壹生大学

壹生身份认证协议书

本项目是由壹生提供的专业性学术分享,仅面向医疗卫生专业人士。我们将收集您是否是医疗卫生专业人士的信息,仅用于资格认证,不会用于其他用途。壹生作为平台及平台数据的运营者和负责方,负责平台和本专区及用户相关信息搜集和使用的合规和保护。
本协议书仅为了向您说明个人相关信息处理目的,向您单独征求的同意,您已签署的壹生平台《壹生用户服务协议》和《壹生隐私政策》,详见链接:
壹生用户服务协议:
https://apps.medtrib.cn/html/serviceAgreement.html
壹生隐私政策:
https://apps.medtrib.cn/html/p.html
如果您是医疗卫生专业人士,且点击了“同意”,表明您作为壹生的注册用户已授权壹生平台收集您是否是医疗卫生专业人士的信息,可以使用本项服务。
如果您不是医疗卫生专业人士或不同意本说明,请勿点击“同意”,因为本项服务仅面向医疗卫生人士,以及专业性、合规性要求等因素,您将无法使用本项服务。

同意

拒绝

同意

拒绝

知情同意书

同意

不同意并跳过

工作人员正在审核中,
请您耐心等待
审核未通过
重新提交
完善信息
{{ item.question }}
确定
收集问题
{{ item.question }}
确定
您已通过HCP身份认证和信息审核
(
5
s)

多学科协作发力,上海长海医院重症康复研究在国际权威期刊发表

2026-02-10作者:论坛报小璐资讯
非原创
图片






打破传统康复局限,赋能重症患者“站”起来的希望。近日,上海长海医院康复医学科主任方凡夫教授携手重症医学中心李白翎教授、张伟教授、焦洋教授团队研究成果《悬吊下肢康复机器人辅助训练在重症监护病房获得性肌无力患者下肢功能的康复疗效:一项自身对照随机临床试验》,登上重症医学领域知名期刊Critical Care(IF=10.6,第一作者:许力凡,共一作者:黄潇楠、吴恒,通讯作者:方凡夫、李白翎)。

图片

▲团队成员合影

这项关于悬吊下肢康复机器人辅助训练的自身随机对照临床试验,不仅为重症监护病房获得性肌无力患者的早期干预提供了循证支撑,更印证了国产康复器械在重症领域的应用价值。







图片
图片

统计表明,重症监护病房获得性肌无力患者(ICU-AW)发病率高达48%,不仅延长患者机械通气和住院时间,还会导致长期功能障碍。尽管早期康复理念已在临床普及,但传统康复高度依赖治疗师徒手操作,不仅医护负担重,训练强度也难以精准调控。

图片
图片
图片

悬吊康复机器人辅助训练场景

为破解这一临床痛点,研究团队创新性采用患者自身对照设计,在常规康复基础上引入悬吊式下肢康复机器人。通过个体化参数设置与多关节协同训练,并借助肌骨超声等客观评估手段,团队系统观察了该技术对患者下肢肌肉厚度、肌力及关节活动度的短期改善效果。值得一提的是,这款悬吊式下肢康复机器人正是由方凡夫教授前期牵头上海市“科技创新行动计划”生物医药领域科技支撑项目、上海市申康医企融合创新成果转化专项等研发而成的医工结合成果。

图片

研究以ICU-AW患者为对象,将其单侧下肢设为干预侧,接受悬吊机器人辅助训练联合标准物理治疗;对侧为对照侧,仅接受常规物理治疗。两组均按照每日40分钟、每周5天、连续2周的标准化方案实施,以严谨的自身对照设计有效排除个体差异,确保结果可靠。

图片

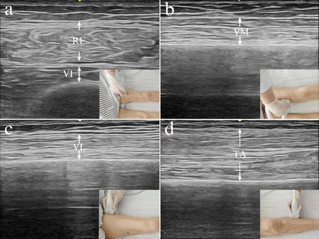
肌骨超声评估肌肉状况

数据显示:干预侧肌肉厚度仅下降0.2%,远低于对照组的6.3%;MRC肌力评分及髋膝关节主动活动度也显著优于单纯常规康复组。尤其在老年患者和正常BMI患者中,获益更为突出。同时,设备表现出良好的安全性,无相关不良事件发生,患者满意度达95%。



图片



本研究不仅证实了悬吊式下肢康复机器人在ICU-AW超早期干预中的核心价值,也进一步明确了该技术能够有效延缓肌肉萎缩,维持肌肉收缩功能与关节活动潜能,为患者转出ICU及后续长期康复奠定关键基础。这一成果充分体现了长海医院“以临床需求为导向、以技术创新为核心”的科研理念。

图片

从“和平方舟”号医院船的援外医疗实践,到ICU-AW康复方案登上国际权威期刊的循证探索,康复医学科始终坚持面向临床痛点,推动多学科交叉融合与医工转化创新。未来,随着该项成果的推广应用,有望填补ICU早期康复机器人辅助治疗领域的空白,为更多危重症患者的功能恢复与预后改善提供有力支撑,真正实现从“关注疾病存活”到“重视有质量的康复”,从“经验性干预”到“机制导向的个体化方案”,从“单一学科诊疗”到“多学科协同照护”的跨越。




来源 上海长海医院订阅号



200 评论

查看更多