查看更多
密码过期或已经不安全,请修改密码
修改密码
壹生身份认证协议书
同意
拒绝
同意
拒绝
同意
不同意并跳过
病史摘要
年龄:46
性别:女
婚姻状况:已婚
生育状况:G1P1
主诉:发现左乳肿块10天、穿刺活检术后1周。
现病史:患者10天前无意中发现左乳肿块,1周前就诊于我院,门诊穿刺病理示:左乳浸润性癌。IHC:ER(2+),PR(2+),Her-2(1+),Ki67 15%(+)。
病史摘要
既往史/家族史:既往体健,无癌症家族史。
入院检查
体格检查:左乳乳晕旁可及直径约3.5×3cm肿块、质硬、界不清、活动度差,右乳未及明确肿物,双侧腋窝及锁骨上未及肿大淋巴结。
实验室检查:
血常规、尿病常规、生化全套、肿瘤指标、凝血常规、血清常规未见异常。
影像学检查:2011.9 颈胸CT、腹部及妇科B超、骨扫描未见明确转移灶。
入院诊断
左乳癌(cT2N0M0 Ⅱa期)
治疗方案-手术治疗
手术过程及病理检查结果
2011.9 左乳癌改良根治术。
术后病理:左乳浸润性导管癌II级,肿物3cm×3cm×2cm,间质硬化,脉管内未见癌栓;(乳头、基底)未见癌浸润;左腋窝淋巴结 1/25 见癌转移。
IHC:ER(2+),PR(3+),Her-2(-),Ki-67 20%(+)。
术后治疗
化疗:CEF方案6周期 q3w,方案为CTX 1.0 d1、EPI 140mg d1、5-FU 1.0 d1。
内分泌治疗:他莫昔芬 10mg bid
疾病进展检查结果

2016.12胸部CT示右肺孤立占位,考虑转移。
PET-CT未见其他转移病灶。
穿刺病理:(右肺)转移癌,结合病史及免疫组化符合乳腺癌转移。
IHC:
ER(Allred score 5+3=8分 95%+)、
PR(Allred score 5+2=7分 90%+)、
Her-2(-)、
Ki67 20%。
治疗方案-内分泌治疗
戈舍瑞林3.6mg q4w + 阿那曲唑1mg qd。

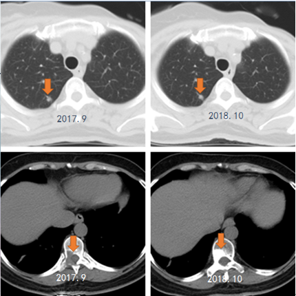
(1)肺部占位较前稍缩小( 2016.12-2017.9 )。
(2)胸椎第10椎体骨破坏( 2017.9 )。
治疗方案-内分泌治疗
胸10椎体放疗
+氟维司群500mg q4w
+戈舍瑞林3.6mg q4w
+唑来膦酸 4mg q4w。
病例总结:诊疗经过

病例总结-指南推荐内分泌治疗


病例总结:内分泌(+)治疗已然成为主流
病例总结
内分泌治疗耐受性好,患者生活质量高,有充足数据证实可让患者获益(DFS、OS)
查看更多