查看更多
密码过期或已经不安全,请修改密码
修改密码
壹生身份认证协议书
同意
拒绝
同意
拒绝
同意
不同意并跳过
49岁的女性。健康体检行上消化道内镜检查,在胃窦底穹隆部发现了呈现5 mm大的树莓样(覆盆子)外观的隆起性病变,外观类似于腺窝上皮型增生性息肉。常规可见发现了类似于腺窝上皮型增生性息肉的外观。ME-NBI观察可见表面微结构是大小不同的乳头状结构,在开大的窝间部的内部发现了伴随着口径不同的扩张的微小血管。在活检组织病理观察结果中,显示轻度异型性的腺管结构,由于怀疑是早期胃癌,所以行ESD,是低异型度高分化型腺癌。免疫组化MUC5AC阳性,MUC6阴性,CD10阴性,MUC2阴性,诊断为腺窝上皮型胃癌。没有Hp杀菌史,根据各种检查结果判定为Hp未感染。

图1 常规观察:胃底穹隆部可见5mm大小的发红的山田Ⅲ型隆起性病变,与周围的边界清晰。喷洒靛胭脂后可见隆起的表面呈乳头状结构。

图2 ME-NBI表面微细结构是大小不同的类圆形~椭圆形的乳头状结构。在开大的窝间部的内部发现了伴随着口径不同的扩张的微血管。

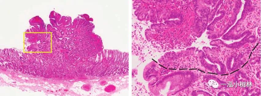
图3 活检病理:病变局限于黏膜内,没有发现向黏膜肌层的浸润和血管内浸润(HEx200黄框部)。肿瘤性的腺窝上皮和非肿瘤的界限用虚线表示。虚线下面是非肿瘤。在肿瘤部,伴随着核大和结构异型。

图4 免疫组化: MUC5AC阳性,MUC6阴性,MUC2阴性
讨论
Hp未感染胃癌,印戒细胞癌等未分化型胃癌和胃底腺型胃癌占大部分。其他还有腺窝上皮型胃癌,胃窦部的低异型度分化型腺癌,胃底腺息肉(FGP)癌变,食管胃接合部癌,家族性大肠腺瘤症(虽然有FAP并发的胃癌)等的报告。Yamada等人总结了关于Hp未感染胃癌16例的特征,分为未分化型、胃底腺型、腺窝上皮型。其中4例为腺窝上皮型胃癌,内镜的特征呈现与周围相同色调~白色色调的侧方发育型隆起性病变,在内镜窄带成像术(NBI)放大观察中,表面结构为乳头状、绒毛状。本病例根据病理组织学观察结果判定为胃型腺窝上皮型胃癌,与上述内镜观察结果不同。
鉴别诊断
本病需要与增生性息肉和FGP癌变鉴别。
首先,关于增生性息肉,一般Hp的感染比率较高,在Hp感染或既往感染的胃黏膜中发现。在NBI放大观察中,表面微细结构的腺窝边缘上皮呈弧状、线状形态,微血管结构由于窝间部上皮下的血管密度高,难以辨认,但是规则的扩张开放性环状微小血管。
其次,关于FGP,是发生在Hp阴性且没有萎缩的胃黏膜上的病变。一般认为癌变是非常罕见的。在FGP的癌变病例中,虽然在肿瘤的基底部发现了提示FGP的组织结构,但是在本病例中,由于在病变的基部没有发现提示FGP的观察结果,所以认为是与FGP无关的腺癌。由于本病例和FGP的癌变只有内镜观察结果,很难进行鉴别,有必要对包括病变深度在内的病理学进行评价。
总之,在Hp未感染胃黏膜中发现呈树莓样外观的隆起性病变时,考虑到腺窝上皮型胃癌的可能性,有必要进行进一步的详细检查。

作者:宁波市第四医院消化内科 一泓小树林
文章首发自一泓小树林公众号
查看更多