查看更多
密码过期或已经不安全,请修改密码
修改密码
壹生身份认证协议书
同意
拒绝
同意
拒绝
同意
不同意并跳过
病史摘要
年龄:64岁
性别:女
婚姻状况:已婚
生育状况:G1P1
主诉:乳腺癌术后9年,发现肺部占位一个月
现病史:患者9年前发现乳腺癌,于2008-12-16行右乳癌改良根治术,术后病理:肿物2.0cm,浸润性导管癌,可见神经侵犯,LN(11/49)+2枚癌结节, ER(弱阳+), PR(部分+), HER2(2+), pT1N3M0.术后行TE*8周期化疗,--放疗—来曲唑内分泌治疗,至2013年自行停药,2015年又恢复用药几个月,定期复查。一月前体检发现肺占位
既往史/家族史:无特殊病史/无肿瘤家族史
入院检查
体格检查:右胸壁及左乳未及肿物,双腋下未及肿大淋巴结。
实验室检查
CEA 3.69ng/ml
CA125 10.94U/ml
CA153 7.66U/ml
影像学检查
胸部CT:双肺小结节.
入院诊断
患者诊断:肺转移癌
乳腺癌术后(pT1N3M0),luminal A或B型
一线治疗:内分泌治疗
依西美坦口服
2017.05-2018.09 肺转移进展,骨转移,PFS=16个月
骨扫描:T2-11椎体多发高密度影,为新发病变,考虑转移
胸部CT:肺转移增大
二线治疗:TX方案的化疗
2018-11-06肺穿刺:乳腺癌肺转移,ER(弱阳+,5-10%), PR(-), HER2(2+),FISH(-),KI67(40%)
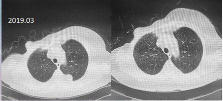
2018.11-2019.03二线治疗采用多西他赛+卡培他滨,判效SD
胸部CT:

三线治疗:内分泌治疗
氟维司群500mg+依维莫斯
2019.03-今,依维莫斯使用一个月后出现上肢水肿,停用.

病例总结
激素受体阳性病人存在长期复发的风险
内分泌治疗患者生活质量好
氟维斯群为患者提供更好的治疗选择
查看更多