壹生大学

壹生身份认证协议书

本项目是由壹生提供的专业性学术分享,仅面向医疗卫生专业人士。我们将收集您是否是医疗卫生专业人士的信息,仅用于资格认证,不会用于其他用途。壹生作为平台及平台数据的运营者和负责方,负责平台和本专区及用户相关信息搜集和使用的合规和保护。
本协议书仅为了向您说明个人相关信息处理目的,向您单独征求的同意,您已签署的壹生平台《壹生用户服务协议》和《壹生隐私政策》,详见链接:
壹生用户服务协议:
https://apps.medtrib.cn/html/serviceAgreement.html
壹生隐私政策:
https://apps.medtrib.cn/html/p.html
如果您是医疗卫生专业人士,且点击了“同意”,表明您作为壹生的注册用户已授权壹生平台收集您是否是医疗卫生专业人士的信息,可以使用本项服务。
如果您不是医疗卫生专业人士或不同意本说明,请勿点击“同意”,因为本项服务仅面向医疗卫生人士,以及专业性、合规性要求等因素,您将无法使用本项服务。

同意

拒绝

同意

拒绝

知情同意书

同意

不同意并跳过

工作人员正在审核中,
请您耐心等待
审核未通过
重新提交
完善信息
{{ item.question }}
确定
收集问题
{{ item.question }}
确定
您已通过HCP身份认证和信息审核
(
5
s)

爱“启欣”生,肺愈“可”期|伊鲁阿克优秀案例实例呈现:ALK阳性NSCLC患者化疗不耐受后接受伊鲁阿克治疗,PFS长达70个月

2025-01-14作者:liuy资讯

对于间变性淋巴瘤激酶(ALK)融合阳性的非小细胞肺癌(NSCLC)患者,因使用精准靶向治疗后,可获得较好的生存获益,ALK融合阳性又被称为“钻石突变”。随着ALK抑制剂研究日益成熟,ALK阳性晚期NSCLC正逐步迈向“慢病化”,如何优化此类患者的全程管理,是一个亟待探讨的重要课题。为进一步探索ALK阳性NSCLC患者的治疗选择,中国医学论坛报社开展“实例呈现——最佳临床病例分享项目”

第七期特邀柳州市人民医院党翠主治医师报告分享《一例ALK阳性NSCLC患者经化疗治疗不耐受后接受伊鲁阿克治疗PFS长达70个月》,并邀请柳州市人民医院李竟长主任医师进行点评。现将病例及点评内容整理如下,供大家分享、交流。




病例要点速览




1

该患者为ALK(D5F3)融合蛋白阳性;


2

初诊后先接受化疗治疗24个月,后因不耐受化疗入组伊鲁阿克I期研究,接受伊鲁阿克治疗,截至2024年12月仍在接受伊鲁阿克治疗,未发生疾病进展,PFS达到70个月;


3

接受伊鲁阿克治疗期间耐受性良好,未发生不良事件。


PART.1

基本信息



一般资料:患者女性,71岁,身高155cm,体重68kg;既往胆囊结石手术史

主诉:右侧胸痛1周,发现肺占位3天

CT(2017.01.17):右肺上叶结节(26.7*25.0mm),周围型肺癌可能性大;纵隔淋巴结肿大,考虑转移;两肺慢性炎症

CT引导下经皮肺穿刺活检术(2017.01.18):(右肺上叶穿刺组织)低分化腺癌并淋巴结转移,IIIB期(T1bN3M0),免疫组化(IHC)检测CK7(+)、TTF-1(+)、NapsinA(+)、p40(-)、 ALK(D5F3)融合蛋白检测阳性

图1 患者初诊IHC结果


PART.2

治疗经过


第一阶段:前线多程治疗

1. 2017.01.23-2017.04.20  TP方案(紫杉醇240mg+顺铂100mg)化疗5周期,疗效评价部分缓解(PR)

2. 2017.04.27  开始予肺内及锁骨上病灶放疗:右肺病灶、纵隔淋巴结转移灶及锁骨上淋巴结转移灶分别为GTV1、GTV2、GTV3,放射剂量为GTV1 60Gy;GTV2 56Gy; GTV3 60Gy, CTV50Gy

3. 2017.06.14-2017.07.05  TP方案(紫杉醇240mg+顺铂100mg)化疗2周期

4. 2017.10  复查CT影像提示,右肺上叶周围型肺癌,邻近胸膜牵拉、增厚,病灶较前明显增大,原右肺上叶尖后段及下叶背段病灶较前吸收缩小;纵隔淋巴结肿大,部分钙化,疗效评估病变进展(PD)

5. 2017.10.18-2018.02.02  培美曲塞 800mg+卡铂400mg化疗6周期,2018年2月复查胸部CT,疗效评估为PR

6. 2018.02.28-2019.01.12  培美曲塞800mg维持12周期,期间2018年8月做胸部CT,疗效评估为PR

图2 患者化疗期间影像学结果

第二阶段:伊鲁阿克治疗

1. 2019.02.19  因年龄较大,且化疗期间出现IV级白细胞减少、2级胃肠道反应、手足麻木的不良反应,患者不愿意继续化疗,遂开始接受伊鲁阿克60mg QD治疗,2019.02.27(用药后第8天)顺利上调剂量至180mg QD,此后规律服药。

