壹生大学

壹生身份认证协议书

本项目是由壹生提供的专业性学术分享,仅面向医疗卫生专业人士。我们将收集您是否是医疗卫生专业人士的信息,仅用于资格认证,不会用于其他用途。壹生作为平台及平台数据的运营者和负责方,负责平台和本专区及用户相关信息搜集和使用的合规和保护。
本协议书仅为了向您说明个人相关信息处理目的,向您单独征求的同意,您已签署的壹生平台《壹生用户服务协议》和《壹生隐私政策》,详见链接:
壹生用户服务协议:
https://apps.medtrib.cn/html/serviceAgreement.html
壹生隐私政策:
https://apps.medtrib.cn/html/p.html
如果您是医疗卫生专业人士,且点击了“同意”,表明您作为壹生的注册用户已授权壹生平台收集您是否是医疗卫生专业人士的信息,可以使用本项服务。
如果您不是医疗卫生专业人士或不同意本说明,请勿点击“同意”,因为本项服务仅面向医疗卫生人士,以及专业性、合规性要求等因素,您将无法使用本项服务。

同意

拒绝

同意

拒绝

知情同意书

同意

不同意并跳过

工作人员正在审核中,
请您耐心等待
审核未通过
重新提交
完善信息
{{ item.question }}
确定
收集问题
{{ item.question }}
确定
您已通过HCP身份认证和信息审核
(
5
s)

癌痛微创介入止痛治疗丨“国家队”带你学癌痛规范化全程管理

2025-10-22作者:论坛报岳岳资讯
原创

image.png

癌痛是肿瘤患者最常见的症状之一,约70%~90%的晚期肿瘤患者会经历中重度疼痛,严重影响其生活质量、治疗依从性和生存期。近年来,国内外癌痛诊疗指南不断更新,强调了早期干预、综合治疗和全程管理的重要性。但基层医生对癌痛管理的最新进展了解有限,临床实践与指南之间存在差距,同时还存在疼痛评估不规范、不良反应管理意识薄弱等问题,导致部分患者疼痛控制不理想。


为提升广大医生对癌痛规范化诊疗的认识和实践能力,中国医学论坛报社特别邀请国家肿瘤临床医学研究中心、天津医科大学肿瘤医院疼痛治疗科刘东颖教授团队,在2025年中国镇痛周之际,推出以“癌痛规范化全程管理”为主题的体系化专题活动。围绕癌痛发生机制、药物治疗、非药物治疗、不良反应管理、特殊人群处理等核心内容,结合典型病例,为医生提供系统、实用、前沿的知识体系,助力提升我国癌痛诊疗整体水平。

癌痛的微创介入止痛治疗

——癌痛治疗的“第四阶梯


作者:天津医科大学肿瘤医院疼痛治疗科 郝建磊


阅读要点:

癌痛严重影响患者生活质量和治疗效果,尽管WHO三阶梯止痛方案广泛应用,但仍有10%-20%患者属于难治性癌痛,药物治疗效果不佳。近年来,微创介入治疗作为癌痛管理的“第四阶梯”,为难治性癌痛提供了有效解决方案。


常用技术包括患者自控镇痛泵、神经毁损术、经皮椎体成形术、放射性粒子植入术和鞘内药物输注系统等。


文中通过多个临床案例展示了这些方法在快速缓解疼痛、减少阿片类药物使用、改善患者活动能力和生活质量方面的显著效果。介入治疗具有精准、微创、副作用少等优势,可与其他治疗结合形成多模式镇痛策略,未来应进一步推广个体化应用。



一、癌痛管理的挑战与介入治疗的角色


癌痛严重影响患者的生活质量和治疗效果。尽管WHO三阶梯止痛方案在癌痛管理中发挥了重要作用,但仍有10%-20%的患者无法通过该方案获得满意的疼痛控制。这部分患者属于难治性癌痛的范畴。近年来,各种微创介入治疗技术的开展为难治性癌痛的治疗提供了一种有效的解决方案,常用的技术包括患者自控镇痛泵技术、神经毁损术、经皮椎体成形术、放射性粒子植入术和鞘内药物输注系统植入术等等。


