壹生大学

壹生身份认证协议书

本项目是由壹生提供的专业性学术分享,仅面向医疗卫生专业人士。我们将收集您是否是医疗卫生专业人士的信息,仅用于资格认证,不会用于其他用途。壹生作为平台及平台数据的运营者和负责方,负责平台和本专区及用户相关信息搜集和使用的合规和保护。
本协议书仅为了向您说明个人相关信息处理目的,向您单独征求的同意,您已签署的壹生平台《壹生用户服务协议》和《壹生隐私政策》,详见链接:
壹生用户服务协议:
https://apps.medtrib.cn/html/serviceAgreement.html
壹生隐私政策:
https://apps.medtrib.cn/html/p.html
如果您是医疗卫生专业人士,且点击了“同意”,表明您作为壹生的注册用户已授权壹生平台收集您是否是医疗卫生专业人士的信息,可以使用本项服务。
如果您不是医疗卫生专业人士或不同意本说明,请勿点击“同意”,因为本项服务仅面向医疗卫生人士,以及专业性、合规性要求等因素,您将无法使用本项服务。

同意

拒绝

同意

拒绝

知情同意书

同意

不同意并跳过

工作人员正在审核中,
请您耐心等待
审核未通过
重新提交
完善信息
{{ item.question }}
确定
收集问题
{{ item.question }}
确定
您已通过HCP身份认证和信息审核
(
5
s)

肾生不息|多线方案耐受失败后迎转机!艾托组合抗体联合TKI治疗晚期肾癌伴瘤栓达PR

2025-10-10作者:医学论坛报秋宇资讯



晚期肾透明细胞癌(ccRCC)治疗中,TKI耐药后选择匮乏、传统双免疫疗法毒性难控是临床痛点。中国原研的全球首个PD-1/CTLA-4双特异性抗体——艾托组合抗体,通过MabPair技术实现PD-1与CTLA-4 2:1协同抑制,Ⅰ期研究显示其单药≥3级免疫相关不良事件(irAE)发生率仅8.1%,联合方案一线治疗肾癌客观缓解率(ORR)达63.7%、疾病控制率(DCR)93.9%,凸显“强效低毒”优势。



本期特邀山东第一医科大学附属省立医院管勇医生分享一例右肾透明细胞癌合并腔静脉瘤栓、肝静脉癌栓患者,该患者经多线TKI及PD-1单抗联合治疗后,因不良反应无法耐受更换方案,最终采用艾托组合抗体联合伏罗尼布方案,治疗后肝静脉癌栓消失,实现部分缓解(PR)的病例(本病例均采用RECIST 1.1标准进行疗效评估)。同时特邀山东第一医科大学附属省立医院丁森泰教授对该病例进行深入点评,为晚期肾癌的临床诊疗提供新的思路和借鉴。





【病例介绍】




专家简历
图片1.png

管勇 教授

山东省立医院副主任医师

硕士研究生导师

山东省医师协会干细胞与细胞转化医学委员会委员

山东省老年协会泌尿外科分会委员

山东省医学会男科学分会青年委员

山东省医师协会男科创新工程协会委员




病史



患者,女,64岁,因“血尿1周,检查发现右肾肿瘤”于2023年6月就诊。

既往史:子宫肌瘤术后20年;神经衰弱病史1年,佐匹克隆治疗;高血压病史20年,硝苯地平、利血平治疗。

查体:ECOG评分为1分,浅表淋巴结未触及肿大,心、肺、腹检查未见异常。




辅助检查



2023年6月肾脏MR平扫+动态增强:右肾中上份为主见类椭圆形等T1等T2信号肿物,截面约8.0cm×6.5cm,T1WI反相位部分区域信号强度减低,DWI及ADC扩散受限,呈不均匀快进快出强化模式;病灶侵及部分右肾静脉-下腔静脉,以上水平下腔静脉全程粗大,可见团状不均匀强化充盈缺损,肝中静脉内见条状充盈缺损区,符合右肾恶性肿瘤(CCRCC可能大)累及部分右肾静脉并下腔静脉瘤栓,肝中静脉栓子形成MR表现。