2. 截至2024年12月,患者依然在接受伊鲁阿克治疗,末次影像为2024年07月30日,未发生疾病进展。

3.疗效评估:达到最佳总缓解——病变稳定(SD),用药后第12周首次评价为SD,且一直持续至今。

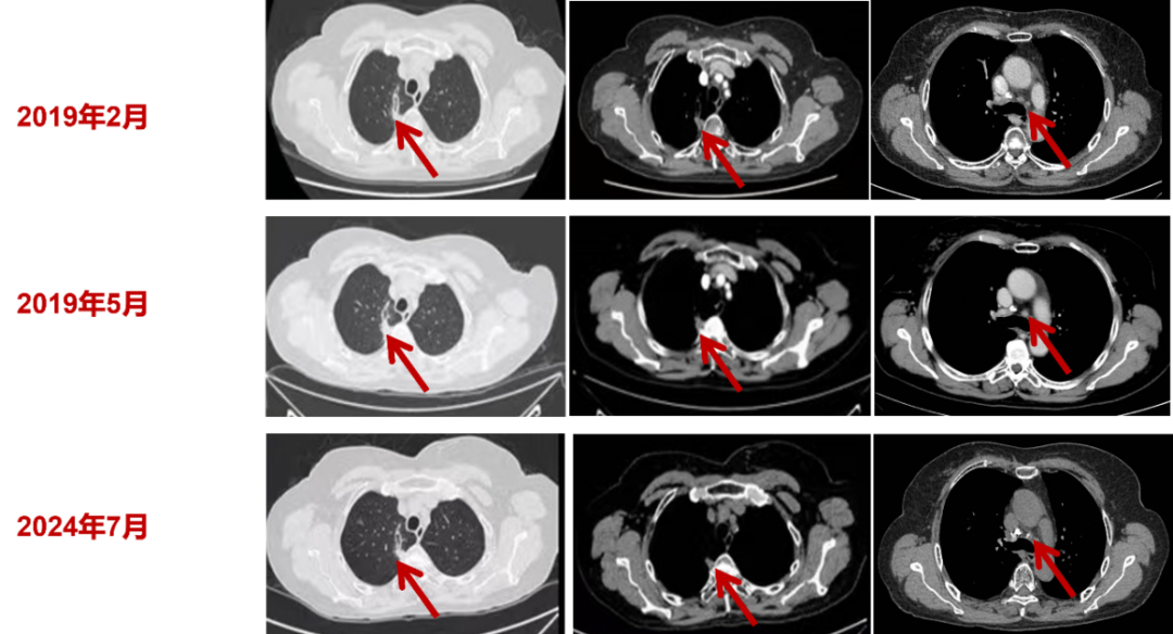
图3 患者接受伊鲁阿克治疗期间影像学结果

4.不良事件的发生、发展及转归:患者耐受性良好,未发生不良事件

5.治疗过程总结

图4 患者治疗过程汇总



video
PART.3

专家点评



李竟长主任医师点评

1.伊鲁阿克显著延长高龄患者生存时间

本患者71岁,年龄较大且身体状况不佳,前期经历了多种化疗方案,出现了骨髓抑制、胃肠道反应及手足麻木等不良反应,治疗耐受性差。在这样的情境下,被纳入伊鲁阿克I期临床试验。在接受伊鲁阿克一线治疗后,截至目前,PFS已达70个月,整体疗效评价为SD,这是一个极为显著的治疗成果。不仅证实了伊鲁阿克在ALK阳性NSCLC治疗中的突出疗效,更凸显了其在高龄、不耐受患者群体中的特殊价值。

INSPIRE研究的期中分析结果显示,独立审查委员会(IRC)评估伊鲁阿克治疗ALK阳性NSCLC的中位PFS为27.7个月,风险比(HR)为0.344。2024年ESMO大会上,INSPIRE研究数据进一步更新,中心实验室复检ALK阳性人群,IRC评估的伊鲁阿克mPFS达45.9个月,HR为0.29,凸显了伊鲁阿克在ALK阳性NSCLC治疗中的卓越效果[1]

此外,值得强调的是,本患者长期接受伊鲁阿克治疗,未出现严重不良反应或不耐受情况,证明了伊鲁阿克具有良好耐受性和长期治疗可行性。对于高龄、体质弱、多线治疗失败的患者而言,伊鲁阿克开辟了一条新的治疗路径。这一病例为临床医生提供了宝贵的实践经验,也为ALK阳性NSCLC的治疗研究带来了新启示。

