200
评论
查看更多
密码过期或已经不安全,请修改密码
修改密码
壹生身份认证协议书
同意
拒绝
同意
拒绝
同意
不同意并跳过
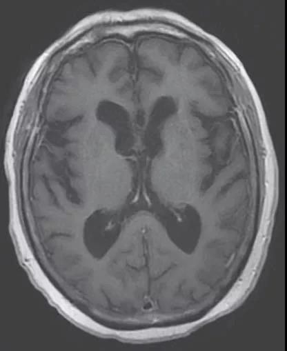
70岁,男性。长期情绪低落,步态不稳,尿失禁。该患者的MRI如下:




因为怀疑正压性脑积水,随后行腰穿脑脊液放液试验,下面的视频是腰穿脑脊液放液前后患者的变化:
因为放液试验有效,随后进行了脑室分流手术,手术后症状明显改善。
译者注:这种片子在临床上很常见,但是很容易忽视正压性脑积水的诊断。腰穿放液试验是一个可行的方法。
来源:脑血管病及重症文献导读(作者:杨中华)
转载已获授权,其他账号转载请联系原账号
查看更多