查看更多
密码过期或已经不安全,请修改密码
修改密码
壹生身份认证协议书
同意
拒绝
同意
拒绝
同意
不同意并跳过
在DR复杂漫长的疾病管理中,影像学检查是疾病诊断、分级、疗效评估和预测的重要依据。从传统的眼底照相、FA、到OCT、OCTA和UWF,影像技术的进步多维度地揭示出更加丰富的生物学信息,推动疾病诊疗的进步。下面让我们一一细品。
眼底照相:从传统7SF到广角,眼底照相一直以来都是最经典的基础检查。无论是广泛应用于科研的“ETDRS评分体系”,还是用于临床诊疗的“国际糖网严重程度分级”都是基于眼底照相提供的影像信息来进行疾病的精确分级和评分量化。
荧光造影:实现血管数量,形态,通透性和血液循环等信息的动态评估,已成为评估眼底脉管系统的经典检查。特别是对于视网膜增殖病灶和视网膜缺血的评估,FA依然是金标准。
OCT:提供精准的结构信息和大量组织参数,其中部分已成为疾病相关的生物学标记。
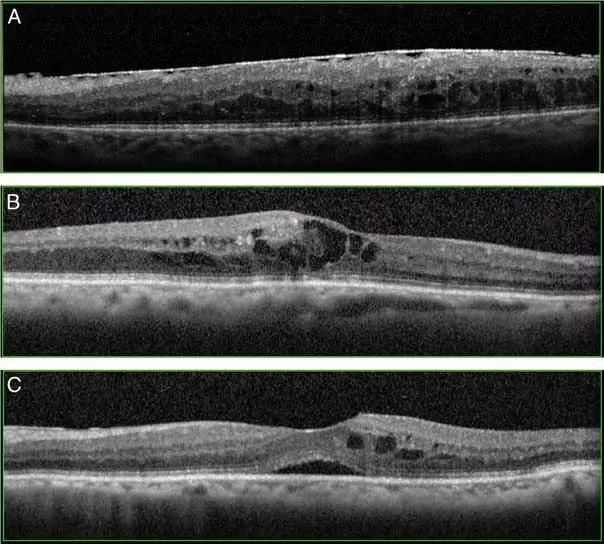
DME亚型:SD-OCT上DME基本形态包括:海绵状弥漫性视网膜增厚(DRT)、囊状黄斑水肿(CME)和浆液性视网膜脱离(SRD)。近年来对于不同DME类型患者的疗效差别的研究结论尚未统一,但有学者认为SRD与视力预后良好相关。

A: 弥漫性视网膜增厚(DRT) B:囊状黄斑水肿(CME) C:浆液性视网膜脱离(SRD)
外层视网膜结构:SD-OCT可清晰显示视网膜外层结构,其中椭圆体带(EZ)和外界膜带(ELM)的完整性在RVO,AMD等疾病中都与视力预后相关。队列研究显示与结构完整的DME患者相比,EZ/ELM带破损的DME患者治疗后视力预后较差;且这些患者的EZ/ELM破损往往会继续加重。

77岁糖网患者的SD-OCT图像:可见CME和高反射点,黄斑区椭圆体带部分破损
高反射点(HRDs):SD-OCT中可位于视网膜各层的直径20-40µm反高射点状物质称为高反射点。其产生原因可能是脂蛋白溢出,退化的光感受器细胞,或是被激活的小胶质细胞。伴大量HRDs的DME患者,往往在平均15个月后出现显著的硬性渗出,HRDs可能预示着硬性渗出的出现,黄斑区的HRDs与视力下降相关。

A:HRDs聚集在外核层和外丛状层的边缘,伴硬渗;B:除较大的HRDs外,视网膜内层可见较细HRDs的 HRD ,可能是活化的小胶质细胞
视网膜内层结构紊乱(DRIL):黄斑中心凹1mm区域内超过50%神经节细胞/内丛状层复合体、内核层和外丛状层条带紊乱定义为DRIL。系列研究显示伴有DRIL的患者通常基线和视力预后较差;患者治疗后如DRIL缩小50%则视力预后较佳,反之则预后较差。Post hoc研究认为DRIL存在是DME患者抗VEGF治疗视力下降的危险因子。研究发现DRIL与无灌注区和OCTA上FAZ区面积具有相关性,提示DRIL的发生与严重缺血相关。目前,DRIL被认为是视力预后最具有一致性和显著性的OCT生物标志。