二、主要微创介入技术及临床应用案例



01
经皮椎体成形术


《难治性癌痛专家共识》指出,椎体成形术和椎体后凸成形术在缓解由椎体压缩性骨折引起的疼痛方面具有显著效果。不仅可以快速缓解疼痛,还能改善患者的活动能力和生活质量。

案例1:

椎体压缩性骨折引起的腰痛患者,女性,66岁,因肺癌骨转移导致胸12椎体压缩性骨折,疼痛剧烈,翻身困难,无法下床活动。口服吗啡缓释片180 mg,q12h,口服吗啡恶心、便秘副反应明显,因咳血不宜加用非甾体消炎药。经过评估,决定采用椎体成形术。在局部麻醉下,通过经皮穿刺将骨水泥注入受损椎体。术后,患者的疼痛NRS评分从9分降至2分,第二天即可下床活动,生活质量得到显著改善(图1)。

1A

1B

图1:1A胸12椎体破坏,1B胸12椎体破坏被骨水泥填充


02
腹腔神经丛毁损术


腹腔神经丛毁损术常被应用在胰腺癌或胃癌、肝癌、食管癌等上腹部肿瘤所导致的疼痛或其他恶性肿瘤腹膜后转移导致的疼痛。

案例2:

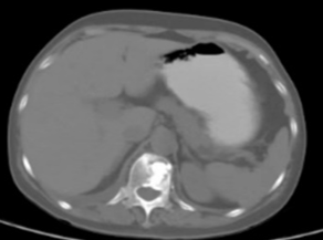
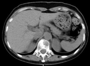
胰腺癌引起的腹痛患者,男性,65岁,确诊为晚期胰腺癌,疼痛剧烈,体位受影响,喜欢呈大虾一样蜷缩状,影响睡眠和日常活动。尽管使用了阿片类药物,但疼痛控制仍不理想。给予CT引导下腹腔神经丛神经毁损术后,患者的疼痛评分从8分降至3分,阿片类药物的使用量减少50%,生活质量显著提高(图2)。


图2:CT引导下腹腔神经丛毁损术


03
肋间神经毁损术


肋间神经毁损术常用于恶性肿瘤浸润或治疗引起的难治性肋间神经病理性疼痛。

案例3:

男性,55岁,因肺癌侵犯肋间神经,导致剧烈的神经病理性疼痛。在超声引导下行肋间神经射频热凝术,术后患者的疼痛评分从7分降至2分,阿片类药物的使用量减少了70%,生活质量显著提高。


04
放射性粒子植入术


放射性粒子植入术的常用于:肿瘤浸润神经干/丛导致的疼痛或功能损伤;溶骨性骨转移导致疼痛;肌肉、软组织或淋巴结转移导致疼痛。

案例4:

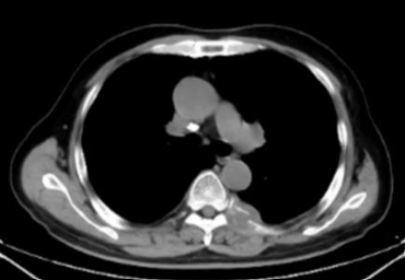
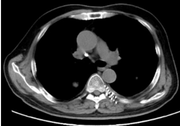
患者左侧精索平滑肌肉瘤术后,肺转移、胸椎旁转移。CT示第7胸椎左侧附件破坏伴周围软组织肿物,考虑转移。左侧胸背部持续性放电样疼痛,向左前胸壁放射,体位受限,不能左侧卧位,并伴有因体位改变诱发疼痛加重,属于骨转移性癌痛合并癌性神经病理性疼痛。硫酸吗啡缓释片60 mg q12h按时服用及吗啡片20 mg/次处理爆发痛,NRS:6-8分。胸椎局部压痛、叩击痛阳性。癌性神经病理性疼痛单纯阿片药物治疗不满意,根据NCCN成人癌痛治疗指南,神经病理性疼痛可试用抗抑郁药和/或试用抗惊厥药,对于顽固性疼痛,考虑采用介入治疗。


