查看更多
密码过期或已经不安全,请修改密码
修改密码
壹生身份认证协议书
同意
拒绝
同意
拒绝
同意
不同意并跳过
过去的一个多月,65岁的张阿姨(化名)的生活过得惊心动魄、心情一波三折。
她怎么也没有想到,只是有点肚子痛、胃口差,竟然被查出来癌症?
1月前,张阿姨出现了“肚子痛,胃口差”的症状,去了当地医院检查,发现胰尾部巨大囊性肿瘤,有癌变可能。
她回忆了一下,1年前确实体检发现了“胰腺水泡”,难道癌变了?
带着不安和疑问,张阿姨在家人的陪同下来到浙江大学医学院附属邵逸夫医院普外科曹利平教授的门诊。
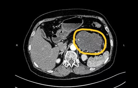
曹教授仔细看过片子后告诉他们:“胰腺体尾部肿瘤比较大了,大概有拳头那么大。内部能够看到一些分隔和钙化,中间的胰管显示不清楚。初步考虑IPMN的可能性大。”
“IPMN是什么?”庄女士和家人一脸疑惑。
曹教授耐心解释道:“这是胰腺某种肿瘤性囊肿的简称,全名应该是胰腺导管内乳头状黏液瘤。您的肿瘤很大,从片子上看,也不排除伴有恶变的可能。”

第二天,张阿姨住进了邵逸夫医院,主管医师丁国平主任医师为张阿姨进行了详细的术前检查,仔细评估后,医生认为张阿姨虽然肿瘤较大,幸运的是并未侵犯腹腔干等重要血管,还可以在腹腔镜下微创切除。
随后,曹利平教授、丁国平主任医师团队为张阿姨进行了腹腔镜下胰体尾联合脾脏切除手术,手术很顺利,术后1周张阿姨就出院了。
前几天回来复查,张阿姨开心地走进曹利平教授的诊室,告诉曹教授她现在肚子痛和胃口都好了,已经可以正常参加运动了。
曹教授告诉张阿姨,根据手术后的切片病理报告,她得的是一种叫导管内乳头状黏液性肿瘤的胰腺囊肿性疾病,目前确实已经有局部癌变了。但幸运的是癌变还是早期的,T1期,也没有淋巴结的转移,下一步建议在肿瘤内科密切随访观察和治疗。

胰腺囊性疾病
胰腺内存在的含有囊液的包块。
分类
主要分非肿瘤性胰腺囊肿和肿瘤性胰腺囊肿。其中非肿瘤性胰腺囊肿中最常见的是胰腺假性囊肿,而肿瘤性囊肿中主要包括浆液性囊性肿瘤、黏液性囊性肿瘤、胰腺导管内乳头状黏液瘤和实性假乳头状瘤。
症状
多数患者没有症状,常因体检等偶然因素而发现。常见症状包括上腹痛、餐后饱胀感、恶心、呕吐、腹泻、脂肪泻、体重减轻等。
如何诊断
在完善病史及相关体格检查的基础上,结合囊液分析和影像学检查(如CT、MRI、超声内镜和ERCP)进行诊断。
胰腺囊性肿瘤具有潜在恶性可能
曹教授介绍说,随着体检的普及,目前有越来越多的人在体检中发现胰腺囊性肿瘤。
有的人认为自己的“囊肿”就像“肝囊肿”和“肾囊肿”一样,不过就是个小水泡,没有重视,也没有进行后续的随访。
而有的人觉得“胰腺囊肿”就是“胰腺癌”了,为此而焦灼,寝食不安。
很多患者都对胰腺囊性肿瘤不了解,常把胰腺囊性肿瘤等同于“肝囊肿”和“肾囊肿”等疾病,甚至一些医院的医生也对胰腺囊性肿瘤也缺乏治疗经验。
但实际上,胰腺囊肿肿瘤和肝囊肿完全不同,是一类具有潜在恶性可能的肿瘤。
张阿姨的情况就是属于前一种情况,其实很早之前就发现有胰腺囊性肿瘤了,但早期并没有非常重视。
当她出现“腹痛,胃口差”来医院看了以后,才发现胰腺肿瘤已经长到拳头大小了,并且局部已经癌变,若再延迟3个月或半年来就诊,后果可能不堪设想。
体检发现胰腺囊性肿瘤如何处理?
胰腺囊性肿瘤有很多种,并非所有的胰腺囊性肿瘤需要手术治疗。
重要的是通过磁共振、超声内镜等鉴别肿瘤的性质,有潜在恶性可能的肿瘤才需要尽早手术,若短期内肿瘤增大明显,可能也需要手术治疗。
浆液性囊性肿瘤多为良性,恶变风险极低,一般随访观察即可。
黏液性囊性肿瘤被认为是癌前病变,一般建议手术切除。
胰腺导管内乳头状黏液瘤(IPMN)根据胰管的累及范围分型,需根据具体分型,及危险因素决定治疗方式。
实性假乳头状瘤恶性潜能较低,且整体预后良好。国内外指南建议所有实性假乳头状瘤均应行根治性切除手术。
像张阿姨这种叫导管内乳头状黏液性肿瘤的,简称IPMN,增大以后应该尽早手术切除。
得了胰腺囊性肿瘤也不需要太过担心,目前大部分的胰腺囊性肿瘤还是良性的,像张阿姨这样恶变的还是少数。
曹教授介绍,目前邵逸夫医院开展腹腔镜下胰腺囊性肿瘤的局部切除手术,创伤小,恢复快,对胰腺和胃肠道功能基本没有什么影响。即使像张阿姨这样“巨大”的肿瘤,还是可以进行腹腔镜下的手术,术后可以快速康复。我们还进行了胰管修复外科的研究,有些囊肿可能与胰管靠得很近,可以通过术前或中置入胰管支架来保护胰管,预防术后胰瘘的发生。
作者:普外科
来源:邵逸夫医院
查看更多