壹生大学

壹生身份认证协议书

本项目是由壹生提供的专业性学术分享,仅面向医疗卫生专业人士。我们将收集您是否是医疗卫生专业人士的信息,仅用于资格认证,不会用于其他用途。壹生作为平台及平台数据的运营者和负责方,负责平台和本专区及用户相关信息搜集和使用的合规和保护。
本协议书仅为了向您说明个人相关信息处理目的,向您单独征求的同意,您已签署的壹生平台《壹生用户服务协议》和《壹生隐私政策》,详见链接:
壹生用户服务协议:
https://apps.medtrib.cn/html/serviceAgreement.html
壹生隐私政策:
https://apps.medtrib.cn/html/p.html
如果您是医疗卫生专业人士,且点击了“同意”,表明您作为壹生的注册用户已授权壹生平台收集您是否是医疗卫生专业人士的信息,可以使用本项服务。
如果您不是医疗卫生专业人士或不同意本说明,请勿点击“同意”,因为本项服务仅面向医疗卫生人士,以及专业性、合规性要求等因素,您将无法使用本项服务。

同意

拒绝

同意

拒绝

知情同意书

同意

不同意并跳过

工作人员正在审核中,
请您耐心等待
审核未通过
重新提交
完善信息
{{ item.question }}
确定
收集问题
{{ item.question }}
确定
您已通过HCP身份认证和信息审核
(
5
s)

毫米级操作创造生命奇迹:北京友谊医院完成超低龄超低体重ERCP手术新纪录

2026-01-15作者:论坛报小塔资讯
原创

近日,北京友谊医院通州院区消化中心完成了一场突破生命禁区的手术。面对体重仅8.5公斤的14月龄患儿,医疗团队通过高难度ERCP(内镜逆行胰胆管造影)操作成功置入胆管支架,不仅刷新了医院乃至区域内婴幼儿ERCP手术的最小体重纪录,更在复杂胆道介入领域实现重大突破。



图片

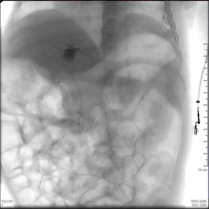
生命通道的意外阻隔

数月前,这个本应蹒跚学步的幼小生命在外院接受了腹膜后神经母细胞瘤切除术。然而,术后突发的肝功能异常与胆红素飙升,如同在生命通道上筑起高墙,将患儿挡在化疗门外。当父母带着孩子辗转多家医院寻求ERCP治疗时,"超低月龄、超小体重、超高风险"的标签让众多医疗团队望而却步。就在希望之光几近熄灭之际,患儿来到了北京友谊医院消化中心。





图片

毫米级的生命博弈

面对这个特殊病例,消化中心展开多轮术前推演:成人内镜能否在婴儿消化道中顺利通行?狭窄的操作空间如何保证精准置管?如何在X射线环境下为患儿做好生殖腺与甲状腺的防护?如何从现有支架中选择患儿合适的支架尺寸?一个个难题摆在了医生面前。经过反复论证,团队决定迎难而上。

图片

十二指肠乳头形态

图片

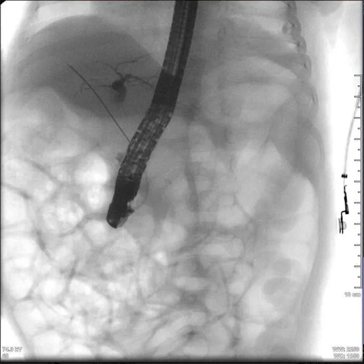
ERCP插管成功

手术当日,在医院通州院区内镜中心,麻醉手术中心李娜主治医师为患儿进行了全麻气管插管,内镜中心护师杜建枕巧用注射器为患儿特制了一个内镜咬口,防止术中对患儿口腔的损伤,并用铅衣与护颈为患儿构建起双重防护屏障。消化中心刘春涛主任医师、赵桂平主治医师展开操作,当内镜缓缓进入患儿消化道,所有人的心都悬到了嗓子眼。最终,凭借顶尖技术,医疗团队在毫米级操作空间里顺利完成了超高难度的ERCP操作,成功置入了救命的胆管支架,瞬间打通淤堵的生命通道。

图片

支架置入成功

图片

支架置入后造影

术后奇迹立现:持续攀升的胆红素迅速回落,受损肝功能各项指标稳步回归正常范围。手术的成功也重启了患儿抗癌治疗的关键通道。


这场手术不仅创造了医院ERCP手术患者的最低年龄与体重纪录,更验证了超低龄患儿复杂胆道介入治疗的可行性。“当医学技术突破传统认知边界,我们看到的不仅是手术成功的数字,更是一个家庭重燃的希望。”未来,北京友谊医院将持续深化相关技术探索,为更多幼小生命筑起生命防线。


首都医科大学附属北京友谊医院供稿

200 评论

查看更多