策略的探索也值得期待。同时,针对MET-TKI药物的耐药机制以及发生一种MET-TKI耐药后MET抑制剂的选择等方面进行探索研究。此外,针对治疗后出现的继发MET扩增,采用MET抑制剂联合治疗能否进一步拓展到其他癌种,也同样需要大量的循证医学证据的建立。
请您与我们分享一下您在伯瑞替尼临床研究中遇到的印象深刻的病例和诊疗过程中的经验及心得体会?
陈敬华教授:有一例MET扩增的NSCLC患者的治疗经过令我印象深刻。患者确诊时的肿瘤负荷非常大,除左肺部原发灶外,还存在骨、胸壁、脑及多发淋巴结转移(T1N3M1 Ⅳ期)。NGS结果提示患者存在MET扩增情况,患者同意入组临床研究,采用伯瑞替尼进行治疗,治疗效果令人非常惊喜。
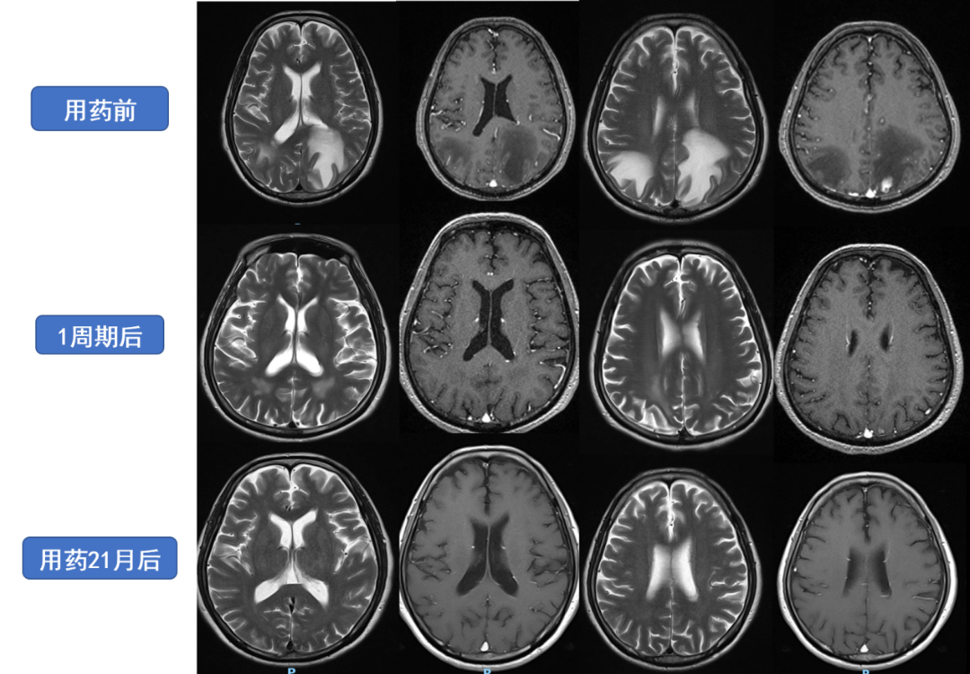
图1治疗期间颅内病灶动态变化
图2治疗期间原发灶、胸壁及骨转移灶动态变化
经过治疗,患者的颅内病灶基本达到了临床完全缓解,同时胸壁的转移灶消失,整体疗效评估为部分缓解(PR)。对于MET扩增的患者,及时采用MET抑制剂进行针对性治疗,能够更好地控制疾病进展,取得更好的治疗效果。临床研究表明伯瑞替尼对MET 14跳跃突变、MET扩增的NSCLC具有不错的疗效,表现在起效迅速,肿瘤退缩明显,疗效持久。同时在安全性方面,伯瑞替尼的不良反应大部分为1-2级,整体可控,期待该药物早日可及惠及更多临床患者。
中心介绍
一、概况
深圳市人民医院肿瘤内科成立于上世纪八十年代,是深圳市第一个肿瘤专业科室,目前设有3个住院病区,共140张床位,年收治病人1万7千余人次,门诊4万余人次,为深圳市规模最大的肿瘤专科,其医教研整体实力始终代表着深圳市肿瘤内科的最高水平和发展方向,在业界享有较高声誉。
二、专科特色
肿瘤内科从事肺癌、结直肠癌、乳腺癌、胃癌、食管癌、生殖肿瘤等各类实体肿瘤的内科治疗与研究,下设多个专业治疗组,坚持规范的个体化治疗原则和肿瘤的综合治疗,严格遵循国内外公认的诊疗指南及规范,与国际先进治疗同步。现已开展国际最先进的分子靶向治疗和免疫治疗,针对不同的肿瘤基因分型进行个体化精准治疗。
2006年起,科室被认定为国家抗肿瘤药物临床试验机构,承担了国内外大量抗肿瘤新药临床研究任务,在研项目达数十项,覆盖多种实体肿瘤。已完成的临床药物研究中,部分药物已获批上市,改写临床应用指南,让肿瘤患者尽早接受先进的药物治疗手段。科室拥有全市唯一肿瘤专科实验室,开展肿瘤标志物检测、循环肿瘤细胞分离检测、循环肿瘤细胞化疗药物敏感性检测等项目,为患者的精准诊断和精准治疗提供科学保障。