PDR患者双眼SD-OCT:双眼DRIL,均存在椭圆体带和外界膜破坏
玻璃体黄斑牵引(VMT): DR患者常表现为视网膜前膜(ERM)、VMT、玻璃体黄斑粘连等。有报道自发性和手术诱导的玻璃体后脱离都可以提高视力和降低黄斑厚度,玻璃体牵拉的解除对疾病应该是有利的。伴ERM和VMT的患者对抗VEGF的治疗应答欠佳,手术治疗可能获益。

A:视网膜前膜 B:玻璃体黄斑牵引不明显 C: 玻璃体黄斑牵引明显 D:后玻璃体牵引伴黄斑水肿
OCTA: 视网膜微循环异常与糖网进展相关。深层毛细血管血流减少可引起感光细胞完整性受损。OCTA是一种无创的3D生物组织扫描,对各层组织细节进行显影和定量。通过OCTA对微循环进行定量分析,及其与各种生物影像指标的关系是目前的研究热点。OCTA和FFA在许多特征上具有共通性,特别是对黄斑缺血的检出上具有很高的一致性。目前,OCTA被认为是鉴别黄斑缺血的可靠工具,但各层毛细血管丛信号变化与DR严重程度、视力和DRIL之间的关系尚未统一。未来需要通过进一步掌握规律,建立标准,指导临床应用。

A:健康人:B:糖网患者FAZ轻度扩大 C:PDR患者:血管扭曲、微动脉瘤、不规则FAZ、散在无灌注区
UWF:高分辨率UWF眼底照相可覆盖82%视网膜。由于广角技术可获得更加丰富的眼底信息,有专家认为其比传统的7SF眼底照相更优。研究发现,同时运用7SF和UWF眼底检查,15%患者在UWF眼底检查后糖网评分更高。与2-和7-SF眼底照相相比,UWF对周边视网膜新生血管的检出率可提高25%和12%。UWF荧光造影显示的视网膜面积是传统检查的3.2倍,增加了周边NV和无灌注区的检出率。
研究发现,周边病灶较多的NDR患者进展为PDR的风险会增加4.7倍,提示DR进展通常与视网膜周边病变程度相关。UWF可以提供更多的周边视网膜信息,是糖网疾病管理和病情预测有效工具。
基于UWFA图像无灌注程度量化产生的“缺血指数”,与FAZ面积,DR严重程度相关,但与临床有意义DME和视力不相关。

A:UWF眼底照相 B:UWFA晚期相 C: UWF眼底照相视乳头影像 D:UWFA周边无灌注区
总 结
尽管各类影像技术正在日新月异的发展,经典的眼底照相和FA仍然是DR分级的重要依据。SD-OCT提供深度成像信息是DME疾病管理的有效工具,DRIL成为DR和DME的预测因子。OCTA是无创性评估视网膜缺血的可靠方法。UWF可呈现更为丰富的影像学信息,帮助DR分级和治疗管理。各类影像技术一日千里发展的同时也需要我们不断学习,融会贯通,对于疾病的认知更深入,维度更丰富。
尽管各类影像技术正在日新月异的发展,经典的眼底照相和FA仍然是DR分级的重要依据。SD-OCT提供深度成像信息是DME疾病管理的有效工具,DRIL成为DR和DME的预测因子。OCTA是无创性评估视网膜缺血的可靠方法。UWF可呈现更为丰富的影像学信息,帮助DR分级和治疗管理。各类影像技术一日千里发展的同时也需要我们不断学习,融会贯通,对于疾病的认知更深入,维度更丰富。
参考文献:
Imaging Biomarkers in Diabetic Retinopathy and Diabetic Macular Edema. Nitish Mehta, MD,Edmund Tsui, MD,Gregory D. Lee, MD,Vaidehi Dedania, MD,Yasha Modi, MD, INTERNATIONAL OPHTHALMOLOGY CLINICS,Volume 59, Number 1, 241–262
MCC批号LUC1902590 有效期2020-02-26,过期资料,视同作废
查看更多