壹生大学

壹生身份认证协议书

本项目是由壹生提供的专业性学术分享,仅面向医疗卫生专业人士。我们将收集您是否是医疗卫生专业人士的信息,仅用于资格认证,不会用于其他用途。壹生作为平台及平台数据的运营者和负责方,负责平台和本专区及用户相关信息搜集和使用的合规和保护。
本协议书仅为了向您说明个人相关信息处理目的,向您单独征求的同意,您已签署的壹生平台《壹生用户服务协议》和《壹生隐私政策》,详见链接:
壹生用户服务协议:
https://apps.medtrib.cn/html/serviceAgreement.html
壹生隐私政策:
https://apps.medtrib.cn/html/p.html
如果您是医疗卫生专业人士,且点击了“同意”,表明您作为壹生的注册用户已授权壹生平台收集您是否是医疗卫生专业人士的信息,可以使用本项服务。
如果您不是医疗卫生专业人士或不同意本说明,请勿点击“同意”,因为本项服务仅面向医疗卫生人士,以及专业性、合规性要求等因素,您将无法使用本项服务。

同意

拒绝

同意

拒绝

知情同意书

同意

不同意并跳过

工作人员正在审核中,
请您耐心等待
审核未通过
重新提交
完善信息
{{ item.question }}
确定
收集问题
{{ item.question }}
确定
您已通过HCP身份认证和信息审核
(
5
s)

病例寻踪 | 产后腹壁长出“鸡蛋”大肿物!一种好发于年轻女性的肿瘤……

2025-03-06作者:CMT琳资讯
非原创

产后一年腹部出现鸡蛋大小肿块,触摸还有轻微痛感......会是癌症吗?带着对未知的恐惧,26岁的年轻妈妈王女士(化名)来到了中山一院就诊。


在中山一院胃肠外科中心戴伟钢副主任医师的帮助下,她明确了病因,原来这是一种名为“侵袭性纤维瘤”的少见肿瘤。医疗团队通过创新性手术方案成功为其切除肿瘤并修复腹壁,术后患者恢复良好。


image.png

▲专家团队在手术中


产后腹壁现鸡蛋大小"硬疙瘩" 原来是这种少见肿瘤


一年半前,王女士通过剖宫产顺利产下一名健康的婴儿。然而,还沉浸在成为“新手妈妈”兴奋中的她,却发现近半年来右侧腹壁上出现了一个鸡蛋大小的硬疙瘩,有轻微的疼痛,并且还在不断增大中。王女士心里也起了“疙瘩”,担心自己被癌症盯上,便在丈夫的陪同下来到中山一院胃肠外科戴伟钢副主任医师门诊就诊。


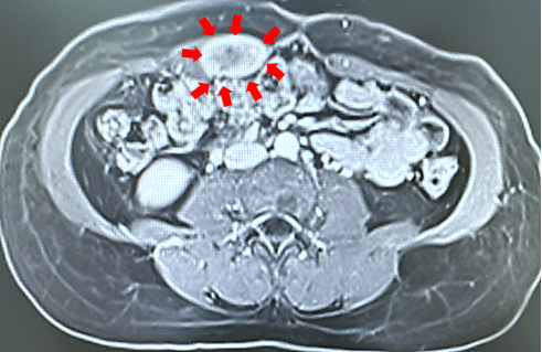
经过细致的问诊和体格检查后,戴伟钢副主任医师发现该肿物位于右侧腹直肌内,肿物平脐周围,大小约5*4cm、位置固定、无法推动、边界不清晰。为其完善了腹部核磁共振等相关检查后,戴伟钢副主任医生将其收治入院,并决定为其进行手术切除。


image.png

▲腹部核磁共振检查结果可见腹直肌内肿物


术前,多学科团队进行了周密的讨论,考虑到患者还年轻,应在完整切除肿瘤的基础上,尽可能修复腹壁缺损,最大限度保证腹壁的功能。


手术当天,戴伟钢副主任医师、余红兰副教授组成的手术团队为患者实施了“右侧腹直肌肿物切除术+腹壁缺损补片修补术”。肿瘤被完整切除后,专家用患者自体组织修补缺损的腹壁,再用人工补片加强修补,这样不仅能够大大减少术后出现腹壁疝的风险,还能够增加患者后续怀孕时腹壁需要承受压力的能力。


术后根据病理结果,患者确诊为侵袭性纤维瘤病。一个月后,专家团队对患者进行随访,王女士已经恢复正常生活,无明显疼痛,复查CT恢复良好。“真的太感谢你们了!肚子的疙瘩被切掉,心里的'疙瘩'也没了!”王女士开心地说道。


image.png

▲患者术后1个月复查,CT显示恢复良好


什么是侵袭性纤维瘤?


