壹生大学

壹生身份认证协议书

本项目是由壹生提供的专业性学术分享,仅面向医疗卫生专业人士。我们将收集您是否是医疗卫生专业人士的信息,仅用于资格认证,不会用于其他用途。壹生作为平台及平台数据的运营者和负责方,负责平台和本专区及用户相关信息搜集和使用的合规和保护。
本协议书仅为了向您说明个人相关信息处理目的,向您单独征求的同意,您已签署的壹生平台《壹生用户服务协议》和《壹生隐私政策》,详见链接:
壹生用户服务协议:
https://apps.medtrib.cn/html/serviceAgreement.html
壹生隐私政策:
https://apps.medtrib.cn/html/p.html
如果您是医疗卫生专业人士,且点击了“同意”,表明您作为壹生的注册用户已授权壹生平台收集您是否是医疗卫生专业人士的信息,可以使用本项服务。
如果您不是医疗卫生专业人士或不同意本说明,请勿点击“同意”,因为本项服务仅面向医疗卫生人士,以及专业性、合规性要求等因素,您将无法使用本项服务。

同意

拒绝

同意

拒绝

知情同意书

同意

不同意并跳过

工作人员正在审核中,
请您耐心等待
审核未通过
重新提交
完善信息
{{ item.question }}
确定
收集问题
{{ item.question }}
确定
您已通过HCP身份认证和信息审核
(
5
s)

文献学习:蛛网膜下腔出血(一)

2024-01-21作者:医学论坛报秋宇资讯
非原创

蛛网膜下腔出血(subarachnoid hemorrhage,SAH)是一种严重的脑卒中亚型,颅内动脉瘤破裂是SAH的主要原因。动脉瘤性SAH的生存率在过去几十年增加了17%,这主要得益于及时的诊断、早期动脉瘤修复、尼莫地平的使用和先进的重症监护支持。然而,存活者普遍存在认知障碍,并且认知障碍也会影响患者的日常功能、工作能力和生活质量。此外,这些认知障碍常常伴随着情绪障碍、疲劳和睡眠障碍。对这些患者的管理需要专门的神经重症监护病房和多学科临床合作。改进筛查手段和研发低风险方法来修复或稳定尚未破裂的动脉瘤,是预防SAH所面临的挑战。

SAH是神经内科的常见病,占所有脑卒中的5%~10%,年发病率为6~20/10万。颅内血管破裂后,血液流入蛛网膜下腔称为SAH,临床上将SAH分为外伤性与非外伤性两大类。非外伤性SAH又称为自发性SAH,是一种常见且致死率极高的疾病,病因主要是颅内动脉瘤破裂,约占全部病例的85%左右。神经内科所指的SAH为自发性SAH,是本章讲述的主要内容。

流行病学的新认识


自然人群的SAH发病率和患病率尚不明确,目前只有动脉瘤性SAH的流行病学资料,而其他原因导致的自发性SAH资料非常少,需要加强观察与研究。SAH的好发年龄在40~60岁(平均≥50岁),一项由WHO组织的大型多中心研究发现,根据年龄调整的SAH年发病率在各地区间相差10倍之多,中国仅为2.0/10万,而在芬兰可达22.5/10万。日本发病率约为20/10万,其他地区的发病率约为9.1/10万。由于动脉瘤性SAH发病凶险,院前死亡率较高,而我国院前死亡患者尸检率极低,可能严重低估了SAH的真实发病率。流行病学研究显示,动脉瘤性SAH的平均死亡率在27%~44%;一项基于医院的前瞻性多中心研究结果显示,中国动脉瘤性SAH患者发病后28天、3个月、6个月和12个月的累计死亡率分别为:16.9%、21.2%、23.6%和24.6%。目前该病死亡率在发达国家逐渐下降,并且越来越多的数据表明:动脉瘤的早期治疗和并发症的积极防治均可改善SAH患者的临床预后。

病因与危险因素的新认识


一、关于SAH病因的新认识

SAH的主要病因是颅内动脉瘤破裂(包括先天性和动脉硬化性),约占全部病例的85%左右。近年的研究进展对SAH的病因提供了新的知识。

(一)中脑周围非动脉瘤性蛛网膜下腔出血

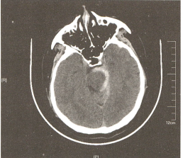
15%的患者运用数字减影血管造影(DSA)仍未发现明确的出血来源,根据出血位置,分为中脑周围非动脉瘤性蛛网膜下腔出血(perimesencephalicnon-aneurysmalsubarachnoid hemorrhage,PNSH)(图-1)和非中脑周围非动脉瘤性蛛网膜下腔出血(non-perimesencephalic non-aneurysmal subarachnoidhemorrhage)(图-2)。

