查看更多
密码过期或已经不安全,请修改密码
修改密码
壹生身份认证协议书
同意
拒绝
同意
拒绝
同意
不同意并跳过
基本资料
性别:男
年龄:67岁
初诊时间:2017-4-7
主诉:气促伴咳嗽、头晕5天在我院内血管内科住院。
既往史:20年前因胃溃疡行胃大切手术
辅助检查
体格检查:
无特殊
实验室检查:
AFP 498.90ng/ml,凝血酶原时间12s,总胆红素14.3uumol/l,白蛋白41g/l
影像学检查:
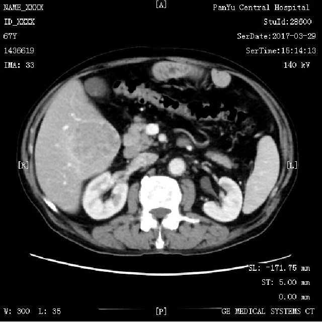
CT:肝S5肝细胞癌,大小约55×68×55mm,有假包膜,另胆囊结石
动脉期:










静脉期:









冠状面:











BCLC 分期系统及治疗策略:
分期:
PS评分1分
肝功能Child-Pugh A级
分期:NCCN T1bN0M0 IB期;BCLC 早期
治疗过程:
手术治疗
射频消融
介入栓塞
靶向治疗
国际上公认的肝癌治疗指南:
(1)美国国家综合癌症网(NCCN)
(2)美国肝病研究协会(AASLD)治疗指南
(3)英国胃肠病学会(BSG)治疗指南
(4)美国外科学院(ACS)制定的共识
(5)欧洲巴塞罗那肝癌临床分期(BCLC)
(6)中国卫生部原发性肝癌诊疗规范

根治性治疗是早期肝癌治疗主要手段
手术治疗是根治的基础
早期肝癌患者行根治性治疗后,患者的5年生存率高于其他治疗方法。

实际治疗:
手术治疗:2017-4-7
术后病理:

随访2018-1-22(术后9个月)
动脉期:

门脉期:

延迟期:

2018-6-23(术后14个月)
T2序列:
T1增强动脉期:
T1增强静脉期:
术后随访:

下一步治疗:
手术治疗
射频消融
介入栓塞
靶向治疗
BCLC分期和治疗策略-TACE的角色

卫生部原发性肝癌诊疗规范(2017版)

介入治疗:2018-7-10
介入治疗:

复查疗效2018-7-27







术后随访:
下一步治疗:
手术治疗
射频消融
介入栓塞
靶向治疗
TACE治疗肝癌的局限性——局部病灶难以彻底处理

TACE治疗肝癌的局限性——不能处理全身情况

射频消融治疗:2018-7-31
术后随访(2018-9-20)术后1月






下一步治疗:
手术治疗
射频消融
介入栓塞
靶向治疗
荟萃分析显示:TACE联合索拉非尼,可显著改善患者结局
2018年的荟萃分析显示,TACE联合索拉非尼的OS较单独TACE显著延长,风险比为0.61 (95% CI 0.49-0.77);TTP较单独TACE延长(不显著),风险比为0.8 (95% CI 0.62-1.05)

索拉非尼:2018-8-2
术后随访(2019-4-15)术后8个月






术后随访(2019-6-28)








术后随访(2019-7-3)


介入治疗:2019-7-11




术后随访(2019-8-21)








消融治疗:2019-8-23
射频消融治疗(2019-8-23)








术后随访(2019-9-17)

2019NCCN指南:肝癌治疗药物


一线治疗:
首选
索拉非尼( Child-Pugh A级[1类推荐]或B7级)
仑伐替尼( 仅Child-Pugh A 级)
其它推荐
系统化疗(2B类推荐)
疾病进展后:
二线治疗:
瑞戈非尼(仅Child-Pugh A 级[1类推荐] )
卡博替尼(仅Child-Pugh A 级[1类推荐] )
雷莫芦单抗(仅AFP≥400ng/ml [1类推荐] )
索拉非尼(仑伐替尼治疗后疾病进展,
Child-Pugh A级或B7级)
纳武单抗( Child-Pugh A级或B7级)
派姆单抗(仅Child-Pugh A 级)
瑞戈非尼:2019-9-17至今
治疗体会:
1.高危病人定期筛查
2.确诊患者MDT决策
3.治疗过程全程管理
4.治疗方法个体选择
思考:
问题一:首次TACE后,联合索拉非尼,病人能否有更多获益?
问题二:2019年新版《原发性肝癌诊疗规范》新增瑞戈非尼作为肝癌二线的唯一标准治疗,那么一线药物进展,二线药物应该选择瑞戈非尼,还是联合pd1?
查看更多