壹生大学

壹生身份认证协议书

本项目是由壹生提供的专业性学术分享,仅面向医疗卫生专业人士。我们将收集您是否是医疗卫生专业人士的信息,仅用于资格认证,不会用于其他用途。壹生作为平台及平台数据的运营者和负责方,负责平台和本专区及用户相关信息搜集和使用的合规和保护。
本协议书仅为了向您说明个人相关信息处理目的,向您单独征求的同意,您已签署的壹生平台《壹生用户服务协议》和《壹生隐私政策》,详见链接:
壹生用户服务协议:
https://apps.medtrib.cn/html/serviceAgreement.html
壹生隐私政策:
https://apps.medtrib.cn/html/p.html
如果您是医疗卫生专业人士,且点击了“同意”,表明您作为壹生的注册用户已授权壹生平台收集您是否是医疗卫生专业人士的信息,可以使用本项服务。
如果您不是医疗卫生专业人士或不同意本说明,请勿点击“同意”,因为本项服务仅面向医疗卫生人士,以及专业性、合规性要求等因素,您将无法使用本项服务。

同意

拒绝

同意

拒绝

知情同意书

同意

不同意并跳过

工作人员正在审核中,
请您耐心等待
审核未通过
重新提交
完善信息
{{ item.question }}
确定
收集问题
{{ item.question }}
确定
您已通过HCP身份认证和信息审核
(
5
s)

眼肾同病,多学科诊疗破迷局丨中山医院肾内科成功诊治一例TINU综合征患者

2026-01-07作者:壹声资讯
非原创

作者:复旦大学附属中山医院 杨炎 石一沁

指导专家:复旦大学附属中山医院 丁小强教授


眼肾同病

多学科诊疗破迷局




复旦大学附属中山医院肾内科联合眼科、妇科,成功诊治一例罕见病——肾小管间质性肾炎-葡萄膜炎(TINU)综合征的年轻女性患者。通过多学科协作与个体化治疗,患者蛋白尿消失,眼部症状缓解,目前已停用激素,未复发。



从蛋白尿到眼痛

罕见病的识别之路


患者为24岁女性,因“蛋白尿”入院。尿检还提示存在肾小管功能损伤,尿涂片找见真菌孢子。住院期间,患者出现眼痛、视物模糊,追问病史有反复眼红、眼痛史,曾被诊断为“结膜干燥”。


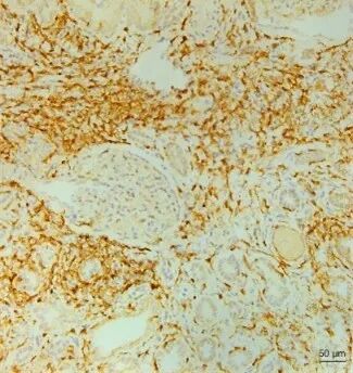
中山医院肾内科团队为患者行肾穿刺活检,结果显示肾小管间质病变重度,间质弥漫大量淋巴细胞浸润,正常小管结构毁损,符合急性间质性肾炎(AIN)。眼科检查发现右眼角膜后沉积物,考虑葡萄膜炎。



图片
图片
图片


向右滑动查看图片


团队进一步完善人类白细胞抗原(HLA)分型,结果显示患者等位高风险基因为HLA-DQA1 0104,与文献报道的TINU综合征相关HLA单倍型一致。最终明确诊断为TINU综合征


双管齐下

口服糖皮质激素联合局部用药


TINU综合征是一种罕见的自身免疫性疾病,肾脏与眼部病变常不同步,缺乏特异的实验室检查,极易漏诊和误诊。团队制定了口服糖皮质激素联合局部典必殊滴眼液的个体化方案。


同时,患者无真菌性尿路感染的常见诱因,团队敏锐地察觉到其可能合并真菌性阴道炎,妇科会诊完善检查示白带霉菌(+)。给予针对性抗感染治疗,为糖皮质激素治疗的安全性提供保障。


治疗期间,患者蛋白尿转阴,葡萄膜炎症状好转。糖皮质激素在治疗24周后减停,目前未再复发。


诊疗亮点

多学科合作与全程管理





多学科联合诊断

肾内科、眼科、妇科协同,全面评估肾脏、眼及泌尿生殖道病变;


个体化治疗

全身激素与局部用药结合,逐步减量,减少不良反应与复发风险;


全程随访管理

定期监测肾功能、尿常规及眼部情况,确保治疗安全有效。




本例罕见病的成功诊治,体现了中山医院肾内科在多学科协作与罕见病管理方面的综合实力。团队将继续深化多学科协作模式,推动罕见肾病的早诊早治,为患者提供优质、精准的医疗服务。




参考文献:杨炎,周彦萍,金是,等. 肾小管间质性肾炎-葡萄膜炎综合征的多学科团队协作诊治一例 [J]. 上海医学, 2024, 47 (09): 546-549. DOI:10.19842/j.cnki.issn.0253-9934.2024.09.006.


来源:复旦大学附属中山医院肾内科

200 评论

查看更多