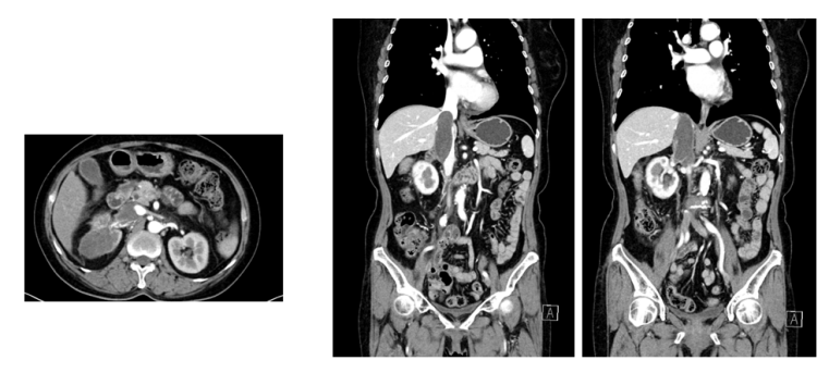
2023年6月14日泌尿系CTU增强:右肾及下腔静脉内富血供肿块,右肾癌并腔静脉癌栓达膈肌以上,肾占位最大横截面9.9cm×6.1cm,腔静脉占位最大横截面6.1cm,上下范围12.4cm,可见肝静脉栓子。

图1 泌尿系CTU增强(箭头所指为肝静脉癌栓)

2023年6月19日右肾穿刺活检术后病理:符合透明细胞性肾细胞癌。免疫组化:CA9(+),Vimentin(+),CK7(-),TFE3(-),FH(+),PAX8(+),CD117(-)。




诊断



右肾透明细胞癌并腔静脉瘤栓

分期:cT3bN0M0




治疗经过




第一阶段:一线药物治疗患者耐受差,药物更换频繁

2023年6月21日舒尼替尼50mg po 2-1方案。AE3级:血压明显升高并胃肠道反应。

2023年6月30日阿昔替尼5mg po bid+替雷利珠单抗200mg ivdrip Q3w。AE:肝功异常1级,对症保肝治疗。

2023年9月12日外院肾脏MR平扫+增强:右肾癌及下腔静脉癌栓。疗效评价SD。

患者治疗期间出现声音嘶哑并血压控制差,AE3级。

2023年12月1日改用仑伐替尼+替雷利珠单抗。不良反应未见明显缓解,换用培唑帕尼800mg po qd。

2024年1月26日胸部+全腹部(含盆腔)CT平扫+增强:右肾恶性肿瘤并右肾静脉、下腔静脉及肝中静脉栓子治疗后CT所见;腹膜后稍大淋巴结,建议随诊(未见疾病进展)。根据RECIST 1.1标准,疗效评价为疾病稳定(SD)。

2024年3月29日:胸部+全腹部(含盆腔)CT平扫+增强:右肾中上份见一类椭圆形略低密度灶,较大截面约5.0cm×4.3cm,边界欠清,增强扫描呈欠均匀轻度强化,较前略缩小,病灶侵及部分右肾静脉-下腔静脉,以上水平下腔静脉全程粗大,较宽处约4.0cm,右肾恶性肿瘤并右肾静脉、下腔静脉治疗后CT所见,肿瘤及静脉栓子均略缩小。

2024年5月31日:胸部+全腹部(含盆腔)CT平扫+增强:右肾中上份见一类椭圆形略低密度灶,较大截面约5.0×3.8cm,边界欠清,增强扫描呈欠均匀轻度强化,较前似略有缩小,病灶侵及部分右肾静脉-下腔静脉,以上水平下腔静脉全程粗大,较宽处约4.0cm。右肾恶性肿瘤并右肾静脉、下腔静脉治疗后CT所见,肿瘤及静脉栓子病灶稳定,略有缩小,未达PR标准。


