壹生大学

壹生身份认证协议书

本项目是由壹生提供的专业性学术分享,仅面向医疗卫生专业人士。我们将收集您是否是医疗卫生专业人士的信息,仅用于资格认证,不会用于其他用途。壹生作为平台及平台数据的运营者和负责方,负责平台和本专区及用户相关信息搜集和使用的合规和保护。
本协议书仅为了向您说明个人相关信息处理目的,向您单独征求的同意,您已签署的壹生平台《壹生用户服务协议》和《壹生隐私政策》,详见链接:
壹生用户服务协议:
https://apps.medtrib.cn/html/serviceAgreement.html
壹生隐私政策:
https://apps.medtrib.cn/html/p.html
如果您是医疗卫生专业人士,且点击了“同意”,表明您作为壹生的注册用户已授权壹生平台收集您是否是医疗卫生专业人士的信息,可以使用本项服务。
如果您不是医疗卫生专业人士或不同意本说明,请勿点击“同意”,因为本项服务仅面向医疗卫生人士,以及专业性、合规性要求等因素,您将无法使用本项服务。

同意

拒绝

同意

拒绝

知情同意书

同意

不同意并跳过

工作人员正在审核中,
请您耐心等待
审核未通过
重新提交
完善信息
{{ item.question }}
确定
收集问题
{{ item.question }}
确定
您已通过HCP身份认证和信息审核
(
5
s)

哈医大一院7学科连闯3关,打赢重症急性胰腺炎感染性坏死患者“生命保卫战”

2025-12-03作者:论坛报马山资讯
原创




近日,哈医大一院胰腺专病中心联合消化内科、超声介入、药学部等多学科团队,成功救治一名由外省转诊的重症急性胰腺炎继发感染性胰腺坏死患者。这场历时月余的“胰腺保卫战”,充分展现了胰腺专病中心多学科协作模式在胰腺急危重症救治中的核心优势。





“第5次住院,我以为挺不过去了”





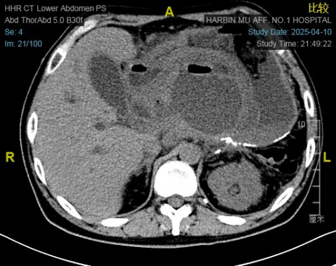
32岁的患者王先生回忆起就诊前的经历仍心有余悸:“5次住院,全身发黄、高烧不退,真的看不到希望。”作为重症急性胰腺炎的“老病号”,此次入院时,王先生胰周坏死组织感染、胆道梗阻继发胆管炎、重度营养不良、肝肾功能不全等多重危象叠加,生命危在旦夕。


王先生入院CT影像


多学科联手“破局”


打通“感染控制”和“胆道疏通”难关



面对王先生的危局,全国知名胰腺疾病专家、哈医大一院院长孙备教授领衔的胰腺专病中心立即启动多学科诊疗机制:药学部魏华教授精准指导敏感抗生素应用以控制感染;超声介入科姜海宇教授紧急实施胆道再置管疏通术,打通生命通道;待患者全身状态稳定后,胰胆外科团队接力开展关键外科干预。


由于王先生既往有胰体尾脾切除史,腹腔内正常解剖结构严重破坏,组织广泛粘连,坏死组织与正常胰腺组织分界模糊,手术难度极大。胰胆外科副主任孔瑞教授带领胡继盛副教授团队迎难而上,凭借丰富的重症胰腺炎外科处理经验,精准评估清创范围,成功实施胰周坏死组织清创引流术。术后,患者体温迅速恢复正常,整体状态显著改善,为后续治疗奠定基础。


攻克胆道梗阻


“量身定制”解除梗阻危机



感染控制后,胆道梗阻成为新的挑战。王先生每日胆汁引流量大,尝试闭管后胆管炎反复发作。消化内科尚国印教授团队会诊后,因传统塑料胆道支架无法支撑极度狭窄的胆道,针对王先生复杂的胆道狭窄,实施ERCP下全覆膜金属支架置入术,成功撑开闭塞胆道,彻底解决了梗阻问题。


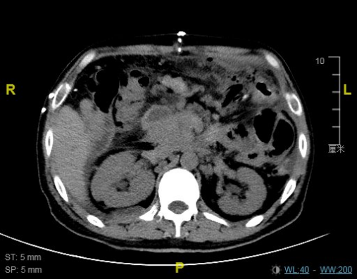
经过一个多月的系统治疗,王先生各项指标逐步恢复,已能正常饮食,体重停止下降并稳步回升,近日顺利康复出院。


王先生出院前复查CT影像



多学科协作是重症胰腺炎救治“金标准”



“感染性胰腺坏死是重症急性胰腺炎病程中继发所致的危重并发症,总体死亡率高达30%。”孔瑞教授表示,胰腺和胆道具有特殊的解剖学关系,胰腺原发疾病常累及胆道系统,处理重症急性胰腺炎的胆道并发症,需多学科协作模式才能实现精准救治。


“急性胰腺炎是一种个体差异大、异质性强的疾病,而外科干预在急性胰腺炎及其并发症的治疗中具有不可或缺的主导作用。”孙备教授指出,多学科联合治疗模式是目前治疗重症急性胰腺炎的主流模式,通过整合消化、超声介入、药学等多领域优势,弥补单一科室诊疗技术的不足。自哈医大一院“破壁”“创新”启动黑龙江省首个胰腺专病中心以来,已成功救治数十名来自省内外病情危重的重症急性胰腺炎患者,形成显著的区域影响力。


未来,哈医大一院胰腺专病中心将继续深化“以患者为中心,以疾病为链条”的治疗理念,持续推进“专病治疗标准化,多学科协作常态化”模式,着力打造黑龙江省高水平、高层次的胰腺专病中心,通过打破专业壁垒、整合优势资源,全面提升黑龙江省及周边地区胰腺疾病诊疗水平,为更多患者带来“胰”线生机,切实增强群众就医获得感、幸福感、安全感。




(通讯员:林涌茗)



200 评论

查看更多