肿瘤内科护理团队为肿瘤患者在化疗毒副反应方面提供专科预防和护理,减轻患者身体疾病负担,同时也对肿瘤患者的心理进行评估和疏导,帮助患者身心康复。护理团队在深圳市最早开展静脉导管(PICC)置入术和手臂式输液港植入术,现每年手术量达500余例。
三、科研教学
2000年肿瘤内科牵头成立肿瘤学教研室,承担本科生及研究生教学,是国家硕士学位授权点,现有硕士研究生导师3名,博士后联合培养导师1名,现有在站博士后3名,已培养研究生数十名。自1998年起接受培养肿瘤内科进修医师的任务,现进修医师已遍及全国多省市,大部分医师成为科室负责人。2012年起成为深圳市住院医师规范化培训科室,培养住院医师百余人,许多学员成为医院业务骨干。肿瘤内科也承担大量恶性肿瘤基础研究工作,已完和正在承担的国家及省市级课题数十项,荣获国家自然科学基金资助多项,在国内外期刊发表论文百余篇,其中重要研究成果在Nature杂志上发表,主编及参编著作数十册。获深圳市科技进步奖一等奖。肿瘤内科每年主办“深圳-国际肿瘤高峰论坛”和国家级、省市级继续教育学习班,学术影响力辐射全国。
肿瘤内科医教研一体化发展,整体实力雄厚,秉承“以患者为中心”的理念,努力提升服务质量,达到国际及国内一流的肿瘤诊疗水平。
肺癌是目前全球发病率第二、死亡率第一的恶性肿瘤,在中国的发病率和死亡率亦位列第一。为了让大家及时知晓肺癌领域国内外的最新进展,《中国医学论坛报》特别发起并举办了“遇见未来”栏目,由鞍石生物科技支持,特邀国内专家进行前沿热点话题访谈和典型病例报道,相关内容发表在中国医学论坛报今日肿瘤微信公众平台。
关于鞍石生物科技
鞍石生物科技是中国创新药企业,旗下拥有两个全资子公司:北京浦润奥生物科技有限责任公司成立于2012年;北京鞍石生物科技有限责任公司成立于2018年。
鞍石生物科技致力于健康服务产业,以为患者提供高质量医药产品作为宗旨。专注于抗肿瘤创新药物的研发,拥有多个药物研发管线,主要研发方向为肿瘤治疗领域”First In Class”及“Best In Class”的创新药物,涵盖肺癌、脑胶质瘤等多个肿瘤治疗领域。
鞍石生物科技始终致力于:通过提供高品质创新药物,让患者生活更有质量,用持续创新为人类健康服务。通过完整的创新药物研发平台,推动药物产业化,为民族医药产业贡献自己的一份力量。
查看更多