第二阶段:药物耐受差,换用艾托组合抗体+TKI疗效显著

2024年8月2日,继续培唑帕尼800mg po qd;胃肠道反应较重,恶心纳差(AE2-3级)。2024年9月13日、2024年11月1日间断复查胸部+全腹部(含盆腔)CT平扫+增强:右肾中上份见一类椭圆形略低密度灶,较大截面约5.5×4.0cm,边界欠清,增强扫描呈欠均匀轻度强化,较前增大,病灶侵及部分右肾静脉-下腔静脉,以上水平下腔静脉全程粗大,较宽处约3.8cm。两次对比变化不明显。疗效评价:SD



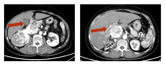
图 2024年9月13日CT复查

图 2024年11月1日CT复查

后因胃肠道反应较重,恶心纳差乏力伴声音嘶哑反应较重,高血压等不良反应难以耐受,于2024年11月1日,再次换用舒尼替尼50mg,2-1方案。但患者依然无法耐受,消化道不良反应较重,恶心呕吐重,1周内住院两次,AE3级。



2024年11月15日换艾托组合抗体+伏罗尼布,应用至今。AE:irAE甲状腺功能减退(对症治疗效果好);肝功轻度异常;未见其他明显不良反应。患者耐受可。



2025年2月7日胸部+全腹部(含盆腔)CT平扫+增强:右肾中上份见一类椭圆形略低密度灶,较大截面约4.6cm×3.8cm,边界欠清,增强扫描呈欠均匀轻度强化,较前变化不明显,病灶侵及部分右肾静脉-下腔静脉,以上水平下腔静脉粗大,较宽处约3.8cm,右肾恶性肿瘤并右肾静脉、下腔静脉癌栓治疗后CT所见,癌栓位于膈肌下2cm,肝静脉癌栓消失。疗效评价:PR。



图 艾托组合抗体治疗后,肝静脉癌栓消失



【病例点评】




专家简历
未标题-1.png

丁森泰 教授

山东第一医科大学附属省立医院(山东省立医院)泌尿外科副主任医师、医学博士;

日本京都大学联合培养博士;美国西南医学中心高级访问学者;济南市高层次人才;

山东大学/山东第一医科大学 副教授、硕士研究生导师;

“一带一路”吉尔吉斯斯坦奥什国立大学 博士研究生导师 

在泌尿系肿瘤的基础和临床治疗研究方面取得的研究成果在Journal of Urology、Cancer Research等SCI杂志发表文章二十余篇,发表中文核心期刊论著20余篇;

主持国家自然科学基金、山东省重点研发计划、山东省医药卫生科技发展计划和山东省自然科学、济南市科技发展计划等,参加国家及省市课题多项;

获得山东省药学会二等奖1项(第一位);山东省自然科学学术创新奖专家奖;山东省高等学校科学技术奖1项(第二位);医学会科技成果进步奖二等奖1项(第二位);

社会兼职:

山东省老年学与老年医学学会泌尿外科专业委员会 副主任委员;

中华医学会山东省泌尿外科学会 青年副主任委员;

中国医师协会男科医师分会 全国委员;

山东省医学伦理学学会泌尿肿瘤外科分会第一届理事会 副会长;

中国抗癌协会泌尿男生殖系肿瘤专业委员会 全国青年委员;

中国抗癌协会( CACA )第一届前列腺癌整合防筛专业委员会 全国委员







安全性优先:破解晚期肾癌治疗不耐受困境的核心








在晚期肾癌临床实践中,疗效达标但患者无法耐受是导致治疗失败的重要原因。传统治疗方案可引发较严重的不良反应,包括严重胃肠道反应、血压失控、声音嘶哑等,这些不良反应不仅降低患者生活质量,更可能迫使治疗中断,导致前期疗效无法持续,最终影响预后。



