200
评论
查看更多
密码过期或已经不安全,请修改密码
修改密码
壹生身份认证协议书
同意
拒绝
同意
拒绝
同意
不同意并跳过
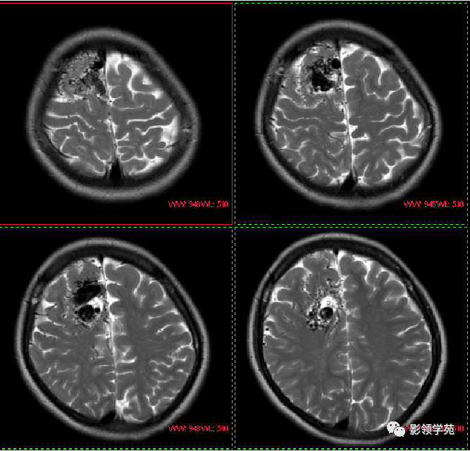
脑动静脉畸形是最常见的先天性脑血管发育异常,好发于大脑前、中动脉供血区。结构包括供血动脉、畸形血管团和引流静脉。
CT表现:
平扫时:畸形血管可为稍高或等密度的不规则肿块,占位征象不明显,甚至有脑萎缩,引流静脉或供血动脉增粗(主要是前者),有时可见斑点样钙化。增强扫描:可见动脉特别是静脉明显的扩张、迂曲样强化。
MRI表现:
一团匐行的具有流空效应的管道结构。MRA能显示AVM的全貌,供血动脉、迂曲血管团、引流静脉均为清晰的高信号影。


AVM-动静脉畸形



来源:神经病学医学网
转载已获授权,其他账号转载请联系原账号
查看更多