图片

图-1  中脑周围非动脉瘤性蛛网膜下腔出血



<span id=

图-2非中脑周围非动脉瘤性蛛网膜下腔出血

1991年,Rinkel首先描述了PNSH的标准定义:出血的中心紧邻中脑的前方,伴有或不伴有向环池的基底部扩展的出血。未完全充满纵裂池的前部,一般不向侧裂池外侧扩展,且无明显的脑室内血肿。PNSH作为一种独立类型的SAH,约占SAH所有病因的10%左右,发病率为6/100万,在DSA为阴性结果的SAH患者中,PNSH约占其总数的21%~68%。结合患者起病缓慢,无意识障碍,预后良好,无再出血及脑缺血,邻近的视交叉池、脑实质及脑室内无出血,研究者们推测,PNSH的出血来源可能是静脉性出血或毛细血管渗血。另外,PNSH还包括两种特殊类型:①脑桥前池出血,出血常常仅位于脑桥前池,有时可向延髓前池蔓延;②四叠体池出血,出血位于四叠体池内,占PNSH总数的1/5。Rinkel等人所总结的PNSH影像学表现目前已成为临床公认的诊断标准:①PNSH的出血中心位于中脑前方的脑池,可延伸至环池前方或侧裂池的基底部;②前纵裂池或外侧裂池内可有少量的血液充盈,但不完全充盈;③无明显的脑室内出血。

作为SAH的一个特殊类型,PNSH与自发性SAH并无本质区别,但临床症状较轻,并发症的发生率相对较低,恢复期相对较短,预后良好。血管痉挛的发生率和与迟发性脑缺血的相关性可能较低。基于上述特点,正确早期诊断PNSH可以减少重复血管造影检查,节省医疗资源,减轻患者心理负担,缩短住院时间。但在诊断PNSH的过程中应注意鉴别排除椎基底动脉瘤破裂的SAH患者,CTA和磁共振血管成像(magnetic resonanceangiography,MRA)在PNSH排除动脉瘤出血方面具有较高的敏感性,可避免因误诊而延误治疗。在基线CTA阴性的情况下,不建议重复DSA,因为检查过程中的风险大于发现动脉瘤的机会。



(二)凸面蛛网膜下腔出血

凸面蛛网膜下腔出血(convexal suharachnoidhemorrhage,cSAH)是指大脑凸面的非创伤性出血,位于一个或几个相邻脑沟内,不累及相邻的脑实质,不进入纵裂、侧裂、基底池或脑室。cSAH是一类不同于动脉瘤性蛛网膜下腔出血的脑血管疾病,临床上比较少见,cSAH约占自发性SAH的5%~7.5%,年发病率为5.1/10万。cSAH的病因和临床症状多样,常继发于可逆性脑血管收缩综合征(reversible cerebral vasoconstriction syndrome,RCVS)、脑淀粉样血管病(cerebral amyloid angiopathy,CAA)、血管炎、烟雾病、颅内静脉系统血栓、脑动脉狭窄或闭塞、脑动脉夹层、硬脑膜动静脉瘘、动静脉畸形、海绵状血管瘤、凝血障碍、脑脓肿、颅内肿瘤等。目前国际上对cSAH的认识差异较大,对其特征了解不多,对病因和发病机制的认识非常有限。



目前文献报道的cSAH患者最小患病年龄为17岁,最大为91岁,以中老年人多见,女性多于男性,产后妇女发病多见。多以急性起病,临床表现缺乏特异性。有研究显示,cSAH以头痛和局灶性神经功能障碍为最常见的起病表现,其中60岁以下患者多以头痛起病,且均有既往头痛史。eSAH患者的头痛多无特异性,无明显规律,很少出现动脉瘤性SAH的典型突发剧烈头痛,可能与出血不累及基底池和脑实质有关。60岁以上患者多以短暂局灶性神经功能障碍症状起病,例如偏瘫、偏身麻木、言语障碍等。症状持续时间通常不足30分钟,且神经功能缺损与病变部位密切相关;少数患者可出现意识障碍,严重者可出现精神状态改变以及癫痫发作,脑膜刺激征多为阴性。cSAH依据CT或MRI诊断。cSAH在CT上表现为大脑凸面脑沟内的高密度;在脑MRI上表现为大脑凸面脑沟内的异常信号,T,加权序列为高信号,T₂加权序列为低信号。cSAH的治疗可分为病因和对症治疗,以后者为主,例如止痛、降压、抗癫痫治疗等。cSAH患者通常应安排进入卒中单元以进行密切观察,然后根据个人情况和临床表现进行相应的治疗。cSAH的预后似乎比其他非动脉瘤性SAH更差。一项临床研究表明,发病3年后约有64%的cSAH患者预后不良。影响cSAH患者预后的因素众多,其中潜在病因是主要因素之一。病因为CAA的患者一般预后较差,主要与患者颅内出血风险显著增高有关。

作者:jerry
来源:神经内科及重症文献学习

200 评论

查看更多