查看更多
密码过期或已经不安全,请修改密码
修改密码
壹生身份认证协议书
同意
拒绝
同意
拒绝
同意
不同意并跳过
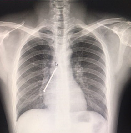
一根长达8公分的铁钉扎进气管里,这样凶险的案例就前发生在王明(化名)身上。近日,王明在南方医院呼吸与重症医学中心将铁钉取出。
打赌不慎吞下铁钉多地就诊无法取出
两周前,王明在和朋友打赌时不慎将一枚生锈的铁钉吞下,随后出现了剧烈的干咳、胸痛、气促。在当地多家医院就诊,都无法取出,很多医生都建议手术开胸取钉。直至6月28日下午王明在姐姐的陪同下来到南方医院呼吸与危重症医学科就诊,接诊的佟万成主任医师看到王明的胸片后意识到情况非常危险,立马安排患者迅速完成必要的术前检查,并联系呼吸内镜中心为患者开通绿色通道。
呼吸内镜下1分钟取出8公分铁钉
经过该科室蔡绍曦主任、佟万成主任医师、刘来昱主任医师的研究,发现患者右下肺异常高密度铁钉样阴影,较前并没有明显的变化,担心铁钉已经扎透气管壁,于是讨论制定了三套治疗预案,如有意外随时做好急诊开胸手术的准备。经过一系列准备后,刘来昱主任医师为王明实施了经气管镜异物取出术。
据其介绍,当气管镜轻柔进入后,镜下仔细观察了铁钉的情况,发现铁钉未穿透支气管管壁,于是立即选择第二套预案:为了避免钉子出声门时反复碰撞而再次脱落,使用圈套器将铁钉牢牢套住后轻轻的缓慢拖出体外。据了解,从气管镜进入声门到取出铁钉,仅花时1分钟时间。手术过程顺利,没有发生出血、窒息、气管穿孔断裂等并发症,迅速为病患解除了痛苦,避免了开胸手术的巨大创伤。

患者胸片中铁钉样阴影清晰可见
出现异物误入气管应立即就诊
据蔡绍曦主任介绍,气管异物为呼吸科常见急症,这种情况多见于老年人、小孩和意识不清者,严重者可导致窒息,危及生命。异物种类以骨头、花生米为最多,很多病人还被误诊多年。她指出,近年来南方医院呼吸与危重症医学科还取出过刀片、滚珠、针头、瓶盖、圆珠笔帽等各种奇奇怪怪的气管异物。1分钟取出8公分铁钉体现了南方医院精湛的呼吸内镜介入技术。另外,她提醒喜欢寻求刺激或“爱凑热闹”的年轻人,要珍惜生命,不要为一时之快而后悔终生,如果出现异物误入气管应立即就诊,不要耽误病情。

患者体内取出的铁钉长达8公分
(李晓姗)
查看更多