壹生大学

壹生身份认证协议书

本项目是由壹生提供的专业性学术分享,仅面向医疗卫生专业人士。我们将收集您是否是医疗卫生专业人士的信息,仅用于资格认证,不会用于其他用途。壹生作为平台及平台数据的运营者和负责方,负责平台和本专区及用户相关信息搜集和使用的合规和保护。
本协议书仅为了向您说明个人相关信息处理目的,向您单独征求的同意,您已签署的壹生平台《壹生用户服务协议》和《壹生隐私政策》,详见链接:
壹生用户服务协议:
https://apps.medtrib.cn/html/serviceAgreement.html
壹生隐私政策:
https://apps.medtrib.cn/html/p.html
如果您是医疗卫生专业人士,且点击了“同意”,表明您作为壹生的注册用户已授权壹生平台收集您是否是医疗卫生专业人士的信息,可以使用本项服务。
如果您不是医疗卫生专业人士或不同意本说明,请勿点击“同意”,因为本项服务仅面向医疗卫生人士,以及专业性、合规性要求等因素,您将无法使用本项服务。

同意

拒绝

同意

拒绝

知情同意书

同意

不同意并跳过

工作人员正在审核中,
请您耐心等待
审核未通过
重新提交
完善信息
{{ item.question }}
确定
收集问题
{{ item.question }}
确定
您已通过HCP身份认证和信息审核
(
5
s)

为生命加油丨临床治愈不是梦!一例广泛期小细胞肺癌患者一线免疫治疗PFS超5年!

2025-10-31作者:CMT-CC资讯

小细胞肺癌(SCLC)侵袭性强、预后差,过去30多年来,传统治疗手段的局限性使广大患者的生存预后难以实现突破。近年来,免疫治疗的快速发展为ES-SCLC患者带来了长生存甚至临床治愈的新希望。在此背景下,《中国医学论坛报》联合中国临床肿瘤学会(CSCO)小细胞肺癌专委会,特别发起“为生命加油”小细胞肺癌长生存优秀病例展播项目,旨在通过征集并展示接受免疫治疗的ES-SCLC长生存案例,为临床医生提供宝贵的参考,推动ES-SCLC一线治疗策略的不断优化和完善,助力我国肺癌诊疗事业高质量发展。


本期,我们分享一例66岁初诊为ES-SCLC患者的诊疗历程,经一线免疫联合化疗和免疫单药维持治疗,一线PFS满5年,至今仍持续缓解,生活质量良好,有力证实一线免疫治疗有望为ES-SCLC患者实现超长生存甚至临床治愈。


video


病例介绍


患者信息




一般情况:女性,初诊年龄66岁。


初诊信息:患者2020年8月无明显诱因下出现咳嗽,伴全身乏力。外院胸部CT提示:右肺下叶恶性肿瘤伴纵隔、右肺门及右锁骨下淋巴结转移,右肺肺内转移可能,右肺中叶不张。为进一步诊断治疗至我院,拟“右下肺癌”收入院。


既往史与个人史无殊。


辅助检查




2020-09-01 支气管镜:右肺中间段支气管、右肺中下叶支气管MT,(右肺中叶支气管,活检)刷片:见恶性肿瘤细胞,倾向小细胞癌。


2020-09-02 PET-CT:1、右下肺MT伴阻塞性肺不张,同侧肺门、纵膈、锁骨上淋巴结M,FDG高代谢;右肺内M可能;全身多发骨M;右侧胸膜M可能;2、左肾可疑略低密度灶,FDG代谢略高,均请密切随访。3.左侧上颌窦慢性炎症;左肺炎症;肝、左肾囊肿,贲门、十二指肠球部炎症可能。


2020-09-02 颅脑CT:颅内目前未见异常,随访或结合MRI。


2020-09-10右锁骨上肿块细针穿刺细胞学:见小圆形恶性肿瘤细胞伴坏死,小细胞肺癌可能。



2020-09-10肿瘤标志物:PROGRP:3856.00pg/ml,NSE:63.80ng/ml。


诊断




右肺小细胞肺癌伴全身多发转移(广泛期)


一线治疗





一、治疗方案:2020-09-10入组ASTRUM-005临床研究,接受PD-1抑制剂或安慰剂联合化疗,后PD-1抑制剂或安慰剂单药维持治疗,临床试验揭盲后患者为免疫治疗试验组。


具体用药:

1、2020-09-27~2020-12-02,予4周期斯鲁利单抗联合卡铂+依托泊苷治疗。

2、2020-12-23起予斯鲁利单抗维持治疗,出组临床研究后,继续使用免疫单药维持至今。


疗效评估:

1、治疗2、4、6周期后疗效评估均为PR,后长期随访中患者病情稳定,未见疾病进展。


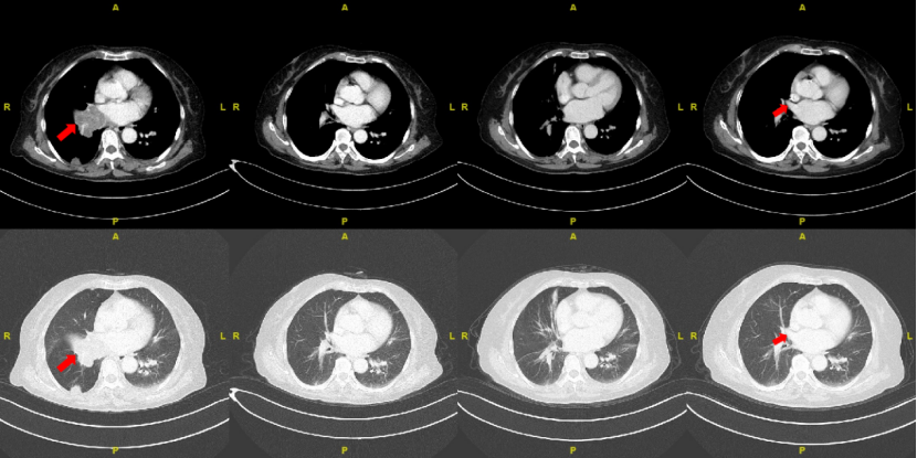
image.png

原发灶胸部CT结果对比图(基线、2周期后、4周期后、6周期后)


