查看更多
密码过期或已经不安全,请修改密码
修改密码
壹生身份认证协议书
同意
拒绝
同意
拒绝
同意
不同意并跳过
作者:汕头大学医学院附属肿瘤医院 李从铸
病例介绍
2016-01-26:因“左颈部肿块”行超声检查:左颈部低回声结节,考虑淋巴结肿大,性质待定。口服中药治疗,自觉较前增大。
2016-4:出现右下腹痛,行全腹CT:腹膜后多发明显肿大淋巴结,考虑淋巴瘤可能,待排转移瘤或其他。右侧附件区见条片状软组织密度影,51.7×23.2mm,拟左侧卵巢肿瘤可能。
2016-04-14:于汕头大学医学院附属第一医院住院治疗入院查CA 125 307.2 U/ml。
颈胸部CT:双侧胸锁乳突肌深面及后缘、双侧锁骨上窝、纵隔及双肺门多发肿大淋巴结,部分似融合成团状,颈部较大者3.2×2.1cm,纵隔较大3.2×2.3cm,首先考虑淋巴瘤,未排转移,双肺多发大小不一结节,点片状,条索网格状密度增高,较大者位于左肺上叶舌段径线2.0×1.7cm,性质待定。右颈动脉鞘间歇多发积气影伴相应脂肪间隙模糊不清。
2016-4-1:行右颈部淋巴结活检术,结果:考虑转移癌,未排淋巴瘤,免疫组化提示卵巢来源可能性大。
2016-4-22:化疗1程(紫杉醇脂质体240mg+卡铂 450mg )。查CA 125 120.71U/ml。
2016-5-16至6-7:化疗2程(紫杉醇脂质体 540mg+进口卡铂 1000mg)2程化疗后查CA 125 70.19U/ml、
术前CT:腹膜后多发淋巴结肿大,最大2.2×3.7cm,胸部未见实质性占位病变。

2016-7-4:行“全宫+双附件+大部分大网膜切除术”术毕主要残存病灶位于腹主动脉旁淋巴结,直径1-2cm(因考虑患者术前锁骨上淋巴结转移,术中探查腹主动脉前方1-2cm大小淋巴结与动脉壁融合,故未行系统淋巴清扫)。
术后病理:左输卵管浆液性腺癌(低分化),浸润卵巢组织,右卵巢、输卵管、大网膜未见癌。
2016-7-13至9-21:化疗5程(进口紫杉醇 1290mg+进口卡铂2600mg)1程化疗后,CA 125:34.73U/ml4程化疗后CA 125 20.0U/ml4程化疗后查CT。

2017-1-19:查CA 125 139.8U/ml。
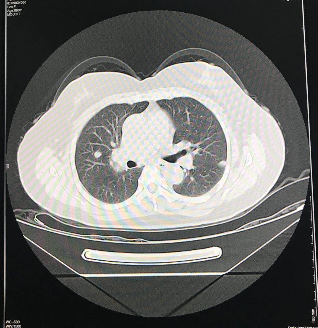
2017-3-20:查CA 125 339U/ml,收住入院。CT:卵巢癌术后改变,左锁骨上、纵膈肺门及腹膜后多发淋巴结肿大,较前明显增多增大,较大约3.5×3.5cm。两肺新见多发转移瘤,大约1.3×1.4cm。


多西他赛
2017-3-31至2017-4-21化疗2程:多西他赛 120mg。
2017-5-13至2017-6-7化疗第3、4程:进口多西他赛 240mg。
2017-7-6至2017-7-29化疗第5、6程:进口多西他赛240mg。
2程化疗后查 CA 125 160.9U/ml,4程化疗后查 CA 125 163U/ml,5程化疗后查CA 125 165.3U/ml。


2程化疗后CT评估:两侧盆腔髂总动脉旁,腹主动脉旁及左锁骨上、纵膈、右肺门多发淋巴结转移、较前缩小。两肺多发转移瘤、较前增大。
2017-9-11:CA125 330.3U/ml,
胸片:两肺多发转移瘤,较大约2cm,病灶整体较前减少,但部分结节较前增大,右纵隔影增宽,较前略有缩小,盆腔彩超无异常。
腹部彩超:腹膜后淋巴结肿大,腹主动脉旁两个低回声结节:2.8×1.9cm、2.3×1.6cm。
下一步治疗方案?吉西他滨
2017-9-14至2017-12-30化疗4程进口吉西他滨(D1、D8、D15):共 19.2g。
2程化疗后CA 125 44.97U/ml,3程化疗后CA 125 50.59U/ml,4程化疗后未继续治疗。
2程化疗后CT:两侧盆腔髂总动脉旁、腹主动脉胖淋巴结肿大,较大约2.2×1.8cm,较前缩小;左锁骨上、纵膈、右肺门多发小淋巴结,最大0.8cm,较前略缩小。

两肺多发转移瘤,左下肺最大约1.4cm,较前缩小。


2018-4-2:查CA 125 275.8U/ml。
CT:两侧盆腔髂总动脉旁、腹主动脉胖淋巴结多发肿大,较前增大增多,约3.6×2.0cm;左锁骨上、纵膈、右肺门多发肿大淋巴结,最大1.5×1.4cm,较前增大。

两肺多发转移瘤,较前增大增多,最大2.8×2.1cm。



2018-4-13至5-29:化疗2程进口吉西他滨(D1、D8、D15):共 4.8g。
1程化疗后查CA 125 92.87U/ml.2程化疗后患者未继续化疗。
2018-6-25:查CA 125 232.9U/ml。
7月末开始口服阿帕替尼+依托泊苷胶囊治疗。
2018-7-5 CT:两侧盆腔髂总动脉旁、腹主动脉旁、左锁骨上、纵膈、右肺门多发肿大淋巴结肿大,较前变化不明显。

两肺多发转移瘤,部分较前增大,部分较前缩小。




BRCA检测

该患者可否使用奥拉帕利?
奥拉帕利维持治疗
患者是否能使用奥拉帕利进行维持治疗?
报告显示患者无BRCA突变,是否能从奥拉帕利中获益。

PARP抑制剂在HRD肿瘤中的合成致死作用

约50%高级别浆液性卵巢癌携带同源重组缺陷(HRD),约50%的HRD为BRCA基因突变

奥拉帕利维持治疗
患者是否能使用奥拉帕利进行维持治疗?
基因检测报告显示患者无BRCA突变,是否能从奥拉帕利中获益?
NCCN指南表明,铂敏感复发的卵巢癌患者,无论患者是否BRCA突变,均可获益!
该患者究竟是铂敏感?还是铂耐药?
无法确认患者对铂的敏感程度。
单从PFS来判断铂敏感程度,有待商榷。
不同的肿瘤复发灶,可能对铂有不同的敏感性。
2019.1 NCCN II-IV期初治后的维持治疗
有BRCA突变——奥拉帕利是新标准,无BRCA突变——路在何方?

查看更多