本例患者采用阿片药物+抗惊厥药联合治疗后,疼痛减轻,但出现谵妄不良反应。谵妄是以认知功能损害和意识水平下降为特征的脑器质性综合征,也是晚期癌症患者最常见的精神障碍之一。在应用阿片药物治疗癌痛时出现谵妄症状,及时应用抗精神异常药物处理谵妄症状,对于引起疼痛的肋骨根部转移病灶,采用碘125粒子植入术,术后肿瘤缩小,疼痛缓解,停用阿片药物,治疗效果显著(图3)。


3A

3B

图3:3A左侧第7后肋及左附件破坏伴周围软组织肿物,3B放射性粒子治疗后2个月左7肋根肿物较前缩小


05
自控镇痛泵技术(PCA)


PCA常被应用在癌痛患者阿片类药物的剂量滴定;爆发痛频繁的癌痛患者;存在吞咽困难或胃肠道功能障碍的癌痛患者;临终患者的镇痛治疗。

案例5:

患者女性,60岁,诊断为右肺癌胸壁转移,右侧胸壁持续性疼痛1周,NRS评分7分,既往未应用阿片类药物。PCA方案及治疗经过:①给予吗啡PCSA给药,参数设置如下:负荷剂量为0,背景剂量为0,Bolus剂量=5 mg,锁定时间=20 min,每小时最大剂量=15 mg;24h内患者按压PCA 4次,有效按压4次,疼痛NRS评分2-3分,无不良反应。②第二天,计算前24h PCA吗啡总剂量为5 mg×4=20 mg,换算为口服吗啡MED为20 mg×3=60 mg,则给予口服吗啡缓释片30 mg q12h,PCA单次按压有效剂量不变;③ 第3天,评估患者前24h按压PCA 1次,有效1次,疼痛NRS评分 1-2分,无不良反应;因24h按压1次,有效,滴定结束,停用PCA,继续口服吗啡缓释片剂量30 mg q12h,同时备用速效吗啡片10 mg/次处理爆发痛。


06
鞘内药物输注系统植入术


鞘内药物输注系统植入术常用于采用多模式治疗方法后癌痛未得到充分控制者;接受阿片类药物等治疗虽有效,但无法耐受其不良反应者;自愿首选IDDS植入术治疗的癌痛患者。

案例6:

女性,33岁,晚期宫颈癌,剧烈腹痛,临终阶段,口服硫酸吗啡缓释片480 mg,q12h,仍剧烈疼痛,每天注射吗啡针5-6针,行鞘内吗啡泵注入术后不再口服吗啡,疼痛控制良好,实现了和亲人出去旅游的愿望,治疗2月后安详无痛去世。


三、介入治疗的优势与未来展望


介入治疗在癌痛管理中具有重要的地位,优势在于其精准性和微创性,能够直接作用于疼痛源,减少对周围正常组织的损伤,同时降低药物治疗的副作用。此外,介入治疗还可以与其他治疗方法联合使用,例如,结合药物治疗、物理治疗和心理治疗,形成多模式镇痛策略,能够为患者提供更全面的疼痛管理。在临床实践中,介入治疗的选择需根据患者的具体情况进行个体化评估,包括疼痛部位、疼痛类型、患者预期生存期等因素。在未来的癌痛管理中,应进一步推广和应用介入治疗,为患者提供更加个性化和全面的疼痛管理方案。



