查看更多
密码过期或已经不安全,请修改密码
修改密码
壹生身份认证协议书
同意
拒绝
同意
拒绝
同意
不同意并跳过
现病史
41岁中年男性,主诉肾移植术后8年,发热4天。
2016年行肾移植手术并排斥药物治疗。2024-08-02晨无明显诱因出现发热、畏寒,自测体温38.4℃, 伴全身酸痛、咽痛、排尿灼热感、解1次黄色稀烂便,无鼻塞、流涕、咳嗽、咳痰、胸闷、气促、恶心、呕吐、腹痛,自服小柴胡后无改善。当日至急诊查尿隐血 (2+)、血白细胞计数稍高、CRP正常,予头孢呋辛钠3.0g/d+倍他米松5.26mg once治疗,患者体温降至正常,全身酸痛及咽痛症状改善。08-04夜间再次出现发热,伴畏寒、全身酸痛、咳少许白痰,自测体温39.0℃, 至急诊查胸部CT提示两肺少许炎性病变,其他外周血检查较前基本相仿,予左氧氟沙星0.5g/d+拉氧头孢1.0g/d抗感染、倍他米松5.26mg once退热等治疗。为进一步检查及治疗于2024-08-05收入肾脏病科。
辅助检查
1.体格检查
T 36.6℃,P 88次/分,R 22次/分,BP 113/80mmHg。神志清楚,咽部无充血,扁桃体不肿大,双肺叩诊音清,听诊呼吸音清晰,未闻及干湿啰音和胸膜摩擦音。移植肾术后改变,盆腔肾位,局部无压痛、反跳痛。全身无水肿。
2.实验室检查

3.影像学检查
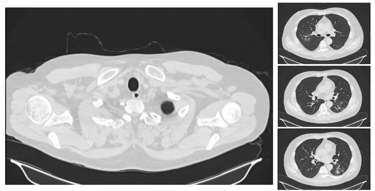
2024.8.4胸部CT:两肺多发边界不清结节影,分布于右上叶后段、左下叶背段及基底段,沿支气管血管束分布,部分病灶可见支气管充气及管壁增厚,提示可能为小叶性肺炎。

诊断
社区获得性肺炎
诊疗过程
抗感染治疗方面,急诊治疗3天,头孢呋辛治疗2天,第3天改用左氧氟沙星和拉氧头孢,转入肾脏科后给予莫西沙星0.4g静滴单药治疗,同时调整抗排斥治疗,停用两种免疫抑制剂,甲泼尼龙加量至20mg静滴,并送检其他病原学检查(培养、结核及真菌检查均为阴性)。
治疗一段时间后,患者仍每日至少一次发热,体温多在39℃左右,咳嗽等呼吸道症状无明显变化,出现两次痰中带血,全身一般状况无明显改变。辅助检查显示白细胞和中性粒细胞计数下降,淋巴细胞计数下降,淋巴细胞比例无明显改善,C反应蛋白、白介素-6和降钙素原逐渐升高。


8月12日复查胸部CT,两肺病变进展,肺部病变性质改变,出现斑片状不同密度改变,有磨玻璃影和实变,右下叶实变病灶可见支气管扩张。气管镜检查气道内无明显异常,肺泡灌洗液以中性粒细胞升高为主,NGS检测出序列数很高的副流感嗜血杆菌阳性结果,气管镜标本细菌培养、抗酸杆菌和真菌镜检均为阴性,再次复查呼吸道病原体IgG抗体、出血热抗体和CMV抗体均为阴性,血沉和自身抗体也为阴性,肌酐稳定。

肾脏科考虑原抗生素未覆盖耐药菌可能性不大,因患者有免疫抑制病史且淋巴细胞计数减低,担心合并疱疹病毒感染,加用更昔洛韦抗病毒治疗,同时考虑免疫重建问题,将甲泼尼龙剂量增加至40mg。治疗后,患者干咳和咯血情况无明显变化,逐渐出现呼吸困难,发热情况好转,但饮食和精神状况变差,氧合指数最低达170mmHg左右,经呼吸支持治疗后大部分时间维持在200-250mmHg。

再次复查胸部影像学,部分病变范围缩小,但密度增加,牵拉性支扩增加,左下叶体积缩小,炎症指标(白细胞、C反应蛋白、降钙素原和白介素-6)明显下降。
9月6日,患者因呼吸困难症状持续不缓解转至呼吸科监护室。

参考CAP六步法,因前期针对细菌及特殊微生物感染检查未找到明确结果,且与治疗反应不吻合,故将重点倾向非感染性疾病。患者脾衰竭、肺肿瘤诊断可能性较小,ARDS作为综合征并非病因诊断,重点关注肺栓塞和弥漫性间质性肺病。

入科时,患者生命体征尚可,脉搏和呼吸频率偏快,经鼻高流量湿化氧疗,吸氧浓度需求高,动脉血气提示中度呼吸衰竭和过度通气,心电图提示窦性心动过速。回顾前期检查发现患者D-二聚体持续升高,9月6日转科后即行CTPA检查,虽动脉期和静脉期区分不佳,但仍可见右肺上叶、右肺下叶及左肺下叶多发肺动脉充盈缺损,右肺上叶病变强化明显减低,右下叶和左下叶病灶有明显强化区域,提示病变性质可能存在差异,调整诊断为肺栓塞。

治疗上停用抗生素,恢复原糖皮质激素联合免疫抑制剂抗排斥治疗,加用利伐沙班15mg Q12h口服抗凝治疗,并对肺栓塞严重程度及病因进行筛查,结果显示心肌酶基本正常,四肢超声未见深静脉血栓形成,睡眠呼吸监测仅有轻度睡眠呼吸暂停低通气综合征,拔除深静脉导管未见肉眼栓塞。抗凝及抗血小板治疗后,患者氧合指数无明显改善,但吸氧浓度需求逐渐下降,过度通气情况好转,主观症状逐步改善。
9月29日复查胸部CTPA,两肺病灶总体呈吸收状态,但左下叶未好转且体积进一步缩小。
患者一般情况改善,国庆前出院。11月6日门诊复诊,两肺病灶仍在吸收,但左下叶病变吸收不明显。该患者肺上病灶存在肺栓塞,同时合并肺梗死和肺不张。

查看更多