2、患者2025-07-30复查PET/CT:对比前片:右下肺MT治疗后,右肺病灶较前退缩,仅局部FDG代谢增高,密切随访;右侧肺门、纵隔、锁骨上转移淋巴结较前明显退缩,右肺内转移灶较前消退,全身多发骨转移较前好转,右侧胸膜转移较前消退,均未见FDG代谢增高。疗效评估为持续PR。


image.png

image.png

PET-CT结果对比图(基线、2025-07-30)



二、安全性评估:总体安全性良好,未见明显免疫治疗相关不良反应。



三、随访:末次随访时间为2025年10月,患者体能状态良好,总体疗效评估PR,PFS超5年。


诊治体会


图片4.png

王博妍 医生

复旦大学上海医学院肿瘤学博士

复旦大学附属肿瘤医院放射治疗中心主治医师

上海市抗癌协会放疗专委会青委

上海市女医师协会肺癌专委会委员


作为临床主管医师,回顾这66岁女性受试者临床试验历程,我清晰地感受到了免疫检查点抑制剂在ES-SCLC一线治疗中的生存获益优势和临床应用价值。患者初诊时考虑肺癌伴全身多发转移,经病理检查明确为SCLC传统治疗手段预后不佳。然而,通过入组参与ASTRUM-005临床研究,患者取得了令人瞩目的疗效。


在治疗过程中,我们密切关注患者的病情变化和治疗相关不良反应。从免疫治疗疗效来看,短期内(2疗程后)患者就实现了PR,更在长达近5年的随访中仍持续PR。如今,患者PFS已满5年,这在ES-SCLC一线治疗中实属罕见,让我们对免疫检查点抑制剂的长生存优势有了更直观的体会。与此同时,我们始终关注患者治疗的安全性,在整个临床试验过程中,患者未出现明显的免疫治疗相关不良反应,生活质量得到了较好的保障,使得抗肿瘤治疗能全程顺利进行。


通过这个病例我们看到,对于既往预后极差的ES-SCLC来说,免疫治疗确实可以为部分患者实现持久且深度的肿瘤缓解,让“临床治愈”从愿景变成了触手可及的现实可能。


专家点评


图片2.png

樊旼 教授

主任医师、复旦大学肿瘤医院放疗中心副主任

复旦大学胸部肿瘤研究所副所长

中国医师协会肿瘤多学科诊疗专委会常务委员

中国抗癌协会(CACA)非小细胞肺癌专委会委员

中国临床肿瘤协会(CSCO)小细胞肺癌专委会委员

上海抗癌协会肺癌/转化医学/肿瘤相关肾脏病专委会副主任委员

上海研究型医院学会胸部肿瘤临床研究专委会副主任委员

上海抗癌协会放射肿瘤学/肿瘤免疫/脑转移瘤专委会常务委员/委员

上海市呼吸病研究所肺癌放射治疗研究室副主任

教育部新世纪优秀人才、上海优秀青年医学人才


ES-SCLC作为肺癌中侵袭性极强的亚型,既往面临着诸多治疗困境。传统化疗方案虽在短期内可取得一定疗效,但难以实现长期生存获益,患者5年生存率仅约7%[1-2]。回顾该患者诊疗历程,2020年9月,患者首次确诊为ES-SCLC。结合《中国临床肿瘤学会(CSCO)小细胞肺癌诊疗指南(2020版)》[3]推荐指导意见,免疫联合化疗彼时已成为一线标准治疗方案。然而结合患者及其家庭经济情况,综合考虑后,入组了创新型PD-1抑制剂的Ⅲ期临床研究。


研究揭盲后,患者为斯鲁利单抗联合化疗组受试者。在随访过程中,患者不仅在2疗程后即实现了PR,并取得了PFS满5年的长生存获益,这与ASTRUM-0005研究在今年ASCO年会中公布21.9%的4年OS率[4]相呼应,生动体现了免疫治疗可能为部分患者带来令人鼓舞的长生存获益。另一方面,患者临床研究期间耐受性良好,整体安全性可控。可以说,该受试者一线治疗满5年的PFS不仅为广大ES-SCLC患者点亮了长生存甚至临床治愈的希望之光,也为临床医生在一线治疗中应用免疫联合策略注入了更多信心。


展望未来,随着医学科技的不断进步,ES-SCLC的治疗也必将迎来更多新机遇,包括免疫治疗优势人群的精准识别和个体化治疗、不断涌现的新型抗肿瘤药物和新兴疗法等等。期待未来更多高质量研究成果的公布,持续推动ES-SCLC患者向更长生存结局迈进。


参考文献

1、Rudin CM, et al. Nat Rev Dis Primers. 2021;7(1):3. Published 2021 Jan 14.

2、Kim SY,et al. JAMA. 2025;333(21):1906-1917.

3、中国临床肿瘤学会指南工作委员会. 中国临床肿瘤学会(CSCO)小细胞肺癌诊疗指南(2020)

4、2025 ASCO,Poster Bd 214.




本文由樊旼教授、王博妍医师审校



200 评论

查看更多