牵头专家


刘东颖 教授
天津医科大学肿瘤医院

疼痛治疗科,主任医师,博士,硕导

中国抗癌协会·老年肿瘤专委会副主委

中国抗癌协会·安宁疗护社会支持专委会副主委 

中国老年医学学会·舒缓医学分会常委

CSCO·中西医结合专家委员常委 

中国中西医结合学会·营养专委会常委 

中国抗癌协会·肿瘤心理学专委会常委

中国抗癌协会·肿瘤整体评估专委会常委 

国家卫健委能建中心·安宁疗护提升项目专家组委员

天津市抗癌协会·营养与支持治疗专委会主委

天津市抗癌协会·第二届癌症康复与姑息治疗专委会主委 

天津市抗癌协会·肿瘤传统医学专委会副主委   

天津市抗癌协会·肿瘤心理专委会副主委

天津市中西医结合学会·临床营养专委会常委

天津市中医药学会·综合医院中医药工作专委会常委


本文作者


郝建磊
天津医科大学肿瘤医院

疼痛治疗科 主治医师

天津市抗癌协会安宁疗护专业委员会 秘书

天津市抗癌协会肿瘤传统医学专业委员会 委员

天津整合医学会肝转移瘤诊疗专委会 委员

自2010年开始从事肿瘤患者疼痛治疗工作,对于肿瘤患者的癌痛治疗、症状控制以及姑息治疗有较丰富的临床经验。目前能够熟练掌握腹腔神经丛毁损术、椎体成形术、神经阻滞、PCA等疼痛科常用技术。


团队介绍


天津医科大学肿瘤医院疼痛治疗科

天津医科大学肿瘤医院疼痛治疗科是国内癌痛管理领域的标杆科室,致力于为肿瘤患者提供全面、精准、人性化的疼痛管理服务。科室拥有卓越的医疗技术、先进的治疗理念和专业的医护团队,坚持以患者为中心,提供“全方位、全周期”的无痛诊疗服务。


科室成立于1994年,其前身“除痛门诊”是国内最早开展癌痛居家治疗模式的科室之一。经过30多年的发展,科室已成为集医疗、教学、科研为一体的综合性癌痛治疗中心。科室以“姑息治疗为主线、癌痛病因治疗和症状控制为重点、营养和心理支持为特色”,形成了多学科协作的治疗模式,涵盖肿瘤疼痛患者的筛查和咨询、病因治疗(化疗、靶向、免疫、放疗等)、镇痛药物治疗、微创介入治疗、营养评估和干预、心理评估与干预以及症状管理(恶性胸腹水、肠梗阻等)多个方面。科室门诊量达20000余人次/年,住院人数达2000余人次/年。


科室现有医生9名,其中高级职称4名,博士学历6人,硕士研究生导师2人。团队成员在癌痛管理领域积累了丰富的临床经验,同时也是中国抗癌协会癌症康复与姑息治疗专业委员会副主任委员、中华医学会疼痛学分会难治性癌痛学组组长、天津市癌症康复与姑息治疗专业委员会主任委员、天津市抗癌协会肿瘤支持治疗专业委员会主任委员、天津市抗癌协会安宁疗护专业委员会主任委员以及天津市麻醉与镇痛专业委员会主任委员等挂靠单位。


科室在微创介入镇痛方面技术精湛,目前已常规开展的项目包括患者自控镇痛技术(PCA泵)、神经毁损术、射频热凝术、碘125粒子植入术、经皮椎体成形术、鞘内药物输注泵植入术等。这些技术广泛应用于各种肿瘤术后疼痛综合征、骨转移疼痛、胰腺癌、胃癌等腹膜后转移导致的上腹部疼痛,以及盆腔肿瘤导致的会阴部疼痛等疾病的治疗中,为患者提供了多样化的治疗选择。


科室是国家卫生健康委首批“癌性疼痛规范化治疗(GPM)示范病房”、中国抗癌协会“CPAI疼痛管理学院临床教育基地”、“难治性癌痛规范化治疗示范基地”、“癌痛规范化能力提升医联体核心单位”和“县域医疗卫生机构癌痛全程管理精准能力提升项目培训基地”。


科室还承担着重要的科研任务,近5年主持国家自然科学基金3项,省部级课题2项,局院级课题8项,累计科研经费超过300万元;发表高水平SCI收录论文30余篇;主编或副主编撰写《难治性癌痛专家共识》《难治性癌痛诊断与治疗》《临床癌症疼痛治疗学》《疼痛病学诊疗手册:癌性疼痛分册》《中国肿瘤整合诊治技术指南(CACA)—老年保护》;牵头编写《患者自控镇痛治疗癌痛专家共识》、《癌性爆发痛专家共识》。


此外,科室还承担带教职责,为全国多家肿瘤专科医院及大型综合医院培养了50余名癌痛专科医师、药师和护师,为推动国内癌痛规范化治疗做出了重要贡献。


200 评论

查看更多