查看更多
密码过期或已经不安全,请修改密码
修改密码
壹生身份认证协议书
同意
拒绝
同意
拒绝
同意
不同意并跳过

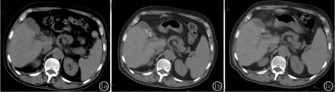
图1 男84岁。因创伤性蛛网膜下腔出血合并多发肋骨骨折。图1a 患者应用头孢曲松钠前胆囊内未发现结石。图1b 用药后( 10天) 胆囊内出现团块状高密度结石影。图1c 患者停用头孢曲松钠15 天后发现结石形态松散变淡。

图2 男54岁。因急性中型颅脑损伤合并多发肋骨骨折入院。图2a 患者应用头孢曲松钠前胆囊内未发现结石。图2b 用药后( 4 天) 胆囊内出现泥沙样高密度结石影。图2c 患者停用头孢曲松钠13 天后发现结石缩小。
作者:浙江中医药大学附属宁波中医院 陈刚
文章节选自《外伤后应用头孢曲松钠所致胆囊假性结石的临床及CT表现》
查看更多