戴伟钢副主任医师介绍,侵袭性纤维瘤病是起源于深部软组织的成纤维细胞克隆性增生的疾病,又称为硬纤维瘤、韧带样瘤或肌肉腱膜纤维瘤病,在临床上十分少见,一般人群中发病率为2-4人/(百万·年)。


2006年世界卫生组织将其定义为软组织的交界性肿瘤,其生物学特征及行为介于良性的纤维母细胞瘤与恶性的纤维肉瘤两者之间,是一种中间型肿瘤。


9f699801fb8dc8e18244d63b541c27c.png

▲侵袭性纤维瘤【图片来源:腾讯医典】


虽然它在形态上表现为良性肿瘤,但在生物学上具有局部易复发、浸润性生长等恶性行为特点。值得注意的是,它不容易发生远处转移。根据其生长部位的不同可分为三大类:腹外纤维瘤病、腹壁纤维瘤病、腹腔内和肠系膜纤维瘤病,其中发病率最高的是腹壁纤维瘤病,上述病例正是腹壁型侵袭性纤维瘤。


该疾病在女性中多见,好发年龄为15-60岁, 女性发病率约为男性的两倍。尤其是年轻的妊娠期或是产后的年轻女性,一般以产后1年内发病多见。


目前,侵袭性纤维瘤病的病因还尚不清楚,可能是多因素导致的结果,包括如下:


(1)遗传因素有关,特别是与家族性结肠腺瘤性息肉及Garden综合征一些基因突变有关;

(2)与内分泌激素尤其是雌激素密切相关;

(3)损伤因素有关,剖宫产等经腹手术或妊娠导致肌纤维破坏、出血、血肿修复过程中,细胞出现异常增生。


862be15efa423dc947d554926c180cd.png

▲侵袭性纤维瘤病可能病因【图片来源:腾讯医典】


在上述病例中,王女士发病的可能原因有:


 (1) 患者是年龄26岁的女性,属于侵袭性纤维瘤病发病的高危人群;


(2)患者1年半前曾行剖宫产手术,剖宫产术的局部组织创伤是该病发生的危险因素。


侵袭性纤维瘤有哪些症状?


侵袭性纤维瘤病的临床表现与肿瘤部位、大小、生长速度等相关。多数情况下患者没有临床症状,常因查体无意间发现,当肿瘤生长速度快或体积大压迫相邻的脏器会出现相应的症状体征,体查可以触及肿物。


腹壁侵袭性纤维瘤病占总数的30%~40%,其发生部位多来源于腹直肌或腹部切口瘢痕,一般腹壁可触及肿物。当局部快速生长时,会轻微疼痛。


侵袭性纤维瘤如何治疗?


外科手术根治仍然是目前腹壁侵袭性纤维瘤病首选的治疗方式,需要确保足够的手术切缘,至少要达到1cm以上的肉眼切缘阴性,以避免术后复发。


目前,对于肿瘤不大、无临床症状、未引起器官功能障碍,增长缓慢的患者,推荐将密切随访观察作为一线治疗策略。随访观察过程中需密切监测,前1-2年应每3-6月行CT或核磁共振检查评估肿瘤有无进展。


侵袭性纤维瘤除了手术治疗外,还有放疗、内分泌治疗、化疗及靶向治疗等手段。放疗可以作为较大肿瘤术前的辅助治疗,还可以作为手术切缘阳性或肿瘤无法切除时的补救治疗。


雌激素受体阳性患者可以使用抗雌激素治疗;非甾体类药物通过抑制COX2介导的PDGFR的活化来延缓侵袭性纤维瘤的增殖和生长。抗雌激素药物与非甾体类药物不良反应较小,安全性高,因此侵袭性纤维瘤的一线药物治疗策略为单独使用抗雌激素药物或与COX2抑制剂联合用药,适用于观察等待后肿瘤出现进展或无法手术治疗的患者。


目前指南不推荐化疗作为侵袭性纤维瘤的常规治疗措施,化疗仅适用于疾病进行性发展、手术和放射治疗失败的患者。靶向药如伊马替尼目前仅作为侵袭性纤维瘤的二线或三线药物治疗。


戴伟钢副主任医师表示,侵袭性纤维瘤属于交界性肿瘤,术前诊断明确较为困难,对于初发、无症状、生长缓慢、无明显脏器功能障碍的侵袭性纤维瘤患者,可考虑随访观察;对于疾病进展迅速或出现相应临床症状的侵袭性纤维瘤患者则可采取手术为主的多学科综合治疗,术后需要密切的定期随访。


来源:中山一院

200 评论

查看更多