本病例中,患者的治疗历程正是这一困境的典型体现——从2023年6月至2024年11月,先后尝试舒尼替尼、阿昔替尼联合替雷利珠单抗、仑伐替尼联合替雷利珠单抗、培唑帕尼等多线方案,尽管部分方案(如培唑帕尼)能实现肿瘤及瘤栓缩小(肿瘤从9.9cm缩小至5.0cm,瘤栓从6.1cm缩小至4.0cm),但均因3级不良反应无法耐受,甚至在2024年11月再次尝试舒尼替尼时,1周内两次住院,治疗耐受性已降至极低水平。



艾托组合抗体的出现,从分子设计层面打破了这一困境。作为基于MabPair抗体工程技术开发的PD-1/CTLA-4双特异性抗体,其与传统双免疫联合方案(如“O+Y”)的核心差异在于:并非将两种抗体简单混合,而是通过基因工程将抗PD-1与抗CTLA-4抗体以2:1固定比例整合于同一分子,同时通过缩短CTLA-4抗体半衰期、优化Fc段功能,在保留双靶点协同作用的同时,大幅降低毒性。



临床数据显示,其单药治疗晚期实体瘤的≥3级irAE发生率仅8.1%,而本病例中,患者换用艾托组合抗体联合伏罗尼布后,仅出现轻度甲状腺功能减退与肝功异常,经对症治疗后即可缓解,无严重不良反应,实现了可耐受的持续治疗——这一安全性优势,正是患者后续能实现肝静脉癌栓消失、达到PR的关键前提。







疗效协同:双抗联合TKI实现晚期肾癌深度缓解








艾托组合抗体的价值不仅在于安全性突破,更在于其通过双靶点协同机制,为晚期肾癌患者带来了“强效缩瘤”的可能。从作用机制来看,PD-1阻断可解除肿瘤微环境中T细胞的功能耗竭,恢复其抗肿瘤活性;CTLA-4抑制则能减少调节性T细胞(Treg)数量,进一步增强免疫应答,二者形成“1+1>2”的协同效应。同时,联合伏罗尼布(VEGFR抑制剂)可发挥“肿瘤血管正常化”作用,改善肿瘤微环境中免疫细胞的浸润,进一步放大双抗的免疫治疗效果,形成“免疫+抗血管生成”的双重抗肿瘤通路。



本病例中,这一协同效应得到了充分验证。患者在2024年11月15日启用艾托组合抗体联合伏罗尼布方案后,仅2个多月即实现肝静脉癌栓完全消失,达到PR标准;同时,下腔静脉癌栓位置稳定于膈肌下2cm,肿瘤病灶维持稳定缩小,且无新发病灶出现。这一疗效不仅体现了方案的“快速起效”特征,更证明即使在多线治疗失败的后线场景中,艾托组合抗体联合TKI仍能实现深度缓解。



值得一提的是,在今年的ESMO大会中,艾托组合抗体联合小分子TKI仑伐替尼治疗未经治疗的透明细胞肾细胞癌患者安全性和有效性的1b期研究的结果即将公布,有望为协同增效理论提供更多临床证据。





中国原研价值:为晚期肾癌诊疗提供“本土解决方案”






本病例的诊疗成功,更凸显了中国原研创新药物在肿瘤治疗领域的重要意义。艾托组合抗体作为全球首个基于MabPair技术的PD-1/CTLA-4双特异性抗体,其研发过程充分结合中国患者的临床需求,从机制设计到临床研究均聚焦“强效低毒”这一核心痛点,最终形成了更适合中国晚期肾癌患者的治疗方案。从临床实践来看,艾托组合抗体的出现不仅丰富了晚期肾癌的治疗选择,更推动了诊疗理念的升级——不再单纯追求“疗效数据”,而是以“患者可耐受的长期获益”为核心目标。



本病例中,患者在多线药物方案不耐受的情况下,通过中国原研药物组合实现疗效与安全性的平衡,正是这一理念的最佳实践。未来,随着艾托组合抗体在晚期肾癌领域适应证的进一步拓展,以及更多联合方案的探索,有望为更多类似本病例的患者带来长期生存希望,同时推动中国原研药物在全球肿瘤免疫治疗领域的引领地位。



本文由管勇教授、丁森泰教授审校

200 评论

查看更多