查看更多
密码过期或已经不安全,请修改密码
修改密码
壹生身份认证协议书
同意
拒绝
同意
拒绝
同意
不同意并跳过
患者年龄:67岁
患者性别:男
主诉:右上腹部疼痛和黑便2天。
既往史:
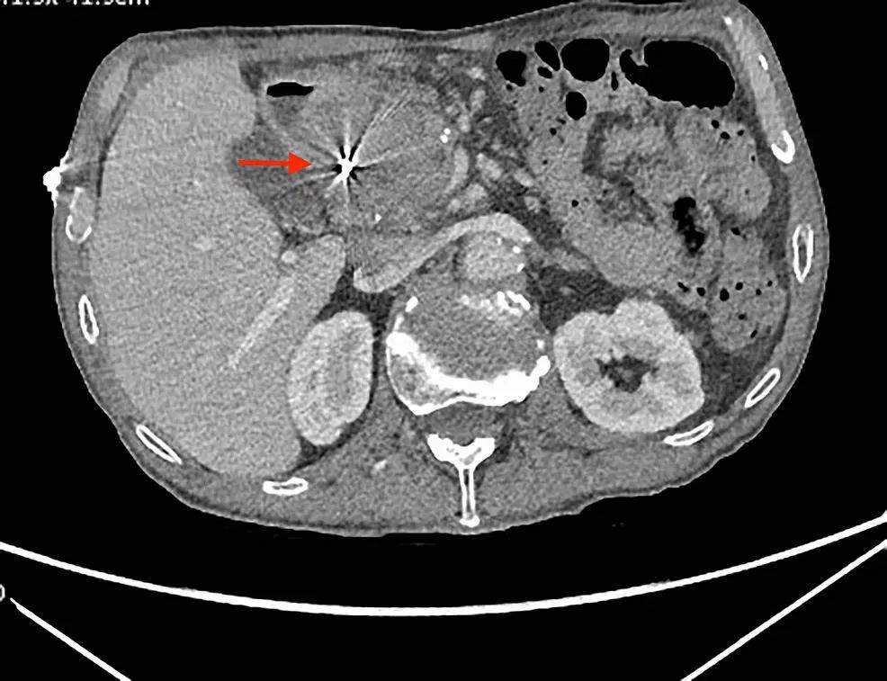
有酒精所致慢性胰腺炎病史,外院CT提示在胰脏头部附近有一个约7.5 cm的假性囊肿。
查体:
生命体征平稳,轻度上腹部压痛,直肠检查呈黑便。
辅助检查:
血红蛋白89 g/L,血细胞比容为19.9%,乳酸为7.1 mmol/L,血尿素氮(BUN)与肌酐比值升高。
腹部CT显示假性囊肿,大小稳定,但可能经由肠系膜上动脉分支出血。
CT血管造影(CTA),排除了肠系膜上动脉活动性出血,但提示假性囊肿前部出血。
腹腔动脉造影显示一个不规则假性动脉瘤。
初步诊断:胰管出血
治疗:
静脉输液和输血
介入血管栓塞,弹簧圈和吸收性明胶海绵栓塞。



胰脏出血是一种罕见的胃肠道出血原因,通常表现为黑便和腹痛。胰脏出血是从壶腹部经主胰管流向十二指肠降部的出血。血管造影是胰脏出血诊断的金标准。
作者:李永军
来源:永军全科医学笔记
查看更多