2.伊鲁阿克耐受良好,高龄患者不良反应风险低

本病例中,患者高龄且前期治疗耐受性差,接受伊鲁阿克治疗后不仅取得了显著治疗效果,而且在整个治疗过程中耐受性良好,未报告不良事件。这一结果为伊鲁阿克在老年ALK阳性NSCLC患者中的广泛应用提供了重要的前瞻性和指导性启示。

首先,从治疗策略角度看,本病例强调了针对老年ALK阳性NSCLC患者制定个体化综合治疗方案的重要性。在治疗过程中,要充分考虑患者的躯体功能状态、认知情况、营养状况等多方面因素,确保治疗方案的合理性和可行性。同时,要加强对老年患者的监测和评估,及时发现并处理可能的不良反应和并发症,确保治疗的安全性和有效性。

其次,伊鲁阿克在高龄患者中的良好耐受性为临床医生提供了更多的治疗选择。约50%的肺癌患者在诊断时已达到65岁以上[2],机体功能减弱、发生各种合并症、多重用药及药代动力学改变[3]。针对这一群体的治疗过程中,药物的疗效会受到负性影响,而且高龄患者化疗后出现粒细胞减少伴感染的概率和死亡风险、心脏及神经毒性等不良反应显著增加[4-5]。INSPIRE研究结果表明[1],在≥65岁亚组中,中位随访35.0个月时,伊鲁阿克组发生疾病进展或死亡的患者占比为6/26,一代经典TKI(酪氨酸激酶抑制剂)克唑替尼组发生疾病进展或死亡的患者占比为11/26,HR为0.37(95% CI: 0.12-1.1),伊鲁阿克表现出优于克唑替尼的趋势。无论是本病例的实战经验,还是INSPIRE研究的严谨数据,都带来了积极信号,为探索更加适合老年患者的治疗方案提供了有力依据。

3.伊鲁阿克纳入医保,ALK阳性NSCLC治疗领域迎来新

在ALK阳性NSCLC治疗领域,随着多种药物的涌现,如何“排兵布阵”,使这些药物更好地发挥作用,是临床医生必须面对的重要问题。伊鲁阿克纳入国家医保目录,为这一领域带来了新的治疗选择。

伊鲁阿克个体化治疗策略、联合治疗的应用以及对患者生活质量的重视,共同构成了其未来在ALK阳性NSCLC治疗中的重要地位。首先,个体化治疗策略要求根据患者病情、病理情况、生理状况等制定个性化治疗方案,以提高治疗效果、减少不良反应,伊鲁阿克以其显著的疗效和良好的耐受性,在这方面展现出了独特优势。其次,针对肿瘤负荷较大的患者,联合治疗是进一步提升治疗效果的重要途径,通过联合应用不同机制的药物,从而增强抗肿瘤效果。最后,注重患者生活质量是伊鲁阿克临床应用不可或缺的一部分,其良好的耐受性为患者提供了更好的治疗体验。

随着伊鲁阿克纳入国家医保目录,其可及性和可负担性将大幅提升。期待伊鲁阿克在未来的临床实践中能够不断突破,早日拓展适应证,为患者创造更多的生命奇迹。

video
专家简历


李竟长 主任医师

柳州市人民医院
  • 医学博士、主任医师、硕士研究生导师

  • 柳州市人民医院日间病房主任、肿瘤科教研室主任

  • 中国抗癌协会前列腺肿瘤整合康复专业常务委员

  • 中国抗癌协会肿瘤心理专业委员会青年委员

  • 广西抗癌协会常务理事

  • 广西抗癌协会化疗专业委员会常务委员

  • 广西临床肿瘤学会乳腺癌专业委员会常委

  • 广西临床肿瘤学会支持与康复治疗专业委员会常委

  • 广西抗癌协会神经内分泌肿瘤专业委员会常委

  • 广西抗癌协会肿瘤免疫专业委员会青委会常委

  • 柳州市日间医疗管理质控中心主任委员


党翠 主治医师

柳州市人民医院
  • 肿瘤科主治医师

  • 广西医科大学硕士毕业


参考文献:

[1] Shi Y, Chen J, Yang R, et al. Iruplinalkib (WX-0593) Versus Crizotinib in ALK TKI-Naive Locally Advanced or Metastatic ALK-Positive NSCLC: Interim Analysis of a Randomized, Open-Label, Phase 3 Study (INSPIRE). J Thorac Oncol. 2024 Jun;19(6):912-927. 

[2] Losanno T, Gridelli C. First-Line Treatment of Metastatic Non-Small Cell Lung Cancer in the Elderly. Curr Oncol Rep. 2021 Aug 3;23(10):119. 

[3] 田攀文,李为民.老年非小细胞肺癌的靶向治疗[J].老年医学与保健, 2023, 29 (03):433-437.

[4] Lyman GH, Lyman CH, Agboola O. Risk models for predicting chemotherapy-induced neutropenia. Oncologist. 2005 Jun-Jul;10(6):427-37. 

[5] 唐东方,王菁,赵丽亭,等.老年肺癌靶向治疗的新进展[J].老年医学与保健, 2023,29(03):438-442.



200 评论

查看更多