200
评论
查看更多
密码过期或已经不安全,请修改密码
修改密码
壹生身份认证协议书
同意
拒绝
同意
拒绝
同意
不同意并跳过
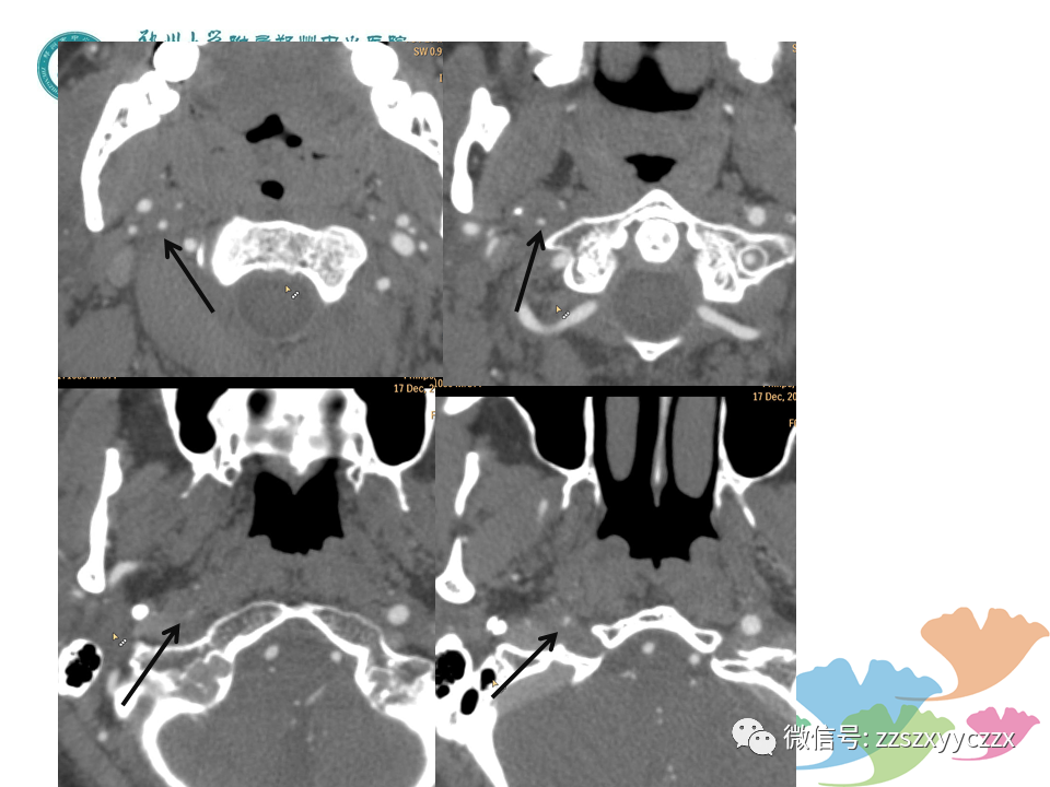
按摩、外伤及不良姿势等是CAD常见原因;本文通过3个病例阐述了颈动脉夹层的超声诊断,也对1例主动脉缩窄的超声学、CTA进行了描述,和大家分享。












































































作者:超声医学科姚俊芳
来源:郑州市中心医院卒中中心
转载已获授权,其他账号转载请